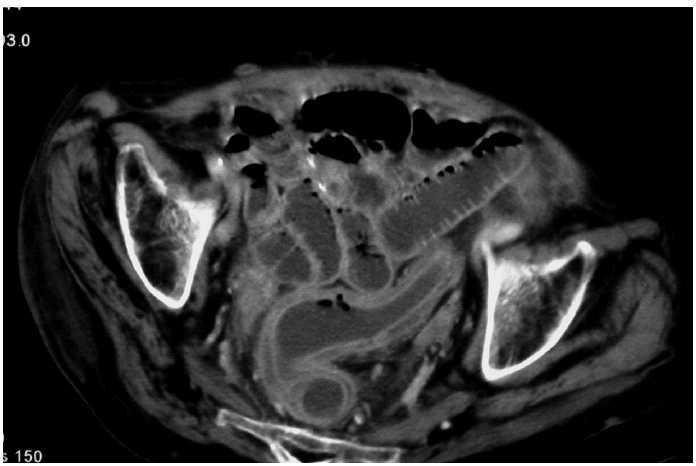
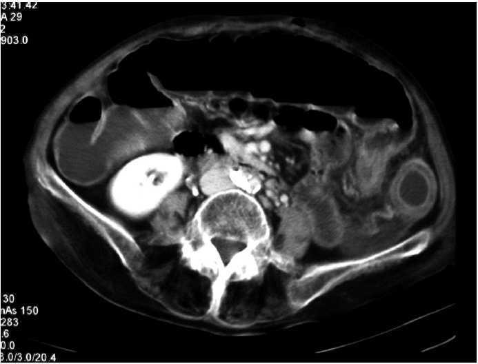
Paciente de 72 años con factores de riesgo cardiovascular, intervenida de urgencia por perforación intestinal y peritonitis, secundaria a obstrucción intestinal por adherencias. Se realiza resección intestinal y adherensiólisis. Durante el postoperatorio se mantiene antibioterapia de amplio espectro por vía intravenosa; presenta deposiciones diarreicas y en el 14.o día, dolor y distensión abdominal. La tomografía computarizada de abdomen (fig. 1 y 2) es compatible con colitis isquémica de colon izquierdo y recto, con neumatosis intestinal. Analíticamente, no presentaba alteraciones indicativas de isquemia intestinal, salvo leucocitosis en ascenso. Ante la sospecha de colitis seudomembranosa, se solicita detección de toxina de Clostridium difficile en heces, que es positiva; se resolvió el cuadro con metronidazol por vía oral.
Fig. 1.
Fig. 2.
La neumatosis intestinal puede ser la manifestación de una afección banal o indicar la presencia de un proceso abdominal grave. Para el diagnóstico diferencial de isquemia intestinal es fundamental una alta sospecha clínica, si bien existen hallazgos de laboratorio (acidosis metabólica con amilasa o ácido láctico elevados) y radiológicos (gas portal) indicativos de necrosis intestinal.
En casos de abdomen agudo se indica una laparotomía exploradora, mientras que el resto de los pacientes se benefician de medidas conservadoras (tratamiento de la enfermedad de base, antibioterapia, oxígeno hiperbárico, etc.) y observación, evitando así cirugías innecesarias.






