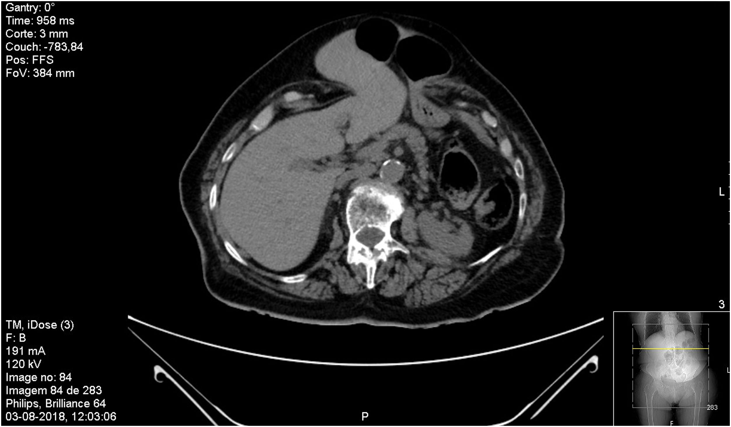
The protrusion of the liver lobe through an incisional hernia is a rare finding with very few cases reported in the literature. An 82-year-old woman underwent Hartmann's operation due to sigmoid adenocarcinoma. Three years later she was submitted to correction of a paracolostomy hernia with placement of prosthesis. The postoperative was complicated with dehiscence of abdominal suture and recurrent infections. The patient developed an incisional hernia at the level of the white line, the hernia sac containing part of the left lobe of the liver as well as the gastric antrum and part of the transverse colon (Figs. 1 and 2).
FundingNo financial support was needed.
Conflict of interestAll authors has nothing to disclose. There were no conflict of interests.






