Las fracturas de la pared torácica, comprenden fracturas costales y del esternón. Tradicionalmente se manejan de manera expectante, debido a la anatomía de la reja costal, que permite que la mayoría permanezcan estables y formen callos óseos que unan los segmentos fracturados. A pesar de este manejo, algunos pacientes cursan con dolor crónico o inestabilidad de la pared, por lo que requieren algún tipo de fijación. El presente artículo hace una revisión del tema respecto a una serie de 4 casos.
Casos clínicosEl primer caso es un hombre de 61 años con trauma cerrado de tórax, con gran deformidad de la pared torácica, asociada a enfisema subcutáneo y neumotórax. El segundo caso es un hombre de 51 años con trauma cerrado de tórax, con manejo inicial en otra institución; pero en quien a pesar de esto persiste el dolor, y la sensación de disnea. El tercer caso es un hombre de 30 años quien sufre accidente de tránsito, con dolor, y crepitación de la reja costal, y con imágenes diagnósticas que muestran fracturas costales múltiples. El último caso es un hombre de 62 años que presenta caída por escaleras, con trauma cerrado de tórax con dolor de alta intensidad, y disnea; en quien se evidencia movimiento paradójico del tórax izquierdo e hipoventilación basal ipsilateral.
ConclusionesLa fijación de fracturas costales, ofrece en pacientes seleccionados una buena alternativa para disminuir la morbilidad asociada, y permitir al paciente su pronto retorno a su vida laboral.
Fractures of the chest wall include sternum and rib fractures. Traditionally they are managed conservatively due to the anatomy of the rib cage that allows most of them to remain stable and to form a callus that unites the fractured segments. In spite of this management, some patients present with chronic pain or instability of the wall which makes them require some type of fixation. The present article performs a literature review based on 4 cases.
Clinical casesThe first case was a 61 year-old man with blunt chest trauma, with a great deformity of the chest wall associated with subcutaneous emphysema, and pneumothorax. The second case was a 51 year-old man with blunt chest trauma, initially managed at another institution, who despite treatment, had persistent pain and dyspnoea. The third case was a 30 year-old man that suffered a motor vehicle accident, with resulting pain and crepitation of the rib cage and with diagnostic images showing multiple rib fractures. The last case is a 62 year-old man that fell down the stairs, with blunt chest trauma with high intensity pain, dyspnoea and basal ipsilateral hypoventilation.
ConclusionRib fracture fixation offers a good alternative in selected patients to decrease associated morbidity, leading to a patient's fast return to his or her working life.
El primer reporte de reducción abierta de fracturas data del siglo 1 d.C. realizado por Soranus, de acuerdo a Hurt1, posteriormente, Paré describió un método para el manejo de las fracturas costales, en el cual había el intento de reducción cerrada, y posteriormente una reducción abierta si el primer intento fallaba2; tal procedimiento entró en desuso por ser poco efectivo. En la segunda guerra mundial, se optó por resecar fragmentos costales insertos dentro del pulmón3 y hoy en día, se practica cada vez más la reducción abierta y fijación externa de fracturas costales4 y esternales en casos seleccionados, incluso mediante abordajes mínimamente invasivos5.
Se ha descrito para el manejo de fracturas esternales inicialmente la tracción externa6,7, posteriormente se utilizó la fijación con alambre e hilo ruso interno en 19568. A continuación, se utilizó la presión positiva con ventilación mecánica, técnica que aún se sigue utilizando, por obtener mejor manejo y evitar la falla respiratoria común en fracturas complejas9.
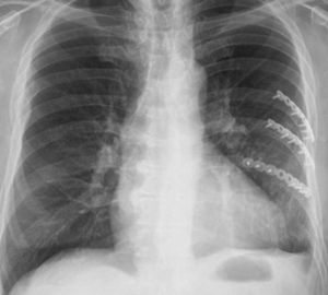
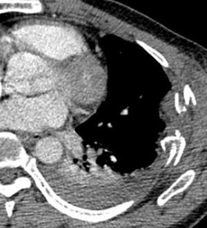
Casos clínicosCaso 1Paciente masculino de 61 años con antecedente de trauma cerrado de tórax al ser arrollado por un toro, trasladado al servicio de urgencias en donde entró en falla respiratoria por lo cual es intubado, requiriendo ventilación mecánica. En la valoración inicial se identificó gran deformidad de la pared torácica anterior izquierda con tórax inestable asociada a enfisema subcutáneo. En la radiografía de tórax se documentó neumotórax izquierdo, por lo que se realiza una toracostomía cerrada izquierda, y es trasladado a la unidad de cuidados intensivos; en este servicio se solicitó una tomografía axial computada de tórax que evidenció múltiples fracturas costales izquierdas desplazadas y neumotórax (fig. 1). Con estos hallazgos se pidió interconsulta a cirugía de tórax, quienes consideraron que el paciente era candidato para osteosíntesis de reja costal con placas de osteosíntesis de tercio de caña de 8 orificios con tornillos bicorticales, procedimiento que se realizó sin complicaciones con la utilización de sello de agua en el postoperatorio (fig. 2).
