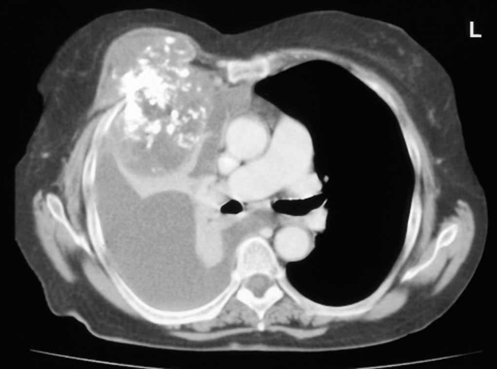
Mujer de 79 años que viene sufriendo disnea de un mes de evolución junto con una masa dolorosa en la pared torácica derecha, que ha ido incrementado progresivamente en tamaño y dolor en los últimos meses. La exploración física demuestra una abolición del murmullo vesicular derecho. En la radiografía de tórax y en la tomografía computarizada torácica se pone de manifiesto un gran tumor de aproximadamente 10 cm x 9 cm x 10 cm, que se originaba en la 4.a o 5.a costillas derechas y destruía la pared torácica. En el interior del tumor se aprecian abundantes calcificaciones y un derrame pleural derecho que genera atelectasia compresiva del pulmón de ese lado (fig. 1). El líquido pleural analizado no demostró la presencia de células malignas. Los valores espirométricos demostraron una insuficiencia ventilatoria de tipo restrictiva (FEV1: 850 ml; FVC: 1.110 ml). Se intervino a la paciente y se realizó una resección completa del tumor, con un margen de seguridad oncológica de 5 cm alrededor de éste, por lo que requirió de una prótesis de Goretex® para cubrir el defecto generado. El estudio anatomopatológico confirmó que se trataba de un condrosarcoma de grado III, que se originaba en la 4.a costilla derecha y que no invadía los bordes de resección costal (fig. 2). Las revisiones posteriores a lo largo de 1 año demostraron una recuperación completa de los valores espirométricos (FEV1: 1.460 ml; FVC: 1.990 ml), así como la desaparición del dolor y de la masa de pared torácica.
Fig. 1.
Fig. 2.
Comentario
El condrosarcoma de pared torácica es un tumor óseo torácico maligno relativamente frecuente (supone el 30% de los tumores malignos de pared) que se suele localizar en la unión condrocostal o en el esternón. Este tumor es más frecuente en varones y aparece típicamente en la tercera o cuarta década de la vida. Suele presentarse como una masa de pared torácica de crecimiento lento; en algunos casos puede adquirir un tamaño considerable, como ha quedado previamente reflejado. Las técnicas de diagnóstico por imagen (radiografía de tórax y tomografía computarizada torácica) suelen mostrar una masa polilobulada y con calcificaciones en su interior. El diagnóstico histopatológico es a veces complicado debido a su alto grado de diferenciación, lo que motiva confusiones con procesos benignos como el condroma. El tratamiento de elección es la exéresis completa de la lesión, con amplios márgenes de resección. El pronóstico es excelente, con una supervivencia de 97% a los 10 años de la cirugía.






