Varón de 65 años que consultó por molestias abdominales difusas de 1 mes de evolución, sin otra sintomatología asociada. En la exploración física se visualizaba y palpaba una gran tumoración móvil y no dolorosa que ocupaba todo el hemiabdomen derecho.
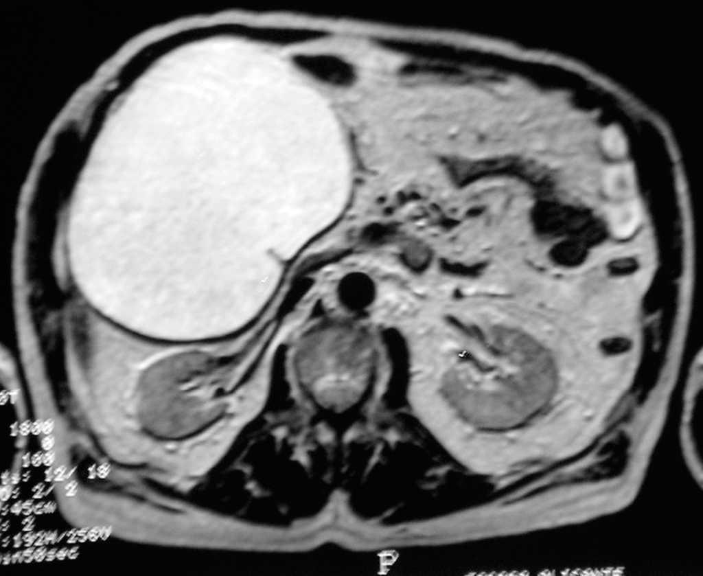
La analítica (hemograma, bioquímica, coagulación) y los marcadores tumorales (antígeno carcinoembrionario [CEA], CA-125 y CA-19,9) fueron normales. La ecografía, la tomografía computarizada (TC) y la resonancia magnética (RM) abdominopelviana (fig. 1) mostraron una gran lesión de aspecto quístico que ocupaba todo el hemiabdomen derecho, bien delimitada, y que no afectaba a estructuras vecinas de probable origen intraperitoneal; como diagnósticos más probables se sugería: quiste hepático, "megavesícula" o tumor suprarrenal. Se completó el estudio con una gastroscopia, una colonoscopia y un tránsito gastrointestinal, que informaron resultados normales.
Fig. 1.
Se indicó laparotomía exploradora, y se halló una vesícula "gigante" o "megavesícula" que ocupaba prácticamente todo el hemiabdomen derecho, por lo que se realizó colecistectomía reglada con colangiografía intraoperatoria normal. El contenido vesicular fue bilis, con un único cálculo de 3 cm. La anatomía patológica informó de la presencia de una vesícula biliar sin alteraciones.
Presentamos este caso por la infrecuencia de presentación de enfermedad biliar benigna en forma de lesiones quísticas de gran tamaño en el hemiabdomen derecho, donde se debe establecer un diagnóstico diferencial con enfermedades más frecuentes hepáticas, pancreáticas, renales, suprarrenales y ováricas.





