La fibrilación auricular de origen no valvular (FANV) es la arritmia más frecuente en nuestro medio y su complicación más grave es el accidente cerebrovascular de origen cardioembólico por la discapacidad y mortalidad que conlleva. El tratamiento estándar de esta arritmia es la anticoagulación con antagonistas de la vitamina K y anticoagulantes orales (ACO) siendo el principal problema de estos fármacos el incremento del riesgo de hemorragia. Más del 90% de los trombos localizados en la aurícula izquierda se localizan dentro de la orejuela izquierda (OI), lo que ha llevado a la creación de dispositivos que cierren la misma para así prevenir el riesgo cardioembólico. El cierre percutáneo de la OI está aún en fases iniciales y su indicación se reserva actualmente para aquellos pacientes con FANV con contraindicación al tratamiento anticoagulante.
Paciente varón de 67 años de edad, hipertenso, y ex-fumador con FANV sin cardiopatía estructural con alto riesgo embolígeno anticoagulada con Edoxaban® que sufre un hematoma intraparenquimatoso en hemisferio izquierdo como complicación de la misma, por lo que se procede a la colocación de un dispositivo de cierre de orejuela izquierda tipo Watchman®. En el ecocardiograma transesofágico de control realizado al mes, estando el paciente completamente asintomático, se objetiva migración del dispositivo, por lo que se realiza tomografía axial computarizada visualizándose dicho dispositivo en la aorta abdominal infrarrenal.
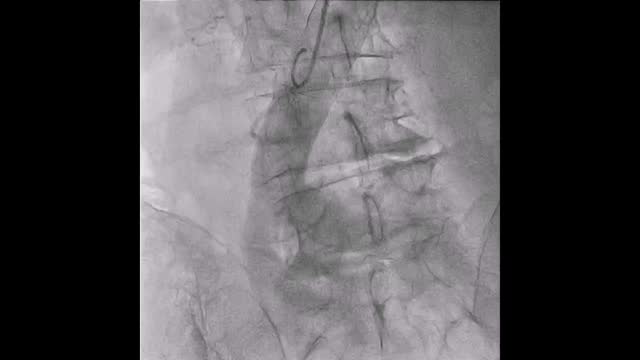
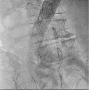
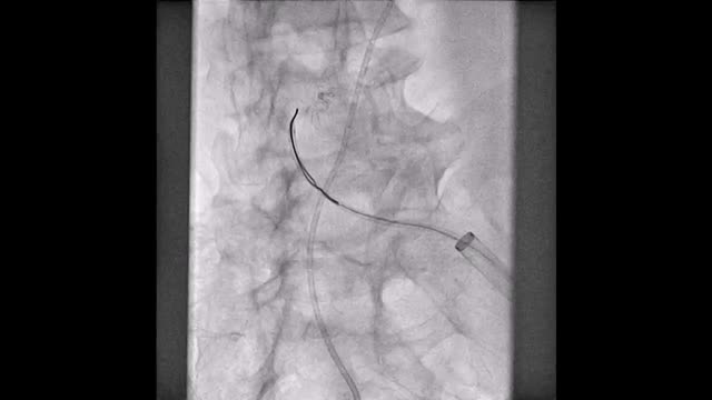
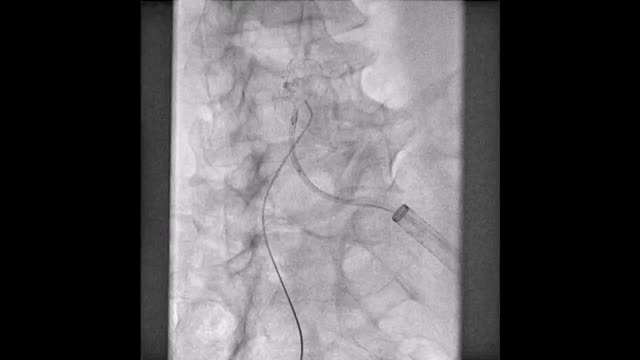
El paciente se traslada a la sala de hemodinamia donde se intenta la extracción del dispositivo. Se utilizan diferentes catéteres lazo de 10, 25 y 30 mm, así como lazos de fabricación con guías largas y cortas intentando movilizar el dispositivo desde diferentes accesos vasculares (acceso bifemoral 6 y 18 Fr y radial 6 Fr) (figuras de la 1 a la 4). Se produce como complicación disección de aorta abdominal con extensión a arteria ilíaca común derecha (figuras 5 y 6) y pérdida total del flujo en extremidad inferior ipsilateral con signos y síntomas de isquemia arterial aguda, por lo que el paciente es trasladado de forma urgente al quirófano de angiología y cirugía vascular. Se realiza disección de aorta abdominal infrarrenal vía laparotomía media con aortotomía longitudinal en el lugar de la localización del cuerpo extraño visualizándose el dispositivo migrado anclado a la íntima-media de la pared arterial. Se procede a su extracción y posteriormente se realiza cierre de aortotomía con parche de pericardio bovino fijando la disección y corrigiendo así el defecto (figuras de la 7 a la 9). El paciente sale de quirófano con pulso pedio bilateral y excelente perfusión distal.
Vista la dificultad para extraer el dispositivo por vía endovascular y debido a la complicación que se produjo durante el procedimiento, podría plantearse, como primera opción, la extracción mediante cirugía abierta.
Cabe la posibilidad de que los saltos a ritmo sinusal que el paciente experimentaba fueran causantes de la migración del dispositivo, lo que debería hacernos pensar en otra posible opción terapéutica como la implantación de un marcapasos.
Conflicto de interesesLos autores declaran no tener ningún conflicto de intereses.













