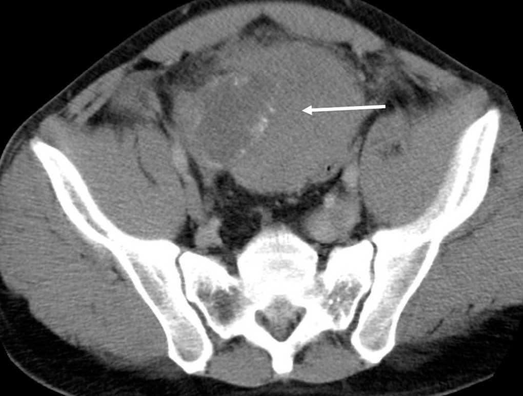
Varón de 33 años que acude a urgencias por dolor epigástrico de inicio súbito, constante e intenso. En la exploración física destacaba la presencia de una masa dolorosa en el hipogastrio, defensa abdominal con peritonismo generalizado y una criptorquidia izquierda. La tomografía computarizada (TC) mostró una masa de 10 cm en el hueco pélvico con gas en su interior, con alguna zona quística rodeada de tenues calcificaciones (fig. 1). En la laparotomía se objetivó líquido libre purulento y una voluminosa tumoración pélvica que englobaba parte del epiplón mayor, un asa de íleon, el apéndice cecal, parte del fondo vesical y el borde antimesentérico del sigma, el cual se econtraba infiltrado y perforado hacia la cavidad de la neoplasia. Se extirpó la tumoración en bloque con los órganos infiltrados (fig. 2). La continuidad intestinal se estableció mediante anastomosis intestinal y colónica, previo lavado intraoperatorio del colon. Del líquido abdominal se aislaron Escherichia coli y Clostridium perfringens. El postoperatorio transcurrió sin complicaciones. El informe anatomopatológico fue de seminoma de 10 cm que infiltraba el intestino delgado, el epiplón, el apéndice y el sigma.
Fig. 1.
Fig. 2.
La criptorquidia predispone al cáncer testicular y su incidencia es inversamente proporcional al nivel de descenso testicular; así, los testículos de localización abdominal presentan las tasas más altas de malignización. Destaca la clínica silente de estos tumores y la importancia de la búsqueda sistemática del testículo en los casos de criptorquidia.






