Han pasado más de 120 años desde que R. Fitz describió en 1886, el término de apendicitis crónica1. Existen múltiples reportes en la literatura a cerca de esta patología, motivo de gran controversia. Algunos autores dudan de su existencia y otros la corroboran por la presencia de datos histopatológicos propios de inflamación crónica2.
En 1999 se publicó la siguiente clasificación de la patología apendicular: apendicitis crónica, apendicitis recurrente y cólico apendicular3. Estrictamente estas son entidades fisiopatológicas distintas; sin embargo, clínica e histopatológicamente, la apendicitis crónica y la recurrente se comportan igual, ya que sólo se demuestran por hallazgos histopatológicos correspondientes a cambios inflamatorios crónicos (infiltrado eosinofílico o linfocitario en la pared del apéndice y/o fibrosis)4. Los autores a favor de esta entidad patológica encuentran en estos hallazgos una prueba convincente de la existencia de la apendicitis crónica.
Es necesario aclarar las causas fisiopatológicas que ocasionan que algunos casos se manifiesten como apendicitis aguda y otros manifiesten síntomas inespecíficos que conducen al diagnóstico tardío o incluso a no diagnosticar esta patología. La obstrucción parcial de la luz apendicular por hiperplasia mucosa o apendicolitos es la causa más frecuente de apendicitis crónica o recurrente. Sin embargo, existen procesos inflamatorios apendiculares de origen infeccioso, que por ser causas poco frecuente son difíciles de diagnosticar. Este es el caso de bacterias como Actinomyces que comúnmente infectan al sistema respiratorio, mucosa genital y oral pero raramente el tracto gastrointestinal5,6.
La actinomicosis es una infección causada por bacterias anaerobias, del género Actinomyces, que colonizan de manera habitual la cavidad oral, el colon y la vagina. Una lesión en la mucosa de estos tejidos puede ocasionar una infección en cualquier sitio. Caracterizada por ser de progresión lenta y por la formación de «gránulos de sulfuro», con áreas de pus rodeadas de tejido fibrótico, formando masas que pueden confundirse con neoplasias, desarrollando fístulas en el estadio más avanzado de la enfermedad. El agente causal más frecuente es Actinomyces israelii (A. israelii), seguido A. naeslundii/viscosus, A. odontolyticus, A. meyeri y A. gerencseriae7. La forma abdominal representa aproximadamente un 20% de los casos de actinomicosis. Existe una forma común de diseminación ascendente, relacionada al uso de dispositivo intrauterino. La apendicitis, principalmente la perforada, es el factor predisponente más frecuente, asociándose en un 65% a los casos de actinomicosis abdominal6,7.
Mujer de 22 años, acude a consulta en febrero del 2009 presentando dolor abdominal localizado en la fosa iliaca derecha y el hipogastrio, fiebre y diarrea intermitente, disuria, poliaquiuria y tenesmo vesical de 3 años de evolución, síntomas que se agudizaron en los últimos días. Fue examinada por facultativos de diferentes instituciones y especialidades. Se realizaron una TC de abdomen y pelvis, una urografía miccional y un tránsito intestinal, diagnosticando infección de las vías urinarias por Escherichia coli. El servicio de ginecología realizó una laparoscopia diagnóstica 2 años atrás, sin diagnóstico definitivo, encontrando datos de enfermedad pélvica inflamatoria.
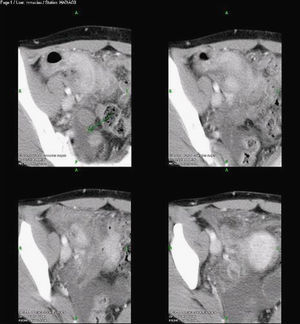
A la exploración, se encuentra un abdomen distendido, doloroso a la palpación en fosa iliaca derecha, dolor a la descompresión, signos apendiculares positivos (McBurney, Rovsing, Blumberg) y fiebre de 37,8°C. Se realizaron un tránsito intestinal, una ecosonografía y una TC abdominopélvica (fig. 1), donde se evidencian cambios inflamatorios en íleon distal y ciego. Se decide realizar una laparoscopia diagnóstica. Se encontró un apéndice vermiforme, con proceso inflamatorio severo, retrocólica, adherida firmemente a la pared abdominal, fibrosis intensa, eritema y múltiples abscesos, realizando una apendicectomía laparoscópica, sin necesidad de resección ileocólica. El estudio histopatológico reportó gránulos de sulfuro, microabscesos, fibrosis y infiltrado eosinofílico evidenciando la presencia de A. israelí (apendicitis crónica por actinomicosis) (fig. 2).
La actinomicosis es una patología insidiosa y de difícil diagnóstico, especialmente cuando la localización es abdominal8. Pocos médicos tienen presente este diagnóstico, por lo que suele pasar inadvertido y manifestarse crónicamente con las complicaciones tardías de la enfermedad. En 2003, Echenique et al describen, en la Revista Española de Enfermedades Digestivas, que el diagnóstico de actinomicosis abdominal se sospecha cuando en una TC se observan masas quísticas mal definidas, que presentan realce con contraste o formas de infiltración seudotumoral mesentérica. Mediante la TC o la ecografía se puede realizar una biopsia o un drenaje percutáneo dirigido, aunque el diagnóstico definitivo es el estudio histopatológico de la pieza quirúrgica.
La actinomicosis abdominal, y en especial la infección apendicular crónica, debe tomarse en cuenta como diagnóstico diferencial en el dolor en fosa iliaca derecha, especialmente cuando la evolución es crónica. La apendicitis crónica debe de sospecharse en pacientes que presentan dolor en la fosa iliaca derecha de más de 7 días de evolución, aun cuando no existan datos clínicos de laboratorio o gabinete significativos de inflamación. Se han reportado que un 75% de estos pacientes presentan criterios histológicos de apendicitis crónica9. Es de especial importancia en el sexo femenino, ya que el 75% de los casos reportados de actinomicosis abdominal son mujeres y de éstas el 65% usuarias de DIU10. Es común que la actinomicosis produzca una respuesta inflamatoria crónica, granulomatosa, con formación de abscesos, producción de pus y fibrosis del tejido afectado7,10. Por tanto, después de varios meses y años de sintomatología abdominal, el diagnóstico definitivo de esta patología sólo puede ser histopatológico. Si en el estudio microscópico se documenta A. israelii y gránulos de sulfuro, acompañado de un infiltrado eosinofílico, linfocitario y una fibrosis crónica del apéndice, sin duda estamos ante un caso de apendicitis crónica.
El tratamiento de elección para actinomicosis es penicilina, 2 a 6 semanas de terapia por vía intravenosa, seguida de terapia oral con penicilina o amoxicilina durante 6 a 12 meses. Aunque el tratamiento antimicrobiano es efectivo, la intervención quirúrgica es fundamental cuando hay formación de tejido necrótico, abscesos o fístulas y, combinado con antibioticoterapia, es exitoso en más del 90% de los casos10.






