Caso clínico
Paciente de 47 años de edad que ingresa en el hospital por cuadro de ictericia, acolia y coluria de una semana de evolución, no acompañado de dolor abdominal, fiebre ni otros síntomas. Entre sus antecedentes personales destacan: obesidad moderada, hipertensión arterial, ex fumador e insuficiencia venosa crónica. Dos años antes, tras un dolor torácico de carácter atípico, se le diagnosticó un aneurisma disecante de aorta tipo B de Stanford, por el que fue intervenido para colocación endovascular de 2 prótesis recubiertas. El seguimiento se llevó a cabo mediante tomografía computarizada y tratamiento con enalapril, atenolol y furosemida para el control de la presión arterial (en el último control 2 meses antes de su ingreso, estuvo asintomático y con cifras tensionales normales).
La exploración física muestra ictericia cutaneomucosa. El abdomen no evidenció hallazgos y en la analítica destaca: urea, creatinina e iones normales; bilirrubina total, 12,28 mg/dl; bilirrubina directa, 9,26 mg/dl; colinesterasa, 6.808 mU/ml; GOT, 51 UI/l; GPT, 242 UI/l; GGT, 1.839 UI/l; fosfatasa alcalina, 1.569 UI/l; proteína C reactiva, 50,8 mg/l; fórmula leucocitaria con un total de leucocitos de 8,03 × 109/l (el 59,4% neutrófilos y el 27,1% linfocitos); hematíes, 4,3 × 1012/l; hemoglobina, 130 g/l; hematocrito, 0,40 l/l; trombocitos, 244 × 109/l; fibrinógeno, 7,2 g/l.
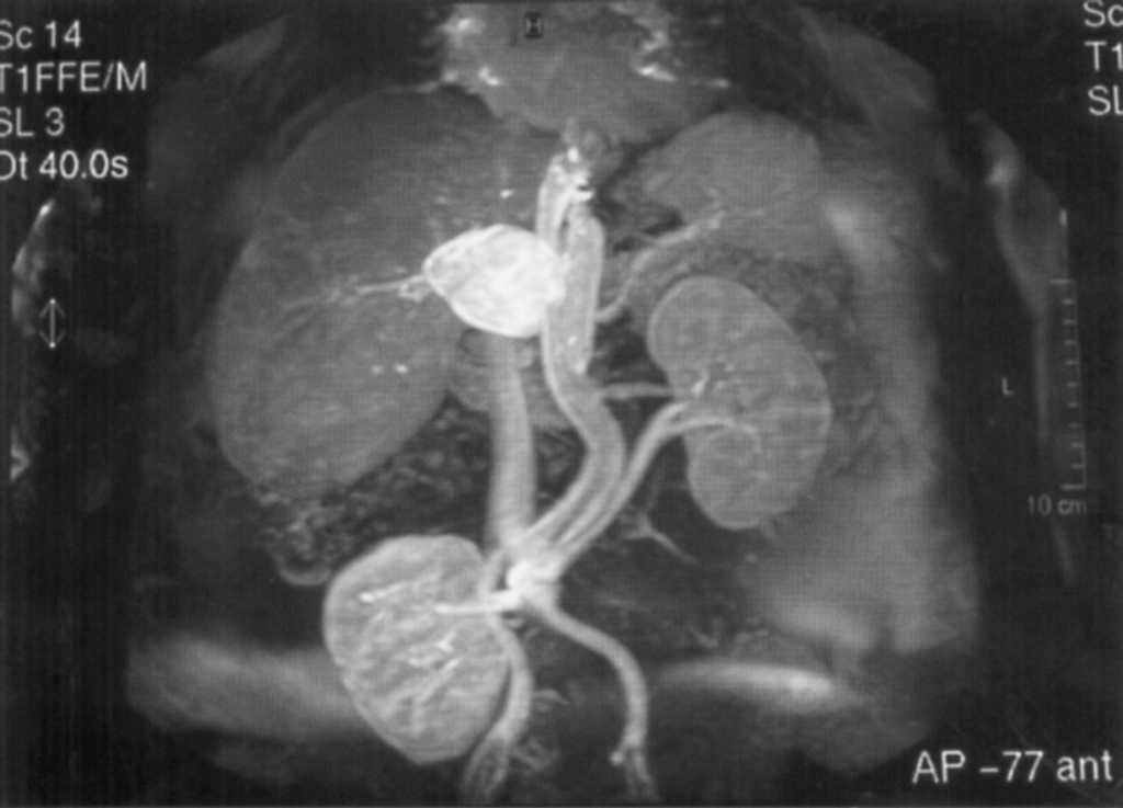
En la ecografía abdominal se aprecia dilatación ligera de colédoco (10,2 mm) y vías biliares intrahepáticas, así como esteatosis hepática sin lesiones ocupantes. La resonancia magnética y la colangiorresonancia descartan alteraciones de la via biliar; sin embargo, se comprueba un aneurisma de 7 cm de diámetro en la arteria hepática (figs. 1 y 2).
Fig. 1. Angiorresonancia que muestra el aneurisma que afecta a toda la arteria hepática común.
Fig. 2. El mismo paciente sometido a una colangiorresonancia, en la que sólo se pudo comprobar una ligera dilatación de la vía biliar.
