El hematoma intramural esofágico es una entidad excepcional. La mayoría de los casos presenta buen pronóstico y se resuelve con un tratamiento conservador. Un diagnóstico tardío o erróneo puede agravar la situación, requerir intervención quirúrgica y poner en peligro la vida del paciente, algo poco descrito en la literatura médica1,2.
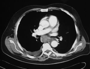
Varón de 68 años de edad, con antecedentes de hipertensión arterial bien controlada con tratamiento médico, que consultó en el servicio de urgencias por dolor centrotorácico opresivo acompañado de disnea. En el electrocardiograma se apreció una fibrilación auricular; las enzimas de isquemia miocárdica y la radiografía de tórax resultaron normales. En la analítica se detectó un dímero D de 880ng/ml (normal hasta 500) que, acompañado del cuadro clínico, hizo pensar en una tromboembolia pulmonar (TEP). Ante esta sospecha se anticoaguló al paciente con un bolo intravenoso de 50mg de heparina sódica más 80mg de enoxaparina por vía subcutánea, en espera de una gammagrafía pulmonar que confirmara el diagnóstico. El paciente empeoró y aumentó el dolor torácico, razón por la que se le realizó una tomografía computarizada (TC) torácica y abdominal, la que descartó la presencia de un aneurisma disecante de aorta pero mostró un engrosamiento del esofágico torácico con áreas de distinta densidad compatible con un hematoma intramural (fig. 1).
Inicialmente se suprimió la anticoagulación y se instauró un tratamiento conservador con dieta absoluta, nutrición parenteral y omeprazol intravenoso (40mg/día). A las 24h el paciente presentó hipotensión arterial (75/40mmHg), taquicardia y mal estado general. En la analítica se evidenció un hematocrito del 19% y 6,7 g/dl de hemoglobina por lo que se repitió la TC, en la que se observó una gran cantidad de líquido libre en la cavidad abdominal y un aumento significativo del hematoma con crecimiento hacia el abdomen. Debido a estos hallazgos y a la mala situación hemodinámica del paciente se indicó cirugía urgente. Se realizó una laparotomía media supraumbilical y se halló un hemoperitoneo de 3l de sangre y coágulos, originado en la rotura de un hematoma de la pared del fundo gástrico y el esófago abdominal, y se apreció la entrada continua de sangre en la cavidad abdominal a través del hiato esofágico, por lo que se decidió practicar una toracotomía derecha. En la cavidad torácica se comprobó que el hematoma ascendía hasta la altura de la vena ácigos y estaba roto, con hemorragia difusa en sábana. Ante la dificultad para conseguir una correcta hemostasia decidimos realizar una esofagectomía subtotal (fig. 2) con esofagostomía cervical cerrando la unión esofagogástrica con una grapadora lineal. El paciente se recuperó hemodinámicamente, pero falleció a las 48 h por insuficiencia respiratoria probablemente relacionada con la politransfusión.
El hematoma intramural esofágico espontáneo es una entidad poco frecuente que sucede generalmente en pacientes anticoagulados o que presentan algún tipo de coagulopatía3. En ocasiones, un aumento de la presión intraluminal esofágica durante el vómito puede desencadenarlo4. Clínicamente, el síntoma predominante es el dolor torácico, por lo que hay que descartar otras enfermedades más prevalentes que cursan de igual modo, como el infarto agudo de miocardio (IAM), la disección aórtica, la TEP y la perforación espontánea de esófago (síndrome de Boerhaave). La presencia de otros síntomas, como disfagia, odinofagia y hematemesis, debe dirigir las sospechas hacia un origen esofágico. De todo esto se deduce la importancia de una buena historia clínica que debe preceder a cualquier exploración complementaria. Entre las pruebas de imagen más útiles para su diagnóstico y seguimiento destacan la TC y la ecoendoscopia, que permiten diferenciarlo de la disección de aorta y la fístula aortoesofágica. A veces el hematoma intramural esofágico se confunde con una neoplasia esofágica. Diferenciarlo de un IAM5 y de una TEP es primordial ya que el tratamiento es totalmente opuesto al requerido en el hematoma. Si se indica anticoagulación, antiagregación o trombólisis6 ante la sospecha de estas enfermedades, podemos agravar el hematoma esofágico, como ocurrió en el caso que presentamos. En este sentido, merece la pena comentar que la simple elevación del dímero D asociado a dolor torácico obliga a realizar alguna prueba de imagen que confirme la TEP antes de iniciar cualquier tipo de tratamiento.
El pronóstico del hematoma intramural esofágico es bueno en la mayoría de los casos comunicados en la literatura médica, con un tratamiento conservador mediante nutrición parenteral e inhibidores de la bomba de protones, con lo que se consigue su resolución a las pocas semanas sin secuelas. No obstante, la mortalidad aumenta considerablemente en los pacientes con alteraciones de la coagulación que experimentan la rotura del hematoma y requieren intervención quirúrgica urgente. Las indicaciones de cirugía urgente son la hemorragia masiva, perforación esofágica y hematoma infectado asociado a sepsis. En este último caso, se han comunicado buenos resultados mediante el drenaje endoscópico.
En resumen, es importante incluir el hematoma intramural esofágico en el diagnóstico diferencial del paciente con dolor torácico, sobre todo si presenta factores de riesgo y síntomas digestivos asociados. Un diagnóstico incorrecto o tardío y un tratamiento igualmente erróneo pueden agravar el cuadro, desencadenándose situaciones dramáticas que ponen en peligro la vida del paciente.