El paciente es extubado 6 días después, y dado de alta en el día 14 del postoperatorio, sin complicaciones. Regresó a su vida laboral después de 30 días del trauma. No hay seguimiento de la función pulmonar por pérdida del paciente.
Caso 2Paciente masculino de 51 años, quien recibió trauma cerrado en hemitórax izquierdo luego de ser envestido por un toro. Recibió manejo inicial en hospital rural, pero por persistir con dolor en hemitórax izquierdo y sensación de disnea consulta a la institución. Al examen físico no se evidenció respiración paradójica, ni enfisema subcutáneo, ni hipoventilación ni agregados pulmonares. Se le tomó tomografía computada de tórax que mostró fractura desplazada de 3 arcos costales izquierdos con hemotórax; por los hallazgos clínicos y tomográficos se le practicó osteosíntesis de reja costal con el sistema STRACOS® con la utilización de sello de agua postoperatorio sin complicaciones, se incorporó a su vida laboral 20 días posteriores al trauma. No hay seguimiento de la función pulmonar por pérdida del paciente (figs. 3 y 4).
Paciente masculino de 30 años quien sufrió accidente de tránsito en moto, en calidad de conductor. Presenta trauma cerrado de abdomen, trauma cráneoencefálico con pérdida de estado de conciencia y fracturas faciales. Al examen físico presentó: disminución de ruidos respiratorios en bases pulmonares, sin agregados, dolor y crepitación a la palpación de reja costal anterior y superior izquierda. Abdomen sin defensa muscular. Se realizó tomografía computada de tórax, donde se evidenció contusión pulmonar del lóbulo inferior izquierdo, con fracturas costales de la segunda a la séptima izquierda, con tercer y cuarto arco costal fracturado en 3 fragmentos. Recibió manejo con intubación orotraqueal para manejo de la vía aérea por las fracturas faciales y por evidencia de tórax inestable con respiración paradójica del segmento costal fracturado, por lo que se le practicó osteosíntesis de la reja costal con el sistema MATRIX RIB® con placas premoldeadas de 10 orificios, y tornillos bloqueados bicorticales, con la utilización de sello de agua en el postoperatorio, sin complicaciones. El paciente es extubado 15 días después, y debido al trauma craneoencefálico no puede retornar a las labores diarias. No hay seguimiento de la función pulmonar por pérdida del paciente (figura 5 para el caso 3 y figura 6 para el caso 4).
Paciente masculino de 62 años, quien posterior a la ingesta de alcohol, presentó caída por escalera en espiral del segundo al primer piso de su casa, recibiendo trauma cerrado en hemitórax izquierdo, con posterior dolor de alta intensidad, disnea y diaforesis por lo que consulta a nuestra institución. Al examen físico se comprobó movimiento paradójico del tórax izquierdo, entre cuarto a séptimo espacio intercostal, con enfisema subcutáneo en región posterior e hipoventilación basal ipsilateral; con el diagnóstico de tórax inestable es llevado a salas de cirugía para la realización de una osteosíntesis de los arcos costales comprometidos con el sistema MATRIX RIB® con placas premoldeadas de 10 orificios y tornillos bloqueados bicorticales, con la utilización de sello de agua en el postoperatorio, sin complicaciones en el postoperatorio. Este paciente es dado de alta 5 días después de su ingreso, retornando a su vida normal 20 días después del trauma. No hay seguimiento de la función pulmonar por pérdida del paciente.
DiscusiónIndicaciones de la osteosíntesisTórax inestableEl tórax inestable se define como la presencia de 4 o más costillas fracturadas unilaterales y contiguas en 2 o más sitios, generando movimiento paradójico durante la respiración.
El esternón inestable ocurre cuando el esternón se disocia durante el movimiento respiratorio debido a múltiples fracturas costales anteriores bilaterales10.
Los pacientes con tórax inestable y tratados con fijación interna (quirúrgico) se recuperan más rápidamente y por lo tanto, se integran más pronto a sus actividades de la vida diaria, ya que requieren menos días de ventilación mecánica, con menor estancia en la unidad de cuidados intensivos, con menor incidencia de neumonía, y mejoría de la función pulmonar en el 1.er mes posterior a la fijación quirúrgica, comparado con los pacientes a los que no se realizó fijación11,12.