En la intervención quirúrgica se observa un gran aneurisma de 7 cm con debilidad de la pared que afecta a toda la arteria hepática común. El tronco celíaco era de muy mala calidad, también aneurismático, y salía de una falsa luz aórtica. El aneurisma estaba en íntima relación con el antro-duodeno, la vía biliar principal y el páncreas, y determina dilatación obstructiva de la vía biliar y del Wirsung. Debido a ello se procede a la disección del aneurisma y pinzamiento del tronco celíaco, apertura de la luz aneurismática y extracción de trombos murales y cierre de la pared arterial. Dado el carácter de urgencias de la intervención, no fue posible medir el flujo mediante eco-Doppler intraoperatoria, aunque se comprobó la normal vascularización del parénquima hepático. La intervención se completó con una colecistectomía, antrectomía y una reconstrucción mediante coledocoduodenostomía y gastroenteroanastomosis.
Tras 48 h de un aceptable postoperatorio, el paciente comenzó con fiebre de 38 °C, descenso de la hemoglobina en 3 puntos y aumento de enzimas hepáticas (GOT, 432 UI/l; GPT, 1.993 UI/l; colinesterasa, 2.037 UI/l; lactato deshidrogenasa, 1.445 UI/l) y de la bilirrubina total. Ante la sospecha de necrosis hepática, se realizó una tomografía computarizada, que la confirmó, y se procedió a la reintervención.
Se practicó una relaparotomía con hepatectomía por necrosis de los segmentos 2 y 3 y parcialmente del 4, al final de la cual el enfermo presentó en quirófano una hipotensión brusca, con hipoxemia severa seguida de asistolia, sin recuperación tras las maniobras de reanimación cardiopulmonar avanzada.
El informe de anatomía patológica confirma un lóbulo hepático con infarto isquémico de tipo hemorrágico, con inflamación abscesificante sobreimpuesta y colostasis secundaria a obstrucción prolongada de la vía biliar.
Discusión
Los aneurismas de arteria hepática son los segundos en frecuencia de los aneurismas viscerales abdominales, tras los de arteria esplénica1. Su incidencia se estima en un 20% de todos los aneurismas viscerales. De ellos, el 80% son extrahepáticos. La aterosclerosis es la causa más frecuente, el 35% de los casos, aunque hay casos secundarios a infecciones por embolización en drogadictos con endocarditis bacteriana. La degeneración de la media está presente en el 25%. Otras causas menos frecuentes son el lupus, la periarteritis nudosa (PAN) y los secundarios a cirugía previa como el trasplante2.
La mayoría de los aneurismas intrahepáticos se producen por fracturas del tejido hepático en el curso de un traumatismo abdominal. Otras causas pueden ser arteriopatías autoinmunitarias. Actualmente la iatrogenia tras cirugía biliar y la biopsia hepática (22-28%)3 son causas cada vez más frecuentes de areurismas de la arteria hepática.
En el pasado, muchos autores recomendaban la reparación del aneurisma tanto en casos sintomáticos como asintomáticos4 por el riesgo de rotura y muerte, que oscila entre el 20 y el 80% de los casos. Sin embargo, a veces la cirugía reparadora es de difícil ejecución o las garantías del estado de salud previo del paciente no son suficientes, motivo por el que se ha intentado establecer factores de riesgo de rotura que justifiquen la tentativa quirúrgica.
El presente caso nos plantea la discusión sobre la estrategia terapéutica en los aneurismas hepáticos, en hospitales donde cada día es más frecuente la cirugía hepatopancreática mayor o el trasplante hepático. ¿Qué actitud adoptar en casos de aneurismas asintomáticos? ¿Cuál es el procedimiento quirúrgico de elección?
En los pacientes con aneurismas asintomáticos, se han propuesto como signos asociados a riesgo de rotura, y por tanto criterios de cirugía, la existencia de múltiples aneurismas viscerales o una etiología no aterosclerótica; los pacientes con PAN especialmente y los afectos de displasia fibromuscular tienen un mayor riesgo de rotura. Aunque para algunos un tamaño ≥ 2 cm es un factor muy vinculado a la rotura5, no hay consenso sobre el límite exacto en aneurismas ateroscleróticos hepáticos en sujetos asintomáticos. En estos casos, si hay una expectativa de vida adecuada de más de 2 años o hay escaso riesgo quirúrgico, se puede intentar la embolización o reparación quirúrgica. En caso de alto riesgo quirúrgico o mal estado de salud previo, sólo se debe considerar la intervención en los > 4 cm, si bien es recomendable individualizar la indicación5.
No existen estudios amplios y aleatorizados útiles para el establecimiento de evidencia médica.
Respecto a la segunda cuestión, actualmente se comunica mayor número de casos tratados con dispositivos endovasculares con éxito, y quizá por ello se pueda considerarlos en pacientes asintomáticos como procedimiento de elección6.
Nuestro enfermo presentaba ictericia obstructiva y un tamaño del aneurisma > 4 cm. La existencia de un aneurisma previo con endoprótesis descartaba la posibilidad de trasplante o tratamiento endovascular. A pesar del alto riesgo quirúrgico, fue indicada la cirugía como única alternativa posible.
Tras la salida del quirófano y en las primeras 36 h, el paciente no presentó complicaciones. A las 48 h comienza con fiebre, inestabilidad hemodinámca y hepatólisis. Ante la sospecha de necrosis isquémica hepática, se realizó una tomografía computarizada confiando en su mayor sensibilidad/especifidad, y confirmó la sospecha. No mostró trombos, por lo que no se planteó la posibilidad de tratamiento fibrinolítico.
Correspondencia:
Dr.A.M.Puppo.
Cerro Verde, 19.
41120 Gelves. Sevilla. España.
Correo electrónico: antoniom.puppo.sspa@juntadeandalucia.es
Manuscrito recibido el 7-4-2006
y aceptado el 13-9-2006.






