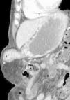
Mujer de 95 años con vómitos y dolor epigástrico de 2 días de evolución. A la exploración, tumoración epigástrica irreductible dolorosa (fig. 1 reconstrucción 3D por TC). En la tomografía computarizada se objetiva una hernia epigástrica que contiene el antro gástrico con mucosa edematosa (fig. 2 corte coronal, fig. 3 corte sagital). Se interviene de urgencias evidenciando defecto de pared de 4cm, por el cual protruye una zona circular de 2×2cm de antro gástrico, con área fibrótica circular en su superficie que no obstruye el paso. Se reintroduce el contenido herniario, que presenta un aspecto viable a la cavidad, y se coloca malla de polipropileno fijándola con puntos sueltos de material irreabsorbible, siendo alta al tercer día de ingreso sin complicaciones.
El factor de impacto mide la media del número de citaciones recibidas en un año por trabajos publicados en la publicación durante los dos años anteriores.
© Clarivate Analytics, Journal Citation Reports 2025
SJR es una prestigiosa métrica basada en la idea de que todas las citaciones no son iguales. SJR usa un algoritmo similar al page rank de Google; es una medida cuantitativa y cualitativa al impacto de una publicación.
Ver másSNIP permite comparar el impacto de revistas de diferentes campos temáticos, corrigiendo las diferencias en la probabilidad de ser citado que existe entre revistas de distintas materias.
Ver más






