Las lesiones quísticas (LQS) de la glándula suprarrenal son una patología rara, con una incidencia global reportada en serie de autopsias de entre 0,064% a 0,18%. Actualmente su incidencia está aumentando debido a la mejora y al mayor uso de pruebas de imagen1. En su mayoría son pequeñas (<4cm) y asintomáticas, siendo las lesiones gigantes (>10cm) muy raras2,3.
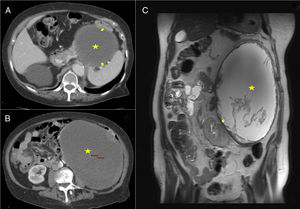
Se presenta el caso de una paciente de 84 años, con historia de dolor lumbar irradiado a flanco e hipogastrio, asociado a masa abdominal palpable de 8años de evolución que ha ido aumentando de tamaño. A la exploración física el abdomen es blando, depresible, objetivándose una masa en hemiabdomen izquierdo que se extiende desde región subcostal hasta fosa ilíaca izquierda, de bordes lisos, no dolorosa a la palpación. Tanto el hemograma, la bioquímica y las pruebas funcionales hormonales no mostraban alteraciones reseñables. Se realizó tomografía computarizada (TC) visualizándose gran masa en hemiabdomen izquierdo, caudal y medial al ángulo esplénico del colon, predominantemente quística, de 20x14,5x19,5cm (fig. 1A y B). Se realizó resonancia magnética (RM) destacando gran masa retroperitoneal que ocupa todo el flanco izquierdo, de contenido líquido (fig. 1C), sin poder precisar su origen. Dado el gran tamaño de la tumoración, la sintomatología y la necesidad de filiarla, se decide realizar intervención quirúrgica. Se realizó laparotomía media visualizándose una tumoración quística gigante intraabdominal de aproximadamente 20x15x15cm (fig. 2A). Se efectuó resección completa sin presentar complicaciones. La paciente presenta un postoperatorio satisfactorio siendo dada de alta al quinto día postoperatorio. En la revisión en consulta la paciente se encuentra asintomática y tras 12 meses de seguimiento no hay signos de recidiva. El informe anatomopatológico determinó que se trataba de un adenoma suprarrenal gigante con degeneración quística secundaria a hemorragia con necrosis fibrinoide (fig. 2B).
A y B) TC: tumoración quística (marcada con estrella) que comprime y desplaza bazo, colon y riñón izquierdo (flechas). C) RM-T2: tumoración con contenido líquido y material interno heterogéneo (marcada con estrella), las paredes presentan una morfología irregular y un calibre aumentado, desplaza inferior e internamente el riñón izquierdo (flecha).
A) Intraoperatorio. Gran tumoración quística retroperitoneal que desplaza lateralmente el colon y bazo e inferiormente el riñón izquierdo previa a su resección. B) Anatomía patológica. a) Pieza quirúrgica de 18,5 x 15,5 x 4cm de coloración amarillenta y al corte b) corresponde a una cavidad quística con una pared rugosa friable de coloración parduzca con un espesor que oscilaba entre 4-10mm. c) Histológicamente corresponde a un adenoma suprarrenal con degeneración quística secundaria a hemorragia, con necrosis fibrinoide (la estrella roja señala la necrosis fibrinoide) (la estrella verdosa los restos de corteza suprarrenal). Los colores de la figura solo pueden apreciarse en la versión electrónica del artículo.
El primer caso de una LQS fue descrito por Greiselius en 1670 y el segundo casi dos siglos después, en 18374. Estas lesiones representan una entidad rara con heterogeneidad en su clínica y etiología5. Son generalmente benignas, pero pueden estar asociadas a neoplasias suprarrenales6. Suelen ser unilaterales y raramente bilaterales (8-15%), siendo más frecuentes entre la tercera y quinta década, presentando un cierto predominio por el sexo femenino, pueden variar desde unos pocosmm hasta 50 o más cm5.
Se clasifican en cuatro subtipos histológicos: pseudoquistes, quistes epiteliales, endoteliales y parasitarios. Los pseudoquistes son el subtipo más frecuente y en su mayoría se deben a la organización de un hematoma traumático previo, un proceso tóxico o infeccioso y menos frecuentemente secundario a una degeneración o hemorragia de un tumor suprarrenal6. Las tumoraciones suprarrenales como el adenoma pueden generar cambios quísticos secundarios a degeneración o hemorragia y dar como resultado una lesión quística que puede incluirse en el grupo de los pseudoquistes7, como ocurre en el caso presentado.
Las LQS de pequeño tamaño a menudo son asintomáticas, mientras que las gigantes (>10cm) se presentan con dolor abdominal y/o lumbar, como el caso presentado, síntomas gastrointestinales secundarios a compresión extrínseca, disnea o masa palpable2.
Las LQS gigantes son de difícil diagnóstico preoperatorio, dada la dificultad para determinar su origen8. Una vez sospechada o identificada, la estrategia a seguir se basa en valorar el estado funcional y el posible potencial maligno9. Estudios de imagen han de realizarse para evaluar el tamaño, características morfológicas (textura, densidad, grosor de la pared, calcificaciones) y relaciones con las estructuras vecinas, sin embargo estos hallazgos suelen ser inadecuados para la subtipificación definitiva de una LQS o para distinguir las entidades benignas de las malignas. En estas pruebas hay que hacer un diagnóstico diferencial con quistes esplénicos, pancreáticos, hepáticos, renales, mesentéricos, retroperitoneales y aneurismas abdominales4. La TC es la prueba de imagen de elección para la evaluación inicial de una masa suprarrenal con una sensibilidad del 85-95%. La RM tiene una especificidad similar a la TC para distinguir las lesiones benignas de las malignas, sin embargo, parece superior en la determinación de la dimensión, la discriminación del tejido adiposo y en la detección de feocromocitomas10.
El tratamiento de elección es la resección quirúrgica completa, mostrando un pronóstico excelente sin evidencia de recurrencia3. El abordaje transabdominal lateral sigue siendo el más utilizado y ofrece las ventajas de un control óptimo de los vasos, las estructuras viscerales y una fácil identificación de los puntos de referencia anatómicos. La laparotomía media se realiza en casos complicados, en tumoraciones muy grandes o cuando hay evidencia de compresión o infiltración de las estructuras circundantes, razones por lo cual utilizamos este abordaje5. La aspiración percutánea es una opción de tratamiento alternativo si el quiste no es hormonalmente activo, si no hay sospecha de malignidad y en pacientes con alto riesgo quirúrgico8.
Concluimos que las LQS gigantes son una patología muy rara, con una etiología y comportamiento clínico heterogéneo. Son muy importantes los estudios de imagen y de la función suprarrenal y ante un diagnóstico incierto, lesiones de gran tamaño o sospecha de malignidad, como en el caso presentado, hay que realizar una resección quirúrgica completa de la lesión y un estudio anatomopatológico exhaustivo.






