La colecistitis aguda enfisematosa es una rara entidad, de mal pronóstico, que representa entre el 1% y el 3% de todas la colecistitis agudas1. Se caracteriza por la presencia de gas en la luz vesicular, pared y tejidos pericolecísticos procedente de microorganismos productores de gas, siendo más frecuente en pacientes diabéticos o inmunodeprimidos2.
Los casos de colecistitis aguda tras cirugía cardiaca suelen debutar días o semanas tras la intervención, siendo excepcional la colecistitis enfisematosa fulminante a las pocas horas del acto quirúrgico. Presentamos un caso de colecistitis aguda enfisematosa de curso fulminante tras cirugía cardiaca.
Se trata de una mujer de 68 años con antecedentes de hipertensión arterial en tratamiento médico, fibrilación auricular anticoagulada y comisurotomía por estenosis mitral reumática hacía 10 años.
La paciente fue intervenida por doble lesión valvular aórtica con predominio de estenosis severa, de forma programada, mediante la colocación de una prótesis aórtica mecánica (tiempo de circulación extracorpórea 120 minutos y tiempo de pinzamiento aórtico 60 min), sin complicaciones intraoperatorias.
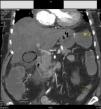
A las 8 h de la intervención, la paciente todavía con ventilación mecánica, comienza bruscamente con oliguria, hipotensión y taquicardia. En la analítica destaca un aumento de las cifras de lactato de hasta 9,3mg/dl, con Hb de 8,3g/dl (salió del quirófano con 11g/dl) sin débito hemático por los drenajes. Se realiza una endoscopia digestiva alta para descartar sangrado digestivo, apreciando mucosa gástrica de aspecto isquémico. En analítica de control destaca: GOT 4.418, GPT 3.195, actividad de protrombina del 33%, CPK 9013. La TC de urgencia informó de hígado con áreas parcheadas hipodensas, con arteria hepática y vena porta permeables, colecistitis enfisematosa alitiásica y trombosis de arteria renal izquierda desde su salida de la aorta (fig. 1).
Ante los hallazgos, se indicó una laparotomía exploradora urgente, hallando una colecistitis aguda enfisematosa, isquemia hepática en parches y asas intestinales de aspecto isquémico. Se realizo una colecistectomía tomando muestras de bilis para cultivo.
La paciente fue trasladada a la UCI, donde desarrolló un fracaso multiorgánico, falleciendo a las 72 h de la primera cirugía. El estudio de anatomía patológica objetivó una necrosis de la pared vesicular con trombos organizados de los vasos de pequeño calibre. El cultivo biliar fue positivo para Bifidobacterium sp.
La colecistitis aguda enfisematosa representa entre el 1-3% de las colecistitis agudas, siendo más frecuente en varones, ancianos y en pacientes con diabetes mellitus, alcanzando una mortalidad del 15%-20%3. En su etiopatogenia, está implicada la invasión bacteriana de la pared vesicular por gérmenes productores de gas, tras una isquemia de la pared.
La clínica que presentan estos pacientes inicialmente es similar a la colecistitis aguda simple, pudiendo evolucionar excepcionalmente de manera fulminante. En la TC abdominal con contraste podemos observar las imágenes demostrativas de gas perivesicular (fig. 1). Esta entidad se considera una urgencia quirúrgica y su tratamiento de elección es la colecistectomía inmediata, asociando amplia cobertura antibiótica. A pesar de un tratamiento adecuado la mortalidad, en estos pacientes es aproximadamente de un 15%.
La colecistitis aguda tras cirugía cardiaca es poco frecuente, representando menos del 0,1%, siendo la mayoría de ellas de origen litiásico, siendo muy pocos los casos de colecistitis aguda enfisematosa de evolución fulminante referidos en la literatura tras cirugía cardiaca. Solo hemos encontrado un caso de evolución fulminante a las 12 h de la realización de una aortografía4. Los pacientes publicados presentaban un tiempo medio de aparición de los síntomas de entre 4-9 días5,6, mientras que el cuadro clínico de nuestro paciente se estableció en un periodo de 8 h, precipitado posiblemente por la hipoperfusión de la cirugía con circulación extracorpórea desencadenándose una trombosis posterior masiva, isquemia y sobreinfección bacteriana. La colonización de la vesícula por un germen anaerobio saprofito del colon, nos puede explicar lo inusual de este caso así como la gravedad del mismo, que evolucionó de forma fulminante a sepsis y fallo multiorgánico.





