Sr. Director:
La hernia uterina inguinal o síndrome de persistencia del conducto mulleriano se caracteriza por la persistencia de los derivados del conducto mulleriano. Es causado por la deficiencia del factor inhibidor mulleriano (FIM). El gen que causa el FIM está localizado en el brazo corto del cromosoma 19 y es de herencia autosómica1.
Presentamos el caso de un varón de 25 años, con tumoración en la región inguinal izquierda de 7 años de evolución. Al examen físico se constató tumoración en la región inguinal izquierda, reductible, coercible, no dolorosa, no se palpaba testículo en la bolsa escrotal izquierda, y el canal inguinal derecho se encontraba intacto. El diagnóstico provisional fue de hernia inguinoescrotal izquierda no complicada más criptorquidia izquierda.
Se realizó la cirugía por vía inguinal y se constató la hernia inguinoescrotal izquierda y una masa que podría corresponder a testículo no descendido. Se procedió a la resección de la masa y reparación de la hernia inguinal.
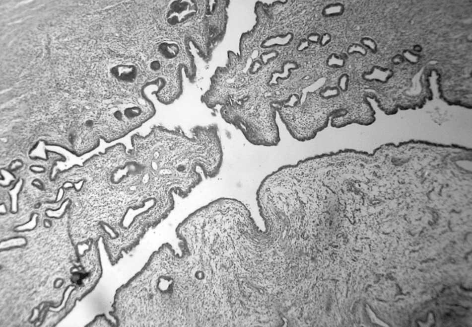
El paciente evolucionó bien, y se le dio de alta según protocolo de cirugía ambulatoria. Se envió el material a anatomía patológica cuyo informe reveló desarrollo de endometrio y miometrio en un saco herniario (fig. 1).
Fig. 1. Macrofotografía de la trompa de Falopio.
A partir de dicho resultado se realizó la búsqueda de cromatina de Barr en la mucosa yugal, con resultado negativo. Se estudió su cariotipo que resultó 46 XY.
El síndrome de persistencia del conducto mulleriano es una rara condición, con sólo 100 casos descritos en la literatura científica. El primer caso lo describió Nilson en 1939. Los pacientes con síndrome de persistencia del conducto mulleriano son varones por cariotipo y fenotipo y tienen los caracteres sexuales secundarios desarrollados2,3.
En Paraguay representa el primer caso documentado.





