La enfermedad quística adventicial (EQA) es una rara enfermedad vascular cuya prevalencia se ha señalado en uno de cada 1.200 casos de claudicación intermitente. Por su rareza, con frecuencia se confunde con enfermedad aterosclerótica. Típicamente se presenta como claudicación intermitente soleogemelar, unilateral y rápidamente progresiva en un hombre joven y sano sin factores de riesgo cardiovascular1.
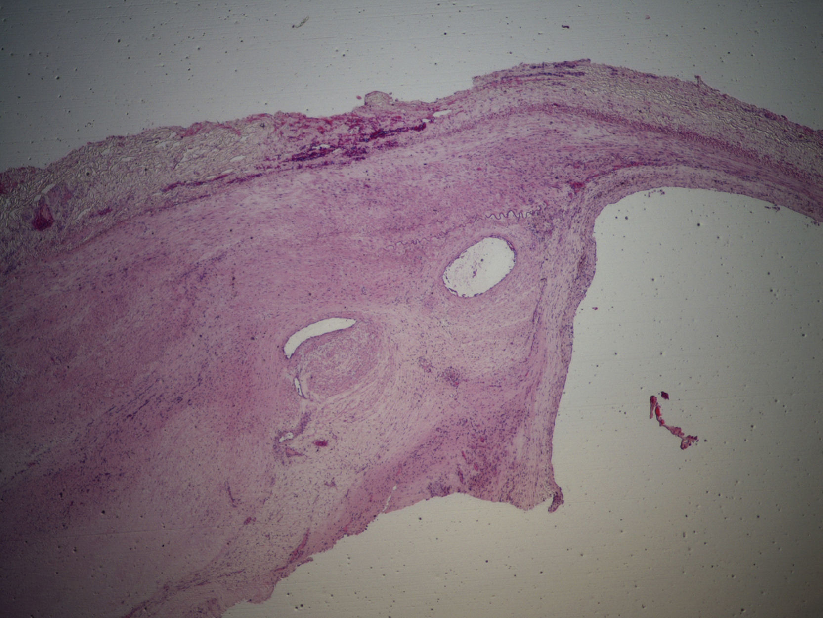
Presentamos el caso de un varón de 42 años con antecedentes de hipercolesterolemia y tabaquismo que presentó claudicación intermitente a los 300 m en la región soleogemelar derecha. La exploración física reveló un pulso poplíteo disminuido y ausencia de pulsos distales en la extremidad inferior derecha. El doppler mostró un índice tobillo-brazo de 0,53 en dicha extremidad. En la ecografía doppler se visualizó una arteria poplítea derecha ectásica con un calibre máximo de 11mm con contenido anecogénico en su interior y flujo de altas velocidades. La resonancia magnética mostró una oclusión brusca de aproximadamente 4cm de longitud en la segunda porción poplítea derecha. Se decidió corrección quirúrgica por vía posterior. En la exposición, se observó una arteria poplítea aumentada de tamaño con salida de material gelatinoso y ligeramente amarillento. Se realizó exéresis de la arteria poplítea en su segunda porción y reconstrucción mediante bypass poplíteo-poplíteo con vena safena externa invertida. Las muestras remitidas a anatomía patológica fueron informadas como enfermedad quística de la adventicia arterial (figs. 1 y 2). El postoperatorio inmediato transcurrió sin incidencias y fue dado de alta a los 3 días con pulsos distales palpables. En el seguimiento a 3 meses, el paciente se encontraba asintomático con buena perfusión de dicha extremidad.
La EQA consiste en la formación de quistes mucinosos en la adventicia de la pared arterial que crecen lentamente protruyendo dentro de la luz y produciendo una estenosis localizada con aumento de la velocidad de flujo en dicho segmento. Con el tiempo, pueden llegar a causar una oclusión total. Se localiza en la arteria poplítea en el 85-90% de los casos y es frecuentemente unilateral. Afecta principalmente a los hombres (15:1) entre los 40 y los 50 años. No guarda relación con la aterosclerosis ni con sus factores de riesgo1.
Existen varias teorías sobre el origen de la formación de los quistes: la de la degeneración de la adventicia con relación a enfermedades sistémicas del tejido conectivo o a microtraumatismos repetidos; la teoría del ganglión que indica que los quistes se originan a partir de estructuras sinoviales que se implantan en la adventicia; y la teoría del desarrollo que propone que la EQA es una manifestación de las células secretoras de mucina derivadas del mesénquima de las articulaciones próximas durante el desarrollo embrionario1,2.
Clínicamente se presenta de forma típica como una claudicación intermitente en la región soleogemelar de comienzo brusco y progresión rápida. Raramente se presenta en forma de isquemia aguda. En la exploración física habitualmente se palpan los pulsos distales, aunque pueden faltar en caso de oclusión. En algunos pacientes, la flexión pasiva de la rodilla induce la desaparición de los pulsos distales (signo de Ishikawa)1,3. El índice tobillo-brazo suele ser normal en reposo y puede disminuir tras el ejercicio1.
Dada la presentación inespecífica y la rareza de la EQA, el diagnóstico no se suele conseguir antes de la intervención quirúrgica. Para el diagnóstico se recomiendan la ecografía doppler, la tomografía computarizada y la resonancia magnética1,3,4. Estas pruebas de imagen han reemplazado la angiografía diagnóstica convencional1. Por su disponibilidad y bajo coste, la ecografía doppler se considera la prueba de imagen inicial a realizar ante la sospecha de EQA. Los quistes se muestran como lesiones anecoicas o hipoecoicas. La resonancia magnética se considera la prueba de imagen de elección ya que permite una caracterización precisa de las lesiones quísticas y de su relación con las estructuras vasculares. Las lesiones quísticas presentan señal de baja intensidad en T1 y de alta intensidad en T21,3,5,6.
Existen varias opciones de tratamiento. El quirúrgico convencional consiste en la resección del segmento arterial afecto y su reconstrucción mediante interposición de vena antóloga. Esta es la técnica de elección cuando la arteria está totalmente ocluida o hay degeneración de la túnica media de la pared arterial. Cuando la arteria poplítea es permeable, la escisión quirúrgica del quiste es una alternativa menos invasiva que ofrece buenos resultados a largo plazo. La punción aspiración percutánea puede resultar en una evacuación incompleta del quiste con tasas de recurrencia en torno al 10%. La angioplastia transluminal percutánea no es una opción eficaz como tratamiento definitivo porque, a diferencia de lo que sucede en la aterosclerosis, la íntima es normal y es la pared arterial la afectada1,3,5.






