Introducción
Las lesiones quísticas de hígado forman un grupo heterogéneo de enfermedades, con etiología, prevalencia y manifestaciones clínicas diferentes. La mayor parte de ellas se descubren como hallazgos casuales tras la exploración de la cavidad abdominal mediante distintas técnicas de imagen. En general, siguen un curso benigno y se mantienen asintomáticas. Tan sólo una minoría requiere tratamiento quirúrgico, ya sea por la aparición de síntomas o por su naturaleza neoplásica. Las lesiones quísticas más frecuentes son los quistes simples. En nuestro medio, donde la enfermedad hidatídica tiene una incidencia importante (5,2-7,6/100.000 habitantes/año), la equinococosis debe tenerse en cuenta en el diagnóstico diferencial. Las lesiones neoplásicas primarias quísticas de hígado son entidades raras. Entre ellas destacan los cistoadenomas hepatobiliares, los cistoadenocarcinomas, los hamartomas y los teratomas. El cistoadenoma hepatobiliar constituye tan sólo el 5% de las lesiones quísticas de hígado. A continuación presentamos dos de estos infrecuentes casos y discutimos tanto las manifestaciones clínicas como los aspectos histológicos y el tratamiento que precisan estas lesiones.
Casos clínicos
Caso 1
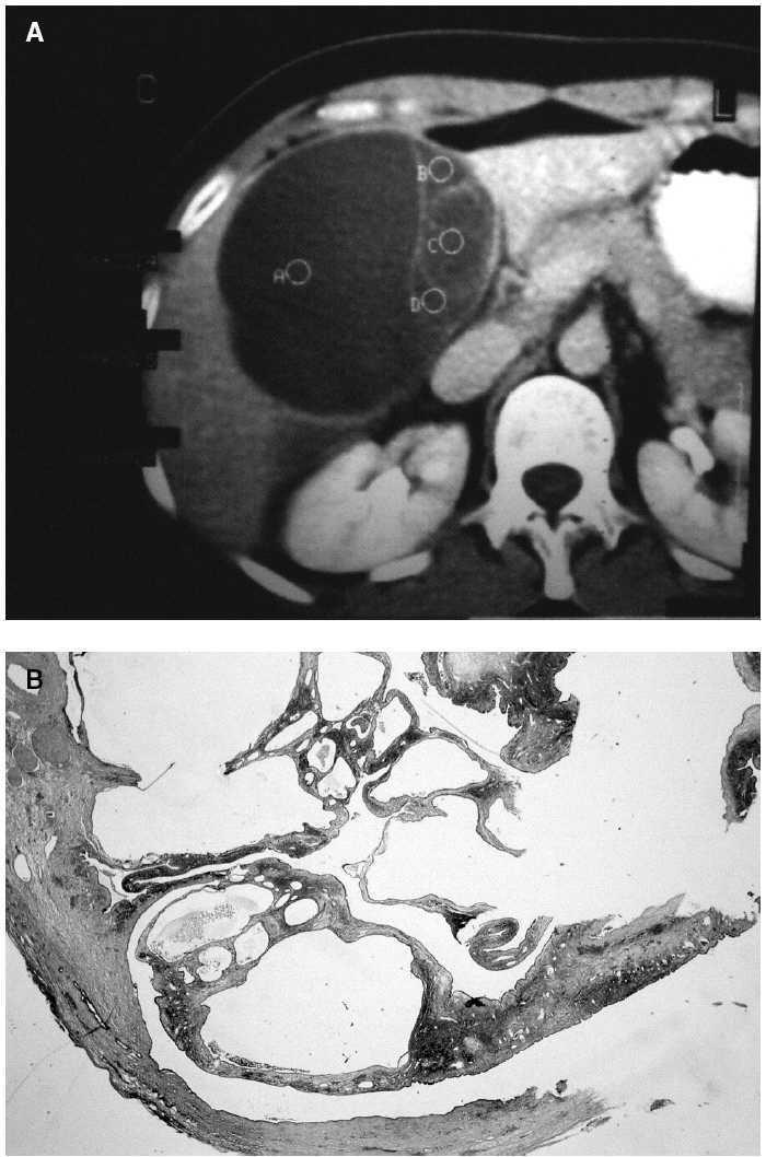
Mujer de 40 años sin antecedentes de interés que consultó por dolor en el hipocondrio derecho de 1 mes de evolución sin acompañarse de náuseas, fiebre, ictericia, coluria u otros síntomas. A la exploración destacaba hepatomegalia dolorosa de dos traveses de dedo. Los datos analíticos de laboratorio se encontraban dentro de límites normales a excepción de un discreto aumento de la gammaglutamiltranspeptidasa (GGT) (45 U/l). La ecografía abdominal describió una masa quística bien delimitada de 10 × 12 cm de diámetro en el lóbulo hepático derecho, con septos en su interior y alguna imagen nodular en su pared. La tomografía computarizada confirmó los hallazgos de la ecografía y mostró que no afectaba a estructuras vasculares o biliares adyacentes (fig. 1). La serología hidatídica fue negativa. Se intervino quirúrgicamente a la paciente mediante una laparotomía subcostal derecha ampliada, y se observó una lesión situada en el segmento IV hepático, de superficie lisa y blanquecina. Se obtuvo muestra por punción del contenido del quiste, un líquido seroso, amarillento y acelular. El análisis citológico y la biopsia intraoperatoria no demostraron signos de malignidad. Se practicó una enucleación completa de la lesión y colecistectomía añadida. El informe anatomopatológico definitivo describió una tumoración multiquística, revestida por epitelio cúbico simple en algunas áreas y cilíndrico simple en otras, débilmente positivo con la técnica de PAS y de ácido peryódico-Schiff (PAS) características benignas, por lo que el diagnóstico final fue "cistoadenoma seroso". El postoperatorio transcurrió sin incidencias. Tras 7 años de seguimiento la paciente permanece asintomática y sin signos radiológicos de recidiva.
