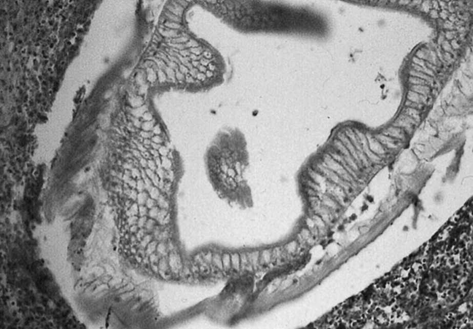
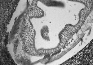
Varón de 63 años que presenta dolor abdominal difuso e intenso, asociado a náuseas, vómitos y fiebre. El paciente manifestó que había ingerido boquerones (Engraulis encrasicholus) en vinagre 3 días antes. En la exploración destacaba un abdomen distendido, timpanizado con peritonismo generalizado. La analítica revelaba leucocitosis con neutrofilia y en la tomografía computarizada (TC) abdominal se apreciaba un segmento de íleon distal de unos 15 cm muy engrosado, con asas intestinales proximales muy dilatadas, abundante líquido intraperitoneal y engrosamiento del antropíloro. En la intervención quirúrgica se objetivó una zona de ileítis perforada con un exudado fibrinopurulento sobre una serosa muy congestiva. Se resecó el segmento afectado, cuyo examen macroscópico reveló la presencia de un parásito (fig. 1; punta de aguja) en una zona fisurada de la mucosa. Existía, además, un importante edema transmural con múltiples erosiones y petequias en la mucosa. El examen histopatológico confirmó la presencia transmural de un parásito tipo Anisakis sp., así como un importante edema e infiltración periparasitaria y transmural de neutrófilos, eosinófilos, linfocitos y células plasmáticas (fig. 2).
Figura 1.
Figura 2.
En la anisakiasis de tipo intestinal, que representa hasta un tercio de los casos, la reacción inflamatoria como consecuencia y respuesta contra el parásito puede condicionar un cuadro obstructivo; no obstante, la posibilidad de perforación intestinal, principalmente ileal, es un hecho constatado en la bibliografía.






