Las hernias pericecales son una rara variedad de hernias internas que representan hasta un 13% de éstas1. Aunque pueden ser adquiridas, la mayoría son congénitas y se originan en recesos creados durante la adherencia y la fusión de los repliegues peritoneales alrededor de la región ileocecal en su disposición definitiva dentro de la cavidad abdominal. Usualmente se forman 4 recesos: ileocecal superior, ileocecal inferior, paracecal y retrocecal. De acuerdo con su tamaño y profundidad, estos «bolsillos» peritoneales se comportan como defectos herniarios en los que se pueden introducir asas de intestino delgado; su ampliación es progresiva al disecar las zonas de adherencia peritoneal, formando un verdadero saco donde pueden quedar atrapadas las asas y originar una obstrucción en asa cerrada.
Los síntomas son vagos e inespecíficos y están en relación con la incarceración y su posible reducción espontánea. La mayoría se manifiesta como obstrucción intestinal indistinguible de otras causas y es una posibilidad para tener en cuenta en todo paciente sin antecedentes quirúrgicos ni hernias de la pared abdominal. Otras veces se presentan como obstrucción parcial autolimitada o con episodios recurrentes de dolor abdominal inespecífico intermitente, de predominio en la fosa ilíaca derecha, y puede palparse una masa de asas dilatadas2–4. En estos casos, el diagnóstico diferencial incluiría enfermedad inflamatoria intestinal, procesos apendiculares, diverticulitis y neoplasias de ciego, entre otras.
Debido a la clínica inespecífica, los estudios de imagen son fundamentales para el diagnóstico1,5, especialmente en los períodos sintomáticos. La tomografía computarizada (TC) es de elección en la evaluación y el tratamiento de los pacientes con obstrucción intestinal, ya que permite confirmar el diagnóstico, identificar su causa y evidenciar los signos de isquemia, que requieren una pronta intervención. Los criterios radiológicos compatibles con hernias pericecales incarceradas incluyen agrupación de asas de intestino delgado dilatadas llenas de líquido, a veces encapsuladas, que se localizan entre la pared abdominal y el ciego, al que desplazan anteromedialmente; los vasos mesentéricos están ingurgitados, elongados y convergen hacia el saco6–8.
En la evaluación inicial de los pacientes que se presentan con dolor abdominal crónico e inespecífico y ante la sospecha de hernia pericecal, son importantes el tránsito intestinal y el enema opaco, donde es posible apreciar en las proyecciones oblicua y lateral las asas de intestino delgado fijas posterolateralmente al ciego, lo que indica el diagnóstico.
Las diferentes variedades de hernias internas suelen ser una enfermedad diagnosticada en urgencias y muchas veces intraoperatoriamente. El tener conocimiento sobre el tema permite su diagnóstico y su tratamiento precoz, que son de importancia debido al riesgo de estrangulación y a la alta morbimortalidad asociada a esta situación. La cirugía consiste en la reducción del contenido herniario, la resección del segmento intestinal si está afectado y el cierre del defecto; la vía laparoscópica también es posible9.
Presentamos el caso de una mujer de 85 años con antecedentes de diabetes mellitus, cardiopatía hipertensiva, fibrilación auricular crónica e insuficiencia cardíaca con varios episodios de edema pulmonar agudo y anticoagulación oral con Sintrom®, sin antecedentes quirúrgicos. La paciente acude a Urgencias de nuestro hospital enviada desde otro centro sanitario por presentar un cuadro de 48h de evolución de dolor abdominal difuso, tipo cólico, acompañado de vómitos biliosos y distensión abdominal. Previamente, 4 días atrás, había tenido un cuadro similar pero éste cedió espontáneamente. Aporta una TC abdominal del otro centro, con diagnóstico de obstrucción intestinal por plastrón inflamatorio frente a neoplasia de ciego. A su llegada se encuentra afebril, con presión arterial de 153/57, frecuencia cardíaca de 73lpm arrítmica. Presenta abdomen distendido, blando, depresible, doloroso a la palpación en el hipogastrio y la fosa ilíaca derecha, sin que haya signos de irritación peritoneal, masa palpable ni hernias. Tiene ruidos hidroaéreos aumentados.
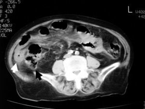
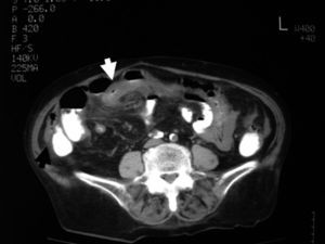
Las pruebas complementarias realizadas al ingreso son hemograma (hemoglobina de 11,1g/dl; hematocrito de 34%, y conteo de leucocitos de 8.63/l, con fórmula normal) y bioquímica (glucemia de 110mg/dl; creatinina de 1,4mg/dl; amilasa de 22U/l; sodio de 139mEq/l; potasio de 3,9mEq/l, proteína C reactiva de 125U). En la radiografía de tórax se observa derrame pleural derecho, sin neumoperitoneo. En la radiografía de abdomen se observa distensión moderada de asas de intestino delgado y aire visible en el colon, que es de diámetro normal. En la TC abdominal se visualiza engrosamiento segmentario de un asa del intestino delgado con discreta dilatación del asa proximal a ésta, que en el estudio sin contraste se encuentra localizada en la gotiera derecha, con desplazamiento anterior y medial del ciego, con los vasos mesentéricos elongados y dirigidos hacia esa asa (fig. 1). Tras la administración de contraste oral, esa asa se desplaza hacia el mesogastrio, con cambio de orientación de los vasos mesentéricos; el engrosamiento segmentario y concéntrico de la pared persiste (fig. 2). Hay una pequeña cantidad de líquido libre en ambas gotieras y pelvis.
Con el diagnóstico de hernia pericecal reducida, la paciente permanece en observación; se le retira la anticoagulación oral, y presenta una buena evolución clínica y radiológica.
Las hernias pericecales son una rara causa de obstrucción intestinal pero que han de tenerse en cuenta, sobre todo si no hay antecedentes quirúrgicos ni hernias inguinocrurales. Su diagnóstico es posible mediante TC abdominal con contraste. En cuadros de pocas horas de evolución es posible su reducción espontánea con resolución del proceso, antes de evolucionar hacia la perforación intestinal y, en ocasiones (como en el caso presentado), la administración de contraste oral puede producir la reducción mecánica de la hernia interna. En cualquier caso, tras la resolución no quirúrgica del cuadro, es preciso la reducción de la hernia y la corrección del defecto por vía laparoscópica o mediante laparotomía.