Fig. 1 A: tomografía computarizada abdominal, corte axial. Puede observarse la presencia de una tumoración quística de 12 cm en su diámetro mayor, localizada en el segmento IV hepático, de paredes finas, y que se encuentra trabeculada por la existencia de finos septos intraquísticos. B: detalle histológico del cistoadenoma seroso, que está constituido por múltiples quistes de diámetro variable, delimitados por septos finos (hematoxilina-eosina, ×1,25).
Caso 2
Mujer de 24 años de edad, sin antecedentes de interés, que consultó por molestias inespecíficas en el hipocondrio derecho y plenitud posprandial sin otra sintomatología acompañante. A la exploración física tan sólo se apreciaba un tinte subictérico conjuntival, y en la exploración abdominal, hepatomegalia de 3 cm desde reborde costal mínimamente dolorosa. Como hallazgos de laboratorio descataban: hiperbilirrubinemia discreta (bilirrubina total, 3,5 mg/dl; directa, 2,56 mg/dl), aumento de la fosfatasa alcalina (560 mg/dl) y aumento de transaminasas (GPT, 236 mg/dl; GGT, 362 mg/dl). En la ecografía se objetivó una masa quística, dependiente de lóbulo hepático derecho (LHD), de aproximadamente 16 cm de diámetro, con finos septos en su interior. La tomografía computarizada helicoidal (TCH) mostró una masa bien delimitada, de naturaleza quística asentada sobre el LHD, sin dilatación de las vías biliares intrahepáticas o extrahepáticas (fig. 2). Las muestras de laboratorio de hemaglutinación y látex para descartar hidatidosis resultaron negativas. Se hizo un abordaje mediante una laparotomía subcostal bilateral y se comprobó la presencia de la masa anteriormente descrita que ocupaba casi la totalidad del LH. Se practicó una colangiografía intraoperatoria en la que no se apreció compromiso de la vía biliar intra/extrahepática ni dilatación significativa de ella. El líquido intraquístico era seroso oscuro, acelular en las muestras remitidas para estudio citológico intraoperatorio. Asimismo, en la biopsia intraoperatoria de la pared quística no aparecieron signos de malignidad. Se realizó una exéresis completa de la tumoración y también una colecistectomía. El informe patológico confirmó la naturaleza de la lesión; se trataba de una tumoración quística de paredes fibrosas, con algún septo fino, cuya superficie estaba revestida por un epitelio cilíndrico simple, PAS positivo y PAS-diastasa resistente. El diagnósitco final fue cistoadenoma hepatobiliar de tipo mucinoso.
