En 1838, McLachlan describió el primer caso de obstrucción duodenal por un hematoma en un paciente con un seudoaneurisma1.
Los hematomas intestinales representan menos del 6% de las causas de obstrucción intestinal. La mayoría son de origen traumático, sin embargo pueden ser ocasionados por otras causas, entre éstas, secundarias al uso de warfarina, púrpura trombocitopénica idiopática, leucemia, mieloma, linfoma, asociado a efectos de la quimioterapia, vasculitis, pancreatitis y adenocarcinoma de páncreas. Los hematomas intestinales asociados al uso de anticoagulantes orales se reportan en 1 de cada 2.500 pacientes2,3.
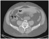
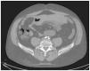
Presentamos el caso de un paciente varón de 63 años de edad que 2 días previos a su ingreso presentó dolor abdominal difuso, de predominio en epigastrio, tipo cólico, de intensidad 7/10 en la escala analógica del dolor que aumentó hasta ser 10/10, asociado a distensión abdominal, náuseas, vómito, ausencia de emisión de gases y heces. El paciente tenía antecedentes de hipertensión arterial, alcoholismo y recambio valvular aórtico con prótesis de tipo St. Jude un año antes, anticoagulado con warfarina y con mal apego a su régimen terapéutico. Se encontraba con PA de 170/100mmHg, FC de 100 latidos por min, FR de 22 respiraciones por min, temperatura de 36°C. A la exploración abdominal destacaba dolor con defensa difusa. Las pruebas de laboratorio mostraron: leucocitosis (20 400 células/mm3), TP de 72,9seg, INR de 8,18 y TTPa de 110seg. Se le realizó una tomografía computarizada (TC) del abdomen donde se observó una distensión del intestino delgado y un engrosamiento de la pared yeyunal (figs. 1 y 2). Se diagnosticó de oclusión intestinal y probable linfoma en yeyuno. Se trató con colocación de sonda nasogástrica, reversión de anticoagulación con 2 unidades de plasma fresco congelado y vitamina K (50mg) intramuscular, ciprofloxacino y metronidazol. Posterior al tratamiento inicial se encontró con un TP de 19,9seg, INR de 1,81 y TTPa de 40seg, se realizó una laparotomía y se encontró un hematoma de yeyuno a 50cm del ligamento de Treitz, con signos de isquemia y hemoperitoneo de 500cm3. Se realizó resección intestinal con anastomosis primaria latero-lateral.
El paciente evolucionó de manera favorable, en el segundo día postoperatorio inició tratamiento con enoxaparina (60mg cada 24h). Al séptimo día postoperatorio se reintrodujo tratamiento con warfarina (5mg cada 24h) y fue dado de alta.
En los últimos años ha ido aumentando el número de casos de hematoma intestinal asociado al aumento en la expectativa de vida, el aumento en la detección de neoplasias hematológicas, la mejor tecnología en equipos de diagnóstico y el mayor escrutinio en poblaciones en riesgo4. Afecta con mayor frecuencia a los hombres de edad media (60%), que es de 57,6 años4, y se asocia frecuentemente con fibrilación auricular, válvulas protésicas y trombosis venosa profunda. El cuadro clínico se caracteriza por los síntomas causados por la obstrucción intestinal y la alteración de la coagulación. Se ha observado que los pacientes con más alto riesgo son aquellos con INR alterado, en la mayoría de casos superior a 11,65. Además, el promedio de tiempo entre el inicio de uso de anticoagulantes y la presentación suele ser de 24,5 meses6.
La hemorragia de la pared intestinal es lenta y se produce en la submucosa a nivel de los vasos de pequeño calibre. Judd et al7 indican que la progresión de los síntomas obstructivos se asocia al efecto hiperosmótico del hematoma en licuefacción, que causa el engrosamiento de la pared intestinal por el secuestro de líquido de los tejidos adyacentes.
Las localizaciones más frecuentes de los hematomas espontáneos por anticoagulantes son el yeyuno, el ileón y el duodeno, y a diferencia de los hematomas traumáticos, los primeros tienen mayor longitud, 23cm en promedio4.
El uso de estudios radiográficos con bario ha disminuido por la precisión diagnóstica de la ultrasonografía (USG) y de la TC abdominal (que actualmente constituye la prueba de elección8). Existen signos radiológicos como la imagen en pila de monedas, proyecciones especulares entre los pliegues mucosos engrosados, estenosis del segmento afectado que indican el diagnóstico.
Si se realiza el estudio durante los 10 días iniciales, se observa una hiperdensidad en la región intestinal afectada, posterior a esto se observa una hipodensidad causada por la reabsorción y resolución del hematoma. Al momento de realizar la tomografía se recomienda el uso de contraste endovenoso, ya que el uso de contraste oral es controvertido2.
En la mayoría de casos el tratamiento de elección es conservador. Se debe suspender el uso de anticoagulantes, reposo intestinal, descompresión gástrica, reposición hidroelectrolítica, administración de vitamina K y transfusión de sangre en algunos casos. Si no existen complicaciones, la resolución completa del cuadro se espera en 1–5 días2. La recurrencia de hemorragia o de estenosis es rara. El tratamiento quirúrgico está reservado para complicaciones como hemorragia intraabdominal, sospecha de isquemia con o sin perforación o peritonitis4.
En conclusión, se debe contemplar la posibilidad de un hematoma intestinal en los pacientes con uso de anticoagulantes que cursen con un cuadro de oclusión intestinal.
Aun cuando los estudios de imagen tienen una elevada sensibilidad para el diagnóstico, se deben vigilar los parámetros clínicos para poder diagnosticar y tratar complicaciones isquémicas intestinales, como en este caso. Las condiciones generales del paciente, así como la integridad del asa intestinal, dan las pautas para el tratamiento quirúrgico resolutivo.






