Caso clínico
Paciente varón de 37 años que acude a urgencias por cuadro de dolor abdominal difuso, náuseas y vómitos de 24 h de evolución. En la exploración se objetiva un abdomen timpánico, distendido y sin signos de peritonismo. Los ruidos intestinales se encuentran abolidos. El tacto rectal es normal. La analítica es anodina, con una amilasa ligeramente elevada.
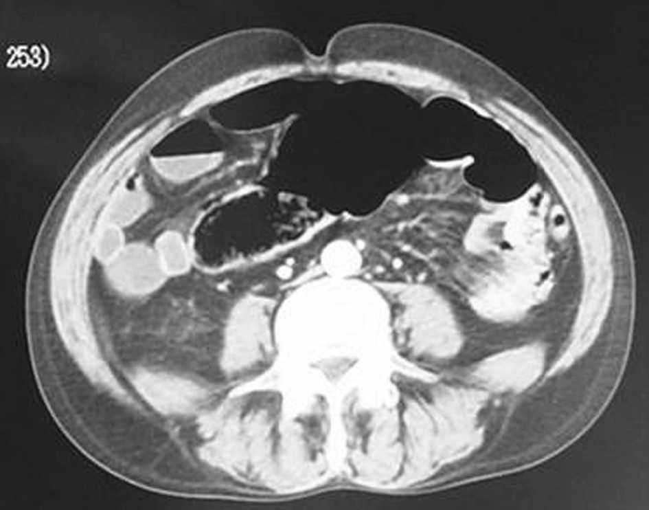
En la radiografía de abdomen se observó una burbuja aérea con dilatación de las asas de delgado, sin neumoperitoneo. La tomografía computarizada (fig. 1) apuntó la sospecha diagnóstica de vólvulo de colon y se indicó enema opaco (fig. 2), que puso de manifiesto un vólvulo cecal, por lo que se procedió a realizar una intervención quirúrgica.
Fig. 1.
Fig. 2.
La cirugía confirmaba los hallazgos de las pruebas complementarias, realizándose hemicolectomía derecha.
La incidencia de vólvulo cecal publicada es de un 10-40% de los vólvulos de colon. Se dividen en vólvulo axial y ciego basculante. Su aparición se ha relacionado con las intervenciones quirúrgicas, las adherencias, la colonoscopia y otras circunstancias menos frecuentes. Hay varias opciones quirúrgicas. La simple detorsión presenta altas tasas de recurrencia (25-75%). La resección es la norma cuando se objetivan fenómenos de gangrena o hay distensión macroscópica importante en un ciego con paredes finas. La cecostomía y la cecopexia son menos efectivas y presentan mayores tasas de recurrencia y morbilidad.