Fig. 2. A: corte axial de la tomografía helicoidal computarizada. La lesión, quística, de gran tamaño, se encuentra dividida por la presencia de un fino septo que la cruza anteroposteriormente. El lóbulo hepático izquierdo se encuentra prácticamente atrófico. B: detalle histológico. Cistoadenoma mucinoso revestido internamente por epitelio cilíndrico simple, PAS positivo, resistente a amilasa, sin atipia (amilasa, ×40).
Discusión
Entre las lesiones quísticas hepáticas, los cistoadenomas hepatobiliares constituyen tan sólo el 5% de ellas. Ocurren con mayor frecuencia en mujeres de mediana edad, sin haberse confirmado relación entre su génesis y la toma de anticonceptivos1. Suelen asentar en el parénquima hepático, aunque también es posible encontrarlos en el sistema biliar extrahepático.
El cistoadenoma hepatobiliar fue definido en 1958 por Edmondson2 como una lesión multilocular delimitada por un epitelio columnar que asienta sobre una estroma celular densa similar a la estroma ovárica. Hoy día ésta se considera una definición muy restrictiva, ya que existe un pequeño porcentaje de cistoadenomas que carecen de esa estroma. Histológicamente, los primeros presentan un epitelio cuboidal o columnar que asienta, en un 85% de los casos, sobre una estroma densa en células fusocelulares, ricamente vascularizadas, con un núcleo ovoideo y un nucleolo prominente que lo diferencia del tejido conectivo circundante. Típicamente, el epitelio es glandular mucosecretor. Excepcionalmente, se han descrito cistoadenomas serosos, caracterizados por estar compuestos de numerosos microquistes, limitados por un epitelio generalmente simple, ya sea cúbico, poligonal o cilíndrico, de citoplasma claro por su contenido en glucógeno, y por carecer de la estroma típica descrita anteriormente. Histológicamente son idénticas a sus homónimas pancreáticas3. Es más, ante el hallazgo de un cistoadenoma biliar seroso debe descartarse la coexistencia de una lesión primaria en el páncreas. La mayoría de los casos de cistoadenomas con estroma mesenquimal se dan en mujeres, mientras que los que carecen de ésta son más frecuentes en varones.
Suelen iniciarse clínicamente como una masa palpable, acompañada o no de dolor abdominal. Aquellos de mayor tamaño pueden presentar síntomas secundarios a la compresión de la vía biliar, como ictericia o colangitis. Otros síntomas más infrecuentes son los derivados de la compresión de la vena cava o los producidos por una hemorragia intraquística, por rotura o sobreinfección4.
De manera repetida, en los casos y series publicadas, se atribuye un potencial maligno a los cistoadenomas, basándose en los hallazgos histológicos de las piezas quirúrgicas, en las que, a veces, se ven focos de atipia y displasia, similares a los observados en algunos cistoadenocarcinomas. Están descritas diferencias en cuanto al pronóstico, dependiendo de si la neoplasia maligna se deriva presumiblemente de un cistoadenoma con una estroma ovárica-like o de un cistoadenoma que carece de esa estroma. Los que pertenecen al primer grupo suelen tener una evolución más indolente, mientras que los cistoadenocarcinomas sin estroma mesenquimal siguen un curso mucho más agresivo3.
