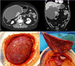
Mujer de 67 años de edad, estudiada por plenitud postprandial y pérdida de peso. Se le practica tomografía computarizada (TC) encontrándose una masa en antro gástrico de 18 x 10 cm compatible con quiste de duplicación. Fue intervenida realizándose una evacuación controlada del contenido y posterior sección del pedículo con endograpadora. El resultado anatomopatológico fue de proliferación fusocelular con estroma fibromixoide compatible con fibromixoma plexiforme. Se trata de una neoplasia mesenquimal benigna rara, descrita recientemente y de localización antral. Son propias del adulto de edad media, presentándose con clínica muy heterogénea y su diagnóstico diferencial debe realizarse con otras lesiones mixoides de la pared gástrica (fig. 1).
El factor de impacto mide la media del número de citaciones recibidas en un año por trabajos publicados en la publicación durante los dos años anteriores.
© Clarivate Analytics, Journal Citation Reports 2025
SJR es una prestigiosa métrica basada en la idea de que todas las citaciones no son iguales. SJR usa un algoritmo similar al page rank de Google; es una medida cuantitativa y cualitativa al impacto de una publicación.
Ver másSNIP permite comparar el impacto de revistas de diferentes campos temáticos, corrigiendo las diferencias en la probabilidad de ser citado que existe entre revistas de distintas materias.
Ver más




