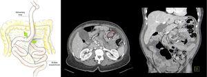
Varón de 41 años de edad, con antecedentes de bypass gastrica en Y de Roux acudió al serv. De urgencias por dolor abdominal difuso y nauseas. La TAC de urgencia demostró una hernia interna del intestino delgado a través del defecto de Petersen, entre el asa antecólia de la Y de Roux y el mesocolon transverso (fig. 1). Se puede apreciar la imagen arremolinada de los vasos mesentéricos alrededor del orificio de la hernia. La hernia interna relacionada con la derivación gástrica en Y de Roux es una urgencia quirúrgica poco frecuente que puede evolucionar. Hasta el estrangulamiento intestinal e isquemia. La presentación clínica es inespecífica, y el diagnóstico radiológico representa un reto. El tratamiento requiere la reducción del intestino incarcerado y el cierre del defecto.
El factor de impacto mide la media del número de citaciones recibidas en un año por trabajos publicados en la publicación durante los dos años anteriores.
© Clarivate Analytics, Journal Citation Reports 2025
SJR es una prestigiosa métrica basada en la idea de que todas las citaciones no son iguales. SJR usa un algoritmo similar al page rank de Google; es una medida cuantitativa y cualitativa al impacto de una publicación.
Ver másSNIP permite comparar el impacto de revistas de diferentes campos temáticos, corrigiendo las diferencias en la probabilidad de ser citado que existe entre revistas de distintas materias.
Ver más