El diagnóstico diferencial debe hacerse con el resto de las lesiones quísticas, y en especial con el quiste hidatídico, demostrando una serología negativa para Echinococcus. El estudio de las imágenes radiológicas resulta el más útil para acercarnos al diagnóstico preoperatorio. La ecografía demuestra una masa anecoica con finos septos internos hiperecogénicos5. La TCH muestra una lesión quística, con una pared más o menos gruesa, de superficie lisa y con presencia de septos internos que, tras la administración de contraste, aumentan su captación. Algunas series indican que tanto la presencia de masas sólidas nodulares como la de una pared algo más engrosada y calcificada suceden con mayor frecuencia en cistoadenocarcinomas. Tanto la colangiopancreatografía retrógrada endoscópica como la colangiografía intraoperatoria son útiles si existe o se sospecha comunicación con la vía biliar. También se ha utilizado la determinación de distintos marcadores tumorales para intentar realizar un diagnóstico preoperatorio correcto. En el análisis del plasma se ha descrito un aumento de CA 19-96,7 en algunas series que, sin embargo, otros autores no han confirmado8. Parecen ser más útiles los valores intraquísticos del antígeno carcinoembriogénico (CEA) y del CA 19-9. En varias revisiones se demuestra un aumento significativo de los niveles de CA 19-9 y un aumento moderado de los valores de CEA, que permiten diferenciarlos de quistes simples no complicados o quistes hidatídicos. Sin embargo, la titulación de estos marcadores no permite distinguir entre la naturaleza benigna o maligna del cistoadenoma. Además, algunos autores recuerdan la posibilidad de diseminación tumoral tras una punción transparietal, por lo que desaconsejan esta práctica rutinaria.
El potencial maligno del cistoadenoma hace que el tratamiento recomendado de éste sea la resección completa del tumor9,10. La recidiva es la norma cuando se emplean otros tratamientos menos agresivos, como el drenaje quirúrgico o la simple puesta a plano de la lesión. En tumores de gran tamaño no se recomienda realizar resecciones hepáticas no anatómicas, ya que con frecuencia se encuentran desplazadas las estructuras vasculares y biliares vitales adyacentes a la pared del quiste.
Los 2 casos que presentamos reúnen las características típicas de este tipo de lesiones: masas quísticas de crecimiento insidioso en mujeres jóvenes, cuyo primer síntoma es el dolor abdominal, e imágenes radiológicas que describen una fina trabeculación intraquística característica de este tipo de afección. En nuestro medio, y sobre todo ante una serología hidatídica negativa, el cistoadenoma debería ser el primer diagnóstico de presunción. La elevación de los marcadores tumorales plasmáticos (CA 19-9) puede ayudar a sospechar el diagnóstico de manera preoperatoria; sin embargo, su normalidad no excluye el diagnóstico. Parece más sensible la determinación de marcadores tumorales en el líquido intraquístico, aunque en nuestra opinión no estaría recomendado realizar una punción diagnóstica preoperatoria, ya que, por una parte, no existe rango cuantitativo discriminativo para diferenciar su naturaleza neoplásica maligna, y por otra parte, aunque en menor número, se han descrito falsos positivos en lesiones benignas complicadas con hemorragia, así como la posibilidad de diseminación tumoral antes citada. En cuanto al tratamiento, en ambos casos, y a pesar del gran tamaño de cada una de las lesiones descritas, pudimos encontrar planos de disección que posibilitaron la resección completa de los tumores. Las hepatectomías mayores o lobectomías deberán tenerse en consideración dependiendo de la ubicación tumoral y reserva hepática resultante. No creemos indicado otro tipo de tratamiento quirúrgico menor, tales como drenaje o destechamiento de la lesión, debido a las altas probabilidades de recidiva o a que se trate de una lesión maligna tras el estudio histológico completo de la pieza.
Correspondencia:
Dr. R. Marcos Hernández.
Hospital Universitario Príncipe de Asturias. Servicio de Cirugía General.
Ctra. Meco, s/n.
28805 Alcalá de Henares. Madrid. España.
Correo electrónico: rmarcos@terra.com
Manuscrito recibido el 29-12-2005 y aceptado el 28-2-2006.






