Las causas de la oclusión de la vena cava inferior (VCI) son diversas incluyendo la trombosis, la agenesia o la ocupación por tumores primarios y secundarios1. Nuestro objetivo es describir un caso inusual de oclusión de la VCI.
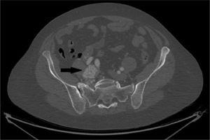
Mujer de 59 años, con antecedente de hipertensión arterial, que en estudio por policitemia se diagnostica mediante una ecografía casual la existencia de trombosis de VCI. No presenta edema de extremidades inferiores. Se completa estudio con angio-TC toraco-abdominal observando trombosis de las venas ilíacas y VCI que se extiende hasta la aurícula derecha. Se inicia tratamiento anticoagulante, y mediante resonancia magnética (RM) pélvica se identifica, además, la existencia de una masa sólida con límites bien definidos adyacente al cuerpo uterino (fig. 1). Ante la sospecha de tumor ginecológico que invade la VCI se solicitan marcadores tumorales que resultan negativos, y se inicia tratamiento con un modulador selectivo de los receptores de progesterona (acetato de ulipristal 5mg/24h). Al mes presenta empeoramiento clínico progresivo con disnea a grandes esfuerzos. El ecocardiograma muestra imagen ecogénica móvil en la aurícula derecha sin afectación valvular. El caso es valorado por un comité multidisciplinario indicando tratamiento quirúrgico.
Por la extensión intracardíaca se decide cirugía bajo derivación cardiopulmonar e hipotermia moderada (28°C), en un tiempo quirúrgico. De forma simultánea, el cirujano vascular y el cirujano cardíaco, expusieron la VCI a nivel infrarrenal y la aurícula derecha mediante laparotomía y esternotomía media, respectivamente. Tras la atriotomía se observa masa sólida blanquecina libre, y tras la cavotomía se observa masa sólida blanquecina no adherida al endotelio. Se procede a la extracción del tumor de forma retrógrada desde la cavotomía con tracción continua sin resistencia. Se extrae una masa tubular nacarada (fig. 2). Después del recalentamiento, se procede a la histerectomía con salpingo-ooforectomía bilateral por parte de ginecología. Previo al cierre de la laparotomía, presenta parada cardiorrespiratoria con disfunción cardíaca derecha por aquinesia del ventrículo derecho. Se implanta asistencia cardíaca tipo ECMO la cual se puede retirar a los 7 días tras recuperación de la función ventricular. Se descarta tromboembolismo pulmonar asociado. La evolución posterior es hacia la mejoría clínica progresiva, siendo alta a domicilio a los 40 días de la intervención. La anatomía patológica confirma el diagnóstico de leiomiomatosis intravenosa (LIV) descartando malignidad. A los 6 meses, se encuentra asintomática sin evidencia de recurrencia tumoral en el angio-TC.
La LIV es una variante rara del leiomioma uterino, histológicamente benigna, pero por su capacidad de invasión en la luz de las venas adyacentes puede considerarse maligna2. Fue descrita por primera vez por Birch-Hirschfeld en 1896 y los primeros casos de leiomiomatosis intracardíaca se describieron en 19073. Se han publicado alrededor de 400 casos de LIV y recientemente Li et al. publicaron una serie de 194 casos con extensión intracardíaca, mujeres con edad media de 48 años, la mayoría con antecedentes de leiomioma uterino, y clínicamente se manifestaban con disnea, síncope y edema de las extremidades inferiores4.
El diagnóstico habitualmente se realiza mediante eco-doppler, y se confirma con angio-TC y RM. En caso de afectación intracardíaca es útil el ecocardiograma5. Para diferenciar una trombosis venosa de la VCI con la ocupación tumoral de la misma es necesaria la RM ya que la mayoría de las señales de LIV son similares o ligeramente superiores a las del músculo en T1 y más altas en T2. También se puede mostrar si hay adhesión entre el tumor y la pared vascular, o las cavidades cardíacas. Por lo tanto, es importante para el diagnóstico preoperatorio, la planificación quirúrgica y la evaluación pronóstica de los pacientes6.
El tratamiento hormonal, como el utilizado en nuestro caso, está basado en estudios que muestran la positividad de receptores hormonales en las células tumorales7. Sin embargo, el tratamiento definitivo de esta enfermedad requiere la extirpación quirúrgica total del tumor.
La estrategia quirúrgica dependerá de la extensión tumoral. En aquellos casos con afectación intracardíaca, la cirugía más aceptada es la extracción completa del tumor en un tiempo quirúrgico. La histerectomía y doble ooforectomía está indicada en el mismo acto quirúrgico, aunque el momento de realizarla depende del equipo quirúrgico8.
La resección completa es fundamental para prevenir la recurrencia de la enfermedad, descrita en un 30% de los casos9. Dado que la vía de extensión más frecuente es la vena ilíaca seguida de la vena ovárica, se deben evaluar todas las vías potenciales de extensión del tumor, incluso considerar la ligadura estándar de las venas ilíacas internas. Se ha descrito también el uso de radioterapia para aquellos con recurrencia, en nuestro caso la ausencia de recurrencia postoperatoria descarta esta última opción10.
Concluimos que la LIV es una entidad rara que puede ser potencialmente mortal por su capacidad de extenderse a las cavidades cardíacas. Por este motivo, se deber tener en cuenta en pacientes con antecedente de miomas uterinos y diagnóstico de trombosis de vena cava inferior. El tratamiento es la extirpación quirúrgica del tumor y la histerectomía junto a la anexectomía. La evolución esperada es hacia la curación de la enfermedad, pero teniendo en cuenta la recurrencia, es necesario un seguimiento para su detección precoz como se describe en la literatura.






