Caso clínico
Paciente diabética de 74 años de edad. Consulta por dolor cólico abdominal y estreñimiento de 5 días de evolución. En la exploración abdominal no se evidenciaron signos de irritación peritoneal. Los valores analíticos de interés fueron: anemia (hemoglobina: 6 g/dl, hematocrito: 19,9%), leucocitos: 6,900/ml (un 86% polimorfonucleares, un 2% L y un 7% m), hiperglucemia (354 mg/dl).
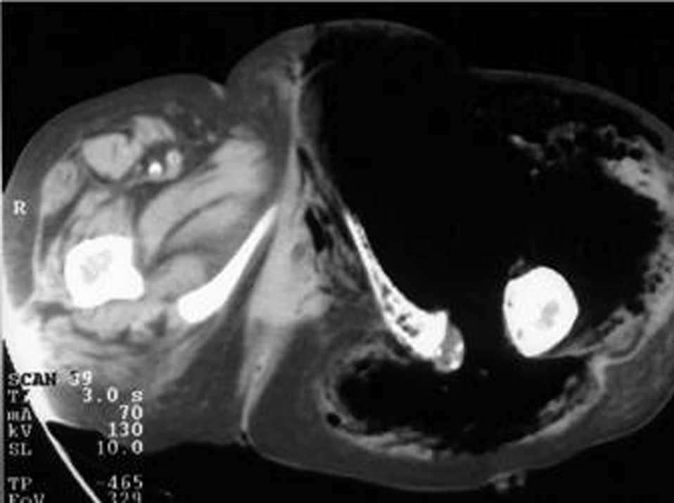
Durante el ingreso presenta, de forma súbita, dolor en el miembro inferior izquierdo, frialdad sin compromiso vascular, junto con equimosis cutánea, vesículas con exudación de líquido serohemorrágico no maloliente y crepitación a la palpación. Se confirma una infección necrosante de partes blandas, con presencia de bacterias de origen intestinal en los tejidos afectos. En la tomografía computarizada se observa la disección que genera el gas producido en la extremidad inferior izquierda (fig. 1).
Se procede al desbridamiento quirúrgico con fallecimiento perioperatorio de la paciente. La autopsia evidencia una tumoración yeyunal perforada y adherida al cuerpo uterino como causa del cuadro de gangrena gaseosa (fig. 2). El estudio histopatológico revela un linfoma de células indiferenciadas.
Fig. 1.
Fig. 2.
Corrreo electrónico: jamarvi@wanadoo.es
Manuscrito recibido del 3-2-2004 y aceptado el 28-9-2004.






