Los aneurismas de la arteria ilíaca interna o hipogástrica (AAII) constituyen una entidad rara que supone menos del 0,5% del total de los aneurismas intraabdominales1. Su diagnóstico es a menudo difícil de establecer debido a su localización y a que pueden ser asintomáticos hasta en un 43% de los casos2. En ocasiones pueden dar lugar a síntomas inespecíficos, como estreñimiento, o a síntomas neurológicos3,4, urológicos y edema de las extremidades inferiores por compresión extrínseca1. La historia natural de los AAII transcurre hacia su crecimiento y posterior rotura, que se asocia a una mortalidad que llega a ser de hasta del 90%5.
Exponemos el caso de un varón de 82 años, sin antecedentes de interés, que acudió al servicio de urgencias por presentar edema rizomélico de extremidades inferiores de predominio izquierdo, de una semana de evolución, sin otra sintomatología asociada. La exploración física reveló la presencia de una masa pulsátil, localizada en la fosa ilíaca izquierda, con soplo a la auscultación. Los pulsos femorales, poplíteos y pedios eran palpables y simétricos en ambos lados.
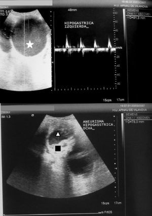
La radiografía de tórax no permitió detectar signos de insuficiencia cardíaca ni cardiomegalia. El electrocardiograma mostró ritmo sinusal a 72lpm, sin criterios de crecimiento ventricular. Las pruebas analíticas realizadas, incluyendo la de función renal, fueron normales. Se practicó una eco-Doppler abdominal y de miembros inferiores, que demostró permeabilidad del sistema venoso, con ausencia de trombosis venosa profunda asociada. Se observó la presencia de aneurisma en ambas arterias ilíacas internas (derecha: 6cm, izquierda: 9cm), sin evidencia de rotura aguda. La aorta era de calibre normal (fig. 1). La tomografía axial computarizada (TAC) realizada confirmó los hallazgos de la eco-Doppler (fig. 2).
Tras valoración en sesión medicoquirúrgica, se decidió realizar tratamiento intravascular mediante endoprótesis aortobiilíaca (Excluder-Gore®) de 26×12×16mm, más extensión ilíaca contralateral de 12×14mm, previa embolización, mediante coils, de ambos aneurismas.
La evolución postoperatoria del paciente fue satisfactoria, con permeabilidad del sistema vascular afectado, sin evidencia de fugas internas, con trombosis de ambos aneurismas ilíacos y conservación de los pulsos distales en las extremidades inferiores. Se le dio el alta alta el sexto día del postoperatorio, sin evidencia de isquemia pélvica ni mesentérica. Se ha efectuado seguimiento durante los últimos 28 meses, sin que el paciente haya referido claudicación glútea. Los controles por eco-Doppler y TAC no han mostrado complicaciones del procedimiento.
Los aneurismas de la arteria ilíaca interna pueden cursar a menudo sin presentar síntomas evidentes2. Los datos clínicos suelen ser secundarios a la compresión extrínseca de los uréteres hasta en un 45% de los casos y de las raíces lumbosacras o el nervio crural en un 15% de éstos1. También pueden manifestarse mediante la rotura, que habitualmente se diagnostica por sospecha clínica ante un dolor lumbar agudo que irradia a través del plexo sacro6. Existen casos descritos con afectación unilateral y edema asociado7, así como otros con trombosis ileofemoral por compresión extrínseca8.
Aunque inocua y de fácil realización, la eco-Doppler no siempre nos puede ayudar en el diagnóstico de los AAII; en el estudio que realizaron Vowden et al9 pasó desapercibido el 76% de los casos que se confirmaron posteriormente con la TAC. Esta exploración complementaria es la que en la actualidad se considera como prueba estándar para el diagnóstico de los AAII, dado que aporta información sobre su localización exacta, la afectación de otras estructuras vasculares y sus relaciones con otros sistemas anatómicos.
Ante el diagnóstico de AAII con pared vascular íntegra, asintomático o no, se recomienda la intervención electiva del paciente, puesto que los estudios muestran una incidencia de rotura anual que puede llegar a ser del 67% a partir de un diámetro de 4,5cm, con una mortalidad asociada del 90%2; sin embargo, no se ha encontrado hasta la fecha una relación evidente entre el tamaño y la potencialidad de rotura de estos aneurismas. Actualmente, se mantiene la recomendación de tratamiento quirúrgico para aquellos que midan más de 3,5cm4. Con las técnicas endovasculares se ha conseguido reducir la mortalidad del tratamiento electivo de esta entidad, que ha pasado del 42% en la década de 19603 a menos del 10% en la actualidad1.
El tratamiento clásico de los AAII se realiza mediante laparotomía media y exclusión simple del aneurisma. En los casos con afectación bilateral y en pacientes mayores de 70 años, por el riesgo de isquemia pélvica o de claudicación glútea que presentan estos enfermos, se asocia a la técnica descrita la revascularización mediante interposición de injerto protésico. En el caso que describimos se decidió realizar una técnica intravascular como primera opción quirúrgica. En este sentido, Pitulias et al10 publicaron una serie de 55 pacientes con AAII tratados mediante técnicas intravasculares o quirúrgicas, en la que concluyeron que, aunque en los casos electivos ambas técnicas podían llevarse a cabo con bajas tasas de morbididad y mortalidad, el tratamiento intravascular presentaba mejor evolución postoperatoria inmediata, con menor tiempo de recuperación, por lo que podía indicarse como alternativa de primera elección. En cualquier caso, será probablemente la experiencia del equipo quirúrgico en estas técnicas la que determine la opción final.






