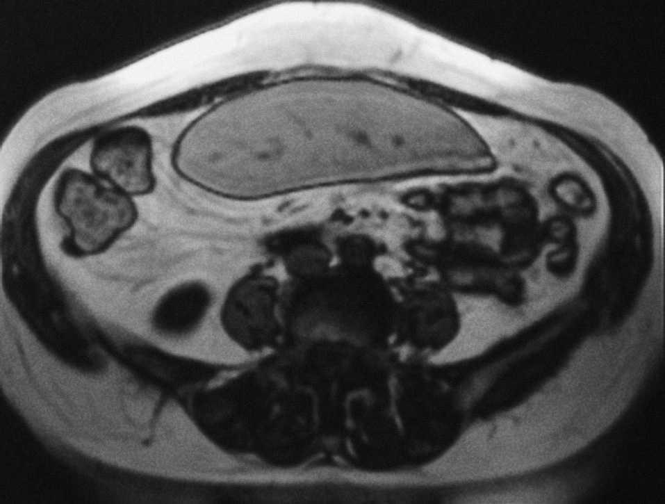
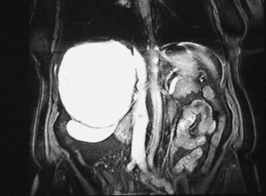
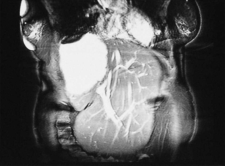
Mujer de 67 años sin antecedentes de interés, que presenta tos irritativa y a la que se detecta una masa hepática en la tomografía computarizada torácica realizada para descartar patología pulmonar. La exploración clínica y la analítica resultan anodinas. La resonancia magnética abdominal demuestra una masa quística hepática bien delimitada, de 15 x 11 x 12 cm, que ocupa todo el lóbulo hepático derecho (fig. 1), con contenido homogéneo, sugestiva de quiste hidatídico, y una hipertrofia compensadora marcada de los segmentos II y III, que miden 20 x 12 x 7 cm (fig. 2 y 3). Se practicó quistoperiquistectomía subtotal abierta. Al año de seguimiento se encuentra asintomática.
Fig. 1.
Fig. 2.
Fig. 3.
Los hepatocitos son células normalmente quiescentes en el adulto, que sin embargo conservan su capacidad proliferativa. Esto permite que en situaciones de hepatectomía parcial o necrosis se pongan en marcha los mecanismos encaminados a alcanzar una relación óptima entre la masa hepática y la masa corporal total. La atrofia hepática se puede producir por obstrucción biliar, que produce principalmente necrosis celular, o por obstrucción portal, que ocasiona sobre todo pérdida citoplásmica del hepatocito. En ambos casos, se provoca una hipertrofia (por hiperplasia) compensadora del parénquima hepático no afectado.
La hidatidosis, como lesión ocupante de espacio, que puede producir compresión de estructuras vasculares y biliares, es una de las causas de atrofia hepática unilobular. La atrofia y la hipertrofia compensadora tienen implicaciones en el tratamiento de estos pacientes, pues el lóbulo hipertrófico tiende a rotar, y con él lo hace también el pedículo, de manera que las ramas arteriales y las portales se sitúan por delante de los conductos biliares, y dificultan considerablemente el acceso quirúrgico a éstos.







