Sr. Director:
Hemos leído con interés el reciente trabajo de Zorraquino et al1 sobre un caso de enfermedad de Castleman, no sólo por tratarse de una entidad poco frecuente, sino porque tenemos otro caso que aportar tras haber utilizado la laparoscopia en sus dos posibilidades: diagnóstica y terapéutica.
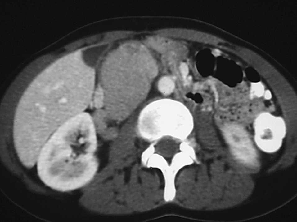
La paciente era una joven de 28 años que venía siendo largamente estudiada por el Servicio de Medicina Interna por un cuadro de anemia crónica. Sus antecedentes eran una alergia a penicilina, tabaquismo y los últimos 2 años en tratamiento para la infertilidad. La exploración era normal, salvo la palpación del abdomen, en la que se delimitaba una tumoración adherida a planos profundos en hipocondrio derecho, no dolorosa. No había adenomegalias. Todos los numerosos y exhaustivos estudios realizados fueron negativos. Sólo se pudo evidenciar una infección por citomegalovirus con posterior negativización de IgM. En la tomografía computarizada (fig. 1) se definían imágenes nodulares múltiples entre la aorta y la cava y retrocavas por debajo de la salida de la mesentérica superior, de 2,5 y 2,2 cm. En continuidad y en sentido distal, se observa un gran nódulo de 6,7 x 4,7 cm que llega a la pared abdominal. El resto de la exploración descartaba la existencia de otras adenopatías.
Fig. 1. TAC. Tumoración retroperitoneal interaórtico-cava.
En ese punto, el diagnóstico iba orientado a un proceso linfoproliferativo (la primera posibilidad barajada era el linfoma) y el planteamiento terapéutico exigía una biopsia previa. Se le realizó una punción percutánea con aguja fina y control tomográfico; la anatomía patológica no pudo ser concluyente y, aunque apuntaba una posible enfermedad de Castleman sin descartar otras opciones, se hacía necesaria una biopsia. Se planteó la posibilidad de realizar una laparoscopia exploradora con toma de biopsia. En el curso del procedimiento se pusieron en evidencia las características de la tumoración ya definidas en las pruebas de imagen y se comprobó que su implantación posterior estaba en el surco aortocavo. El resultado de la biopsia en cuña fue concluyente: enfermedad de Castleman. Al tratarse de la variedad unifocal la primera opción terapéutica es la exéresis completa o la citorreducción cuando ello no sea posible.
Se realizó un abordaje laparoscópico que exigió la liberación de todas las adherencias de la tumoración, quedando únicamente su cara posterior en donde se disecaron tanto la aorta como la cava viéndose como la tumoración emergía entre ellas pero en íntimo contacto con la pared antero-ventral de la vena cava. Se decidió entonces realizar una laparotomía para poder realizar un control vascular riguroso. Se extirpó la tumoración completamente con una pequeña pastilla de vena cava y después se suturó directamente. El postoperatorio fue normal y la paciente está asintomática hasta la fecha. La anatomía patológica definitiva diagnosticó una enfermedad de Castleman de tipo mixto: plasmocelular y hialino-vascular.
No es necesario insistir en las características de esta rara enfermedad benigna, también llamada hiperplasia angiofolicular linfoide, que está bien descrita pero sigue planteando su principal problema en el diagnóstico2. De hecho, el mayor número de las publicaciones son de "casos clínicos" en los que no se llegó al diagnóstico hasta tener la pieza quirúrgica. Por otra parte, tiene dos formas de presentación: unicéntrica y multicéntrica. En este último caso es posible realizar una biopsia de alguna estructura más asequible, pero cuando su única lesión está en la cavidad abdominal, es la laparotomía la vía habitualmente elegida. Es cierto que mediante esa vía se consigue tanto alcanzar el diagnóstico como completar el tratamiento, pero hay que hacer hincapié en que se trata de un proceso linfoproliferativo con indicación de resección; no obstante, una gran mayoría de enfermedades linfoides tienen tratamiento médico exclusivamente y se evitaría que el paciente pasara por el quirófano.
En cuanto a la utilización de la laparoscopia, los pocos casos aportados ponen de manifiesto que es posible utilizar esta vía de abordaje, que puede llegar a extenderse puesto que se trata de una enfermedad benigna y bien delimitada, y aportaría como ventajas una menor agresión y un postoperatorio mejor3,4. Creemos que no solamente en la enfermedad de Castleman, sino en todos los procesos linfoproliferativos intraabdominales en los que no se pueda alcanzar un diagnóstico, se debería plantear una laparoscopia exploradora antes que ver como inevitable una laparotomía.





