Sr. Director:
El liposarcoma mixoide con metaplasia ósea es una entidad clínica de presentación infrecuente en que el diagnóstico es histológico y el tratamiento, quirúrgico.
Presentamos el caso de una mujer de 46 años sin antecedentes patológicos, que consultó por aumento del perímetro abdominal y pérdida de peso no cuantificada de 3 meses de evolución.
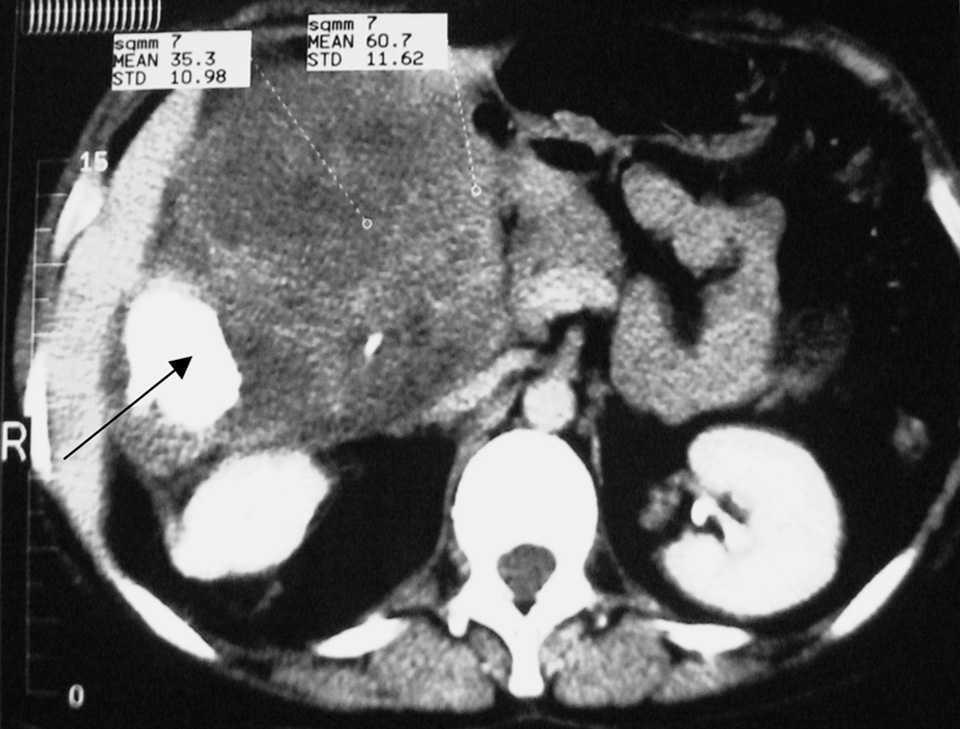
En la exploración física destacaba una masa abdominal palpable en hipocondrio y flanco derecho no dolorosa, firme, no móvil. La analítica general fue normal. Ante el diagnóstico clínico de tumor intraabdominal, se solicitó tomografía computarizada (TC), que evidenciaba tumor retroperitoneal derecho, adherido a riñón con imagen de densidad ósea en su interior (fig. 1).
Fig. 1. Tomografía computarizada abdominal en la que se aprecia una masa retroperitoneal derecha con imagen de densidad ósea.
Fue intervenida quirúrgicamente, practicándosele resección total del tumor con preservación renal. El estudio histopatológico reportó liposarcoma mixoide con metaplasia ósea y seudocápsula indemne. Recibió radioterapia adyuvante sin recidiva postoperatoria.
El liposarcoma es una neoplasia del tejido adiposo de moderada malignidad, localmente agresivo, con escaso poder metastatizante1, que se localiza en orden de frecuencia en extremidades (60%) y retroperitoneo. De ellos, el mixoide es el más frecuente, de crecimiento lento, silente y local2, y con predominio en varones entre la cuarta y la sexta década de la vida3.
El tratamiento de elección es la resección quirúrgica, con una sobrevida a 5 años entre el 15 y el 34%, y si es extracapsular total, se eleva al 54%4,5.
Lo más interesante de este caso es la rareza del componente óseo que formaba parte del liposarcoma. No se ha encontrado esta particularidad en la literatura médica recogida1-5.





