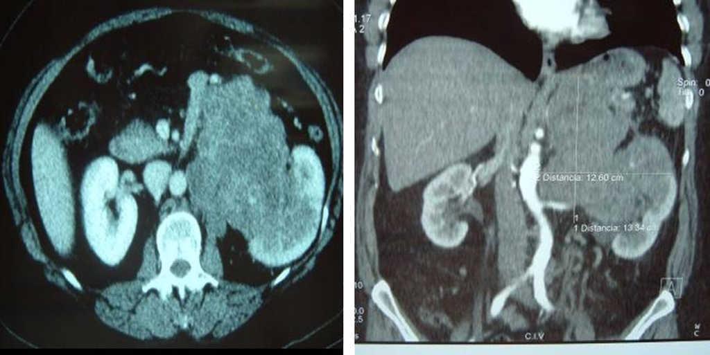
Presentamos el caso clínico de una mujer de 59 años con molestias abdominales difusas de 5 meses de evolución asociadas a anorexia y pérdida de peso de 12kg sin antecedentes médico-quirúrgicos de interés. En la exploración física se palpa una masa ocupante de espacio en el hemiabdomen izquierdo. Los estudios analíticos, que incluyen hemograma, bioquímica y pruebas de función hepática, son normales. La tomografía computarizada (TC) demuestra una masa retroperitoneal izquierda de contornos polilobulados y diámetros máximos de 13,8×10×14cm que infiltra el riñón y la glándula suprarrenal homolaterales, probablemente el fundus gástrico, el cuerpo pancreático y el pilar diafragmático izquierdo, y respeta la aorta abdominal (figura 1). Se realiza una laparotomía subcostal bilateral, en la que se objetiva una tumoración que afecta a la vena renal izquierda que infiltra riñón izquierdo, suprarrenal izquierda, cola del páncreas y ángulo esplénico colónico. Nuestra estrategia quirúrgica en los sarcomas retroperitoneales implica en primer lugar valorar la resecabilidad del tumor, lo que quiere decir que para obtener unos márgenes libres de enfermedad pueden ser necesarias resecciones amplias de órganos vecinos, y con un margen de seguridad intraoperatorio importante, es decir, tener en todo momento un control de las estructuras vasculares implicadas en dicha resección. De esta forma nuestra paciente fue sometida a una nefrectomía izquierda, suprarrenalectomía, pancreatectomía caudal, esplenectomía y hemicolectomía izquierda con anastomosis primaria, dejando clips metálicos sobre el lecho quirúrgico para facilitar una mejor localización en un posterior tratamiento radioterápico. El estudio anatomopatológico demostró un leiomiosarcoma de 13×10cm de diámetro máximo originado en la vena renal, con bordes bien definidos, de crecimiento expansivo y con extensas áreas de necrosis tumoral y hialinización. El tumor está formado por haces entrecruzados de células fusiformes, que demuestran un núcleo hipercromático, con marcado pleomorfismo y abundantes figuras de mitosis atípicas. El estudio inmunohistoquímico demuestra inmunopositividad de las células tumorales para vimentina, desmina, actina de músculo liso y actina específica de músculo e inmunonegatividad para citoqueratina, S-100 y C-Kit, con un índice de proliferación medido con el MiB1 muy alto. La paciente recibe tratamiento adyuvante con radioterapia (dosis de 45Gy) y tras un periodo de seguimiento de 17 meses se encuentra libre de enfermedad.
Figura 1. Clasificación de los tumores que afectan al territorio de la vena cava superior.
El leiomiosarcoma de la vena renal es un tumor poco frecuente originado en las células de la capa muscular, representan un 5–15% de todos los tumores retroperitoneales1,2. Se han descrito menos de 300 pacientes con un leiomiosarcoma de la vena cava. La clínica varía en función del tamaño, la localización y el patrón de crecimiento tumoral; incluso pueden llegar a ser prácticamente asintomáticos, como en el caso que presentamos, con crecimiento durante años3,4. Según la clasificación de Mingoli: tipo 1: infrarrenal; tipo 2: interrenal y suprarrenal sin incluir las venas suprahepáticas; tipo 3: suprahepático con posible extensión intracardíaca; el tumor que describimos pertenece al tipo II o central5 (figura 2). Este tipo de tumor tiene tres patrones de crecimiento: extraluminal, intraluminal o mixto. Suelen ser tumores encapsulados donde las células adquieren una disposición característica en racimos, con actividad mitótica y positividad para desmina, HHF35, vimentina y actina6,7. Debido a la poca frecuencia de este tipo de tumor y la ausencia de signos y síntomas definitorios, la identificación de un leiomiosarcoma de la vena renal suele ser un hallazgo casual en una prueba de imagen8. Nuestra paciente fue sometida a una biopsia del tumor primario que confirma el diagnóstico, pero en la mayoría de los pacientes ello no es posible debido a su localización anatómica.
Figura 2. Tomografía computarizada abdominal. Gran masa retroperitoneal izquierda que infiltra el riñón y la glándula suprarrenal homolaterales, cuerpo pancreático y el pilar diafragmático izquierdo respetando la aorta abdominal.
En la actualidad el único tratamiento que ha demostrado eficacia es la resección quirúrgica radical en bloque con márgenes libres de enfermedad. Si el tumor afecta únicamente a la vena renal, se han propuesto varias soluciones como el autotrasplante renal en la fosa ilíaca o el reimplante directo de la vena renal9.
Los resultados a largo plazo del tratamiento quirúrgico de los leiomiosarcomas vasculares no son buenos. A los 5 y 10 años tras la resección quirúrgica radical, se han descrito unas supervivencias del 49,4 y el 29,5% respectivamente. Se desconoce todavía el verdadero papel de la quimioterapia y la radioterapia como tratamiento adyuvante en este tipo de tumores debido al reducido número de pacientes en las series publicadas. Si el tumor es resecable, se debe realizar una intervención quirúrgica con márgenes libres de enfermedad, pero si el tumor se encuentra en el límite de la resecabilidad, la radioterapia puede ser efectiva reduciendo el tamaño tumoral y permitiendo su resección quirúrgica10.
En conclusión, creemos que la supervivencia a largo plazo a los leiomiosarcomas de la vena renal es posible y ello depende de obtener un diagnóstico precoz y realizar una cirugía radical en bloque aun en los casos con crecimiento localmente avanzado.






