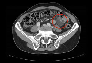
Varón de 71 años con antecedente de leucemia linfocítica. En una tomografía computarizada control, se evidenció una lesión de 30 x 35 mm dependiente de un asa de intestino delgado (fig. 1) sospechosa de tumor del estroma gastrointestinal (GIST).
Se indicó laparoscopia exploradora donde se observó una lesión blanquecina de aspecto quístico, esponjosa, en borde mesentérico de yeyuno con adenopatías mesentéricas (fig. 2). Se realizó resección intestinal del segmento afecto. La histopatología de la pieza fue compatible con linfangioma intestinal, un tumor benigno infrecuente en adultos, principalmente descrito en cabeza y cuello durante la edad infantil.
FinanciaciónEste trabajo no ha recibido ningún tipo de financiación.
Conflicto de interesesLos autores declaran no tener ningún conflicto de intereses.






