El traumatismo hepático es una complicación frecuente en traumatismos abdominales graves. En estos pacientes el grado de inestabilidad hemodinámica marcará la necesidad de intervención urgente. Ante un politraumatizado, con sospecha de afección hepática, la tomografía computarizada (TC) es la modalidad diagnóstica de elección para la evaluación del traumatismo hepático. Una posible complicación de un traumatismo hepático es el biloma. Éste es una colección de bilis intrahepática o extrahepática encapsulada y generalmente supramesocólica, por traumatismo, lesión iatrogénica o perforación espontánea del árbol biliar o de la vesícula biliar. Los bilomas espontáneos de etiología no traumática son infrecuentes. La bilis en la cavidad peritoneal en ocasiones puede ser tolerada, con ausencia de síntomas agudos, y se define como ascitis biliar, que ocurre cuando la bilis es estéril. Cuando causa una reacción de encapsulación, se desarrolla el biloma. El diagnóstico puede realizarse mediante la TC; la más específica es la técnica helicoidal, que a su vez puede ser utilizada para el drenaje percutáneo de la colección. No obstante, la colangiografía retrógrada endoscópica (CPRE) también es una prueba útil en el diagnóstico de las lesiones de la vía biliar.
Presentamos el caso de un varón de 31 años que, en el contexto de un politraumatismo por accidente de tráfico, presenta traumatismo craneoencefálico con fractura temporal y fractura abierta de cúbito y radio. En la valoración radiológica al ingreso (TC), se evidencia un hematoma que afecta a hilio hepático, con extravasación de contraste de los segmentos IVa y b, VII y VIII, que ocupa gran parte de lóbulo hepático derecho, aunque está contenido por la cápsula de Glisson, y con escasa cuantía de líquido libre intraabdominal. Al presentar estabilidad hemodinámica y constantes estables, se mantiene actitud conservadora con respecto al traumatismo hepático.
Durante su estancia en UCI, presenta trombocitopenia, aumento del tiempo de protrombina, elevación de enzimas hepáticas con valores de GOT y GPT en torno a 1.200 UI/l, bilirrubina en ascenso a expensas de la fracción directa y anemia marcada, precisando la infusión de varios concentrados de hematíes y plaquetas. En los controles radiológicos no se evidenciaron cambios significativos ni obstrucción de la vía biliar intrahepática o extrahepática que explicase la elevación de enzimas de colostasis.
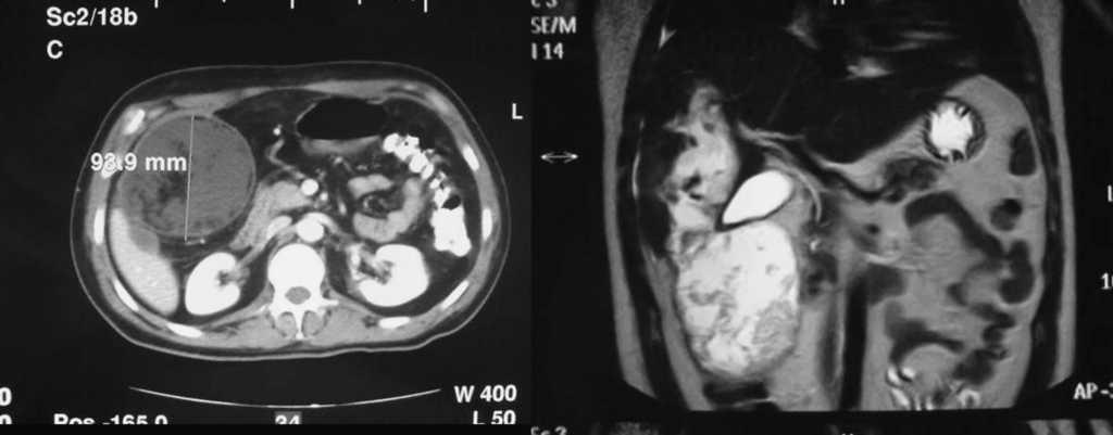
El séptimo día de estancia en UCI presenta síndrome febril, con leucocitosis en ascenso, con sospecha de abscesificación de hematoma hepático. El cuadro se resuelve con tratamiento antibiótico empírico, con disminución progresiva de las enzimas hepáticas hasta los valores normales. En la TC de control se objetiva disminución del volumen del hematoma hepático, que tiene un diámetro de 6 cm, pero se visualizan burbujas aéreas subcapsulares que indican sobreinfección de la colección; el paciente está afebril y con recuento leucocitario normal, ante lo cual se decide continuar con amplía cobertura antibiótica. En una nueva TC de control destaca un aumento del tamaño de la lesión (9,3 cm de diámetro), de contenido fundamentalmente líquido, incluyendo densidades grasas en su interior (fig. 1). Ante el aumento de tamaño de la colección hepática, se decide intervenir al paciente descartando la punción percutánea ante la posibilidad de que fuera un hematoma con sangrado activo. En el acto quirúrgico se objetiva un biloma englobado por el epiplón mayor, que desplaza el ángulo hepático del colon, dependiente del hígado (segmentos IV y V) e íntimamente adherido a la pared costal, y se procede a su drenaje quirúrgico (fig. 2) y mesohepatectomía IV–V, con hemostasia y biliestasia de la zona. La evolución fue favorable, y se dio el alta al paciente el décimo día postoperatorio.
Figura 1. A: tomografía computarizada. B: resonancia magnética. Lesión focal de margen bien definido en el parénquima hepático, con dimensiones de 9,3 × 9,8 × 24 cm, de contenido fundamentalmente líquido, alternando áreas densas con áreas hipodensas de densidad grasa.
Figura 2. Apertura de tumoración inflamatoria con drenaje de biloma.
Como se ha descrito en diferentes estudios1–3, la mayoría de los autores recomiendan que el manejo inicial del traumatismo hepático debe hacerse de forma conservadora, siempre que se pueda mantener la estabilidad hemodinámica, mientras que los pacientes con traumatismo hepático asociado con lesiones en otros órganos requieren cirugía, dada la alta mortalidad que presenta su manejo conservador1. En nuestro centro, la decisión de mantener un tratamiento conservador no sólo depende del grado del traumatismo hepático, sino en gran medida de la situación hemodinámica del paciente, siempre manteniendo una valoración integral del paciente. En cuanto al diagnóstico del biloma, su apariencia radiológica (TC o RM) es la de una lesión quística focal homogénea y bien delimitada, sin septos ni calcificaciones en su interior4. Aunque la ecografía abdominal es útil y suficiente para el diagnóstico de las colecciones intrahepáticas y extrahepáticas, la TC abdominal con contraste hoy es la exploración de elección para el diagnóstico de las complicaciones derivadas de lesiones traumáticas hepáticas y de vías biliares, ya que permite no sólo localizar exactamente colecciones intrahepáticas, sino además controlar su progresión o resolución y su punción-drenaje externa guiada3,5. La RM muestra hallazgos superponibles a los de la TC, aunque la colangio-RM puede ayudar a identificar lesiones de conductos biliares6. Respecto a las colecciones hepáticas postraumáticas, el drenaje externo guiado por TC se considera hoy por hoy el tratamiento de elección7. La CPRE con esfinterotomía y colocación de stents se reservan para casos con fístula biliar mantenida. La cirugía en estos casos suele ser una forma infrecuente de resolución, dado que se incrementa la morbilidad y se obtienen resultados similares.
Autor para correspondencia.
Jesús Cañete Gómez
Dirección: jesusknt@hotmail.com






