El carcinoma metaplásico de mama es una neoplasia infrecuente, que constituye aproximadamente el 1% de todos los carcinomas de mama1. Se asocia a mal pronóstico y elevada incidencia de recurrencia. Bajo este término se engloba a un grupo heterogéneo de tumores caracterizados por la coexistencia de adenocarcinoma con áreas de diferenciación hacia otras estirpes celulares, epiteliales no glandulares o mesenquimales, en proporción variable.
Presentamos el caso de una mujer de 86 años, con antecedentes personales de bronquitis crónica, tuberculosis pulmonar, hipertensión arterial, fibrilación auricular en tratamiento con anticoagulantes orales y colecistectomía, que acudió a consulta por presentar tumoración retroareolar en la mama izquierda. A la exploración presentaba una masa de unos 4–5cm, de consistencia pétrea y que producía retracción del pezón. No se palparon adenopatías axilares. En la mamografía se apreció, en el área retroareolar de la mama izquierda, una imagen nodular de 3×2,5×4cm de diámetro con densa calcificación en su interior (fig. 1), asociada a engrosamiento cutáneo. La lesión estaba bien delimitada y no se apreciaban áreas con espiculación. Los hallazgos correspondían a la categoría BI-RADS IV. Se realizó biopsia con tru-cut que permitió llegar al diagnóstico de carcinoma metaplásico productor de matriz. El estudio de extensión fue negativo.
La paciente se intervino quirúrgicamente y se le realizó tumorectomía central incluyendo complejo areola-pezón y linfadenectomía axilar. El curso postoperatorio transcurrió sin incidencias.
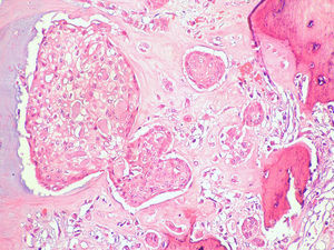
El estudio histopatológico demostró un nódulo ovoide de 3,9×2,1cm circunscrito y bien delimitado. Microscópicamente, presentaba una proliferación infiltrante de patrón ductal, constituida por estructuras seudoglandulares, cordones, regueros y nidos sólidos de células epiteliales con moderada atipia citológica. Dichas células neoplásicas se encontraban inmersas en una estroma conectiva desmoplásica con amplias áreas de diferenciación a cartílago e incluso hueso maduro (fig. 2). Se estableció el diagnóstico de carcinoma metaplásico (3,9cm), infiltrante, moderadamente diferenciado. Los 17 ganglios linfáticos regionales que se obtuvieron en la linfadenectomía estaban libres de infiltración. Se realizaron asimismo técnicas de inmunohistoquímica que proporcionaron los siguientes resultados: positividad (+++) de los receptores de estrógenos y de progesterona en el 70 y en el 50% de las células tumorales, respectivamente; expresión nuclear de p53 en el 60% de las células tumorales y positividad de Ki67 en el 10–15% de las células tumorales. El Herceptest® fue negativo.
En la clasificación de tumores de mama de la OMS2, el carcinoma metaplásico de mama agrupa a una serie de tumores de histología, fenotipo y potencial biológico variado. Incluye tumores en los que se entremezcla un componente de adenocarcinoma de mama con otro dominante de tumor fusocelular, carcinoma escamoso o tumor mesenquimal con distintos grados de diferenciación. También incluye aquellos carcinomas fusocelulares o escamosos puros en los que no se reconoce el componente de adenocarcinoma. El carcinoma metaplásico productor de matriz es una variante que engloba a un grupo de tumores en los que, aparte del componente epitelial, existen elementos mesenquimales heterólogos, tales como cartílago, hueso, músculo liso o esquelético, tejido adiposo o fibroblástico.
El carcinoma metaplásico incluye una amplia variedad de subtipos morfológicos y tumores de intensidad biológica diversa3. Se trata de tumores voluminosos, con poca afectación de ganglios axilares, de baja supervivencia (<50% a los 5 años) y que se presenta con mayor frecuencia en edades avanzadas. El carcinoma metaplásico productor de matriz tiene un comportamiento menos agresivo que el resto de las variantes del grupo. Se caracteriza por la abundante producción de una matriz estromal cartilaginosa u ósea sin presencia de células fusiformes que produzcan una transición hasta un fenotipo mesenquimal y sin presencia de células multinucleadas de tipo osteoclástico. Ocurre mayoritariamente en mujeres posmenopaúsicas con una edad media en torno a 60 años. El síntoma inicial suele ser una masa palpable firme y móvil, generalmente indolora, de 3–4cm4,5. Los ganglios axilares están afectados con menor frecuencia que el carcinoma no metaplásico y la frecuencia de positividad para receptores hormonales también es menor.
El tratamiento es quirúrgico, son de escasa efectividad la radioterapia y la quimioterapia, lo que puede estar relacionado por el peor pronóstico de estos tumores en relación con el carcinoma habitual de mama. La linfadenectomía axilar puede no ser necesaria en edades avanzadas.






