El cáncer colorrectal (CCR) es una de las neoplasias más frecuentes, tanto en varones como en mujeres, ocupan la cuarta causa de muerte por cáncer en nuestro medio. A su vez, el cáncer renal representa el 2% de todos los tumores del organismo, siendo el carcinoma de células renales (CR) el más frecuente1.
La presentación sincrónica de CR y CCR es excepcional, con una prevalencia que oscila entre el 0,03 y el 4,85%2. Con la utilización sistemática de pruebas de imagen no invasivas como la tomografía computarizada (TC), se ha incrementado el diagnóstico de tumores renales asintomáticos. Esto favorece que se diagnostiquen de forma subclínica, en estadios tempranos de la enfermedad3.
En la actualidad, el abordaje laparoscópico del CCR y de las CR están bien establecidos, sin embargo, la realización simultánea de una colectomía y nefrectomía parcial ha sido lograda de forma anecdótica. A continuación presentamos 4 casos clínicos, que se encuentran reflejados en la tabla 1.
Casos clínicos
| Paciente | 1 | 2 | 3 | 4 |
|---|---|---|---|---|
| Edad | 63 | 67 | 71 | 62 |
| Sexo | V | V | V | V |
| Diagnóstico | Neoplasia sigma a 18cm de MA+masa renal polo superior izquierdo (6×4cm) | Neoplasia de sigma a 21 y 38cm de MA+poliposis colónica+neoplasia renal derecha (8×7cm) e izquierda (3cm) | Neoplasia de recto a 9cm de MA+neoplasia renal izquierda (5cm) | Tumor ureteral derecho+neoplasia de colon derecho |
| Cirugía | Sigmoidectomía+nefrectomía izquierda | Nefrectomía parcial izquierda por retroperitoneoscopia (1er tiempo) Colectomía subtotal+heminefrectomía derecha (2.° tiempo) | RAB+nefrectomía izquierda | Nefroureterectomía derecha+hemicolectomía derecha ampliada |
| Sangrado intraoperatorio | 0cc | 900cc | – | 300cc |
| Tiempo operatorio | 300min | 420min | – | 360min |
| Días de estancia hospitalaria | 6 | 12 | 12 | 30 |
| Morbilidad | 0 | 0 | 0 | Absceso intraabdominal |
| AP tumor colon | ADC moderadamente diferenciadoTNM pT4N0 | 3 ADC infiltrantes+1 ADC in situ+ múltiples tubulovellosos TNM pT3, pT2, pT1, pTis | ADC moderadamente diferenciadoTNM pT3 N0 | ADC infiltrante+1 adenoma velloso+adenomas tubulares múltiplesTNM pT2 N0 |
| AP tumor renal | Carcinoma renal papilar tipo II TNM pT1bNx | Carcinoma renal quístico (izquierdo) TNM pT1Carcinoma renal de células claras (derecho) TNM pT3 | Carcinoma renal papilar tipo II | Carcinoma ureteral de células transicionalesTNM pT3 Nx |
ADC: adenocarcinoma; AP: anatomía patológica; RAB: resección anterior baja.
La asociación entre el CCR y las CR es poco habitual. No existe una correlación, excepto en los llamados síndromes hereditarios, como el de Lynch, aunque ninguno de nuestros pacientes cumplía criterios.
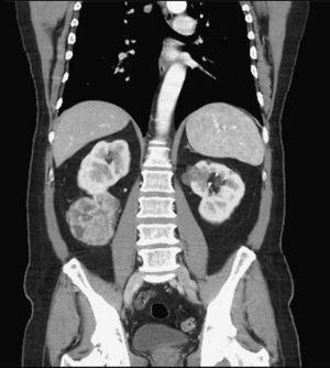
En nuestra serie se ha realizado abordaje ipsilateral y también contralateral, el cual planteaba mayores dificultades técnicas, como el cambio en la posición de los trocares y del paciente. Uno de ellos fue diagnosticado de neoplasia de colon y doble neoplasia renal, no descrito hasta ahora2,4-7. En este caso, se realizó primero la nefrectomía parcial izquierda por retroperitoneoscopia, con intención de mantener virgen la cavidad peritoneal para la siguiente intervención. Esta vía de abordaje no era aconsejable en el tumor derecho, dado su gran tamaño, que lo hacía técnicamente más complejo (especialmente debido a que la renorrafia por vía retroperitoneal resulta más complicada por la falta de espacio y triangulación). Días después se realizó la colectomía subtotal laparoscópica en decúbito supino, cambiándose a decúbito lateral izquierdo para la nefrectomía parcial derecha. A pesar del tamaño tumoral, debido al antecedente quirúrgico en el riñón contralateral, se planteó una cirugía conservadora de nefronas, con intención de preservar la función renal (fig. 1).
La mayoría de nuestros pacientes presentaron un postoperatorio sin complicaciones, excepto el último caso en el que aparecieron abscesos intraabdominales, sospechándose una posible dehiscencia anastomótica. Se manejó con tratamiento conservador y evolucionó favorablemente.
Así pues, una de las ventajas es poder tratar al mismo tiempo 2 neoplasias, de este modo, en caso de aparecer complicaciones postoperatorias no se retrasa el tratamiento de una de ellas. Además, el tratamiento simultáneo evita un segundo procedimiento anestésico y disminuye el trastorno ocasionado al paciente y familiares, al evitar un segundo ingreso, siendo una opción más costo-efectiva.
Por contra, la cirugía combinada en 2 órganos diferentes, plantea dificultades en la táctica. El abordaje sincrónico supone una agresión biológica mayor que la realización de 2 intervenciones por separado, alargando la estancia hospitalaria. Sin embargo, es posible sobre todo, cuando ambos procedimientos son sencillos, como ha sido documentado en otras series8,9,10, o cuando se practica en un centro hospitalario de alto nivel con recursos para el manejo satisfactorio.
Así pues, el tratamiento simultáneo laparoscópico de neoplasias de origen renal y colónico es factible y reproducible. La mayor ventaja de esta opción técnica es que permite tratar al mismo tiempo ambas lesiones, y de este modo evitar el retraso que se produciría si se intervinieran de forma secuencial.