El manejo expectante del tórax inestable ha sido empleado como el tratamiento estándar durante mucho tiempo, sin embargo, no ofrece los mejores resultados. En un estudio retrospectivo que analizó 62 pacientes con tórax inestable y a los que se les hizo seguimiento por 5 años13, encontraron que solo el 43% de estos retornaron al empleo que tenían antes del tórax inestable, a pesar de que la función pulmonar solo disminuyó en un muy bajo porcentaje.
Deformidad de la pared torácicaSe refiere a la deformidad ocasionada por un traumatismo de alto impacto o de alta energía, que genera compromiso óseo y de tejidos blandos, que requiere desbridamiento y/o extracción de fragmentos, y en el caso de tratarse adecuadamente resultaría en una hernia pulmonar14. Esta situación puede ser tratada con la resección de los segmentos óseos de una fractura conminuta y posterior cubrimiento del defecto con la rotación de un colgajo muscular o la aplicación de una malla sintética, así como también la osteosíntesis con placas de titanio que disminuyen la necesidad de cubrir defectos herniarios grandes15.
Dolor agudo e imposibilidad de reducciónLa mayoría de los pacientes con fracturas costales logran sellar el defecto sin la necesidad de reducciones, sin embargo, estudios prospectivos no aleatorizados han reportado que algunos pacientes que persisten con sintomatología incluso 30 días después del trauma costal, por lo que requieren mayor tiempo para su recuperación y más días de incapacidad laboral, que impacta su calidad de vida16, lo que contrasta con los resultados observados en pacientes que son sometidos a reducciones quirúrgicas de arcos costales.
No uniónEn un pequeño grupo de pacientes no consolidan las fracturas a pesar de la formación de callo óseo y por lo tanto, no logran la estabilización del tórax quedando con la secuela del defecto, que causa dolor crónico e incomodidad al movimiento respiratorio, que puede durar meses e incluso años después de la fractura. La lógica de la reparación del defecto no unido se fundamenta en la presunción de que, sin intervención quirúrgica, ese segmento nunca cicatrizará, y por lo tanto, persistirán los síntomas12.
Toracotomía para otras indicacionesLa toracotomía también tiene indicaciones diferentes a las del trauma costal con fracturas costales múltiples o con tórax inestable, por ejemplo en casos de: laceración pulmonar, hemotórax retenido o por laceración del diafragma, y en los casos de resección de tumor ya que también son candidatos a la reparación quirúrgica de fracturas costales17,18.
Aspectos técnicos de la reparación de fracturas costalesLa anatomía de las costillas es muy variable tanto entre las diferentes costillas, como en las porciones que las conforman, por tal motivo, las fracturas tienden a ser conminutas y no siguen un patrón lineal. Por otro lado, es diferente una fractura cercana al polo costal anterior que una fractura costal posterior.
Las costillas tienen diferente geometría en cada eje del espacio, teniendo así una curvatura general, una curvatura de enrollado, y una torsión longitudinal. La superficie de la costilla es retorcida y cónica al doblarse, lo que hace divergir las placas de fijación usadas para la fijación de huesos largos al aumentar su curvatura general19. Por tal motivo, para la fijación costal se deben usar placas especialmente diseñadas para cada costilla, y de un material que permita cierta elasticidad, para así evitar la rotura o desplazamiento de la placa20. Además, el hecho de que el paquete vasculo-nervioso se encuentre en su borde inferior, hace al paciente propenso a presentar síndrome postoracotomía si el nervio costal se irrita o se lesiona al fijar una fractura21.
Se han descrito para la fijación costal diferentes dispositivos y técnicas como son: suturas de alambre, alambres intramedulares, grapas, y las placas hechas de varios metales o materiales absorbibles e incluso, se han descrito técnicas mínimamente invasivas para el manejo de fracturas costales10.
Placas anteriores y cerclaje con alambreSe trata de placas de acero, lisas, maleables, que se fijan hacia el polo anterior de la fractura costal sobre la cortical anterior del arco lesionado. Estas se fijan por medio de un cerclaje con alambres rodeando la costilla, razón por la cual pueden presentar lesión por compresión del paquete vasculo-nervioso que incluso puede asociarse con el desplazamiento de la placa22.
Placas anteriores de fijación con tornillosCrean una fijación de la fractura con compresión dinámica generada por los tornillos, que permiten la estabilidad tanto en reposo como en movimiento y evitan la rotación y movilización de la placa. Están diseñadas especialmente para la geometría de cada grupo de arcos costales, y requieren perforación de las corticales para la aplicación de los tornillos de fijación. Con este sistema se evita la posibilidad de compresión del nervio intercostal23.
Fijación intramedularEstas se realizan mediante la introducción de un alambre o placa de acero o titanio dentro de la médula de la costilla, siendo fijada la cortical distal de la misma. Usualmente se indica en fracturas costales posteriores debido a su difícil acceso. La principal complicación de este método es el desalojo del dispositivo de osteosíntesis, incluso atravesando la totalidad del espesor de la costilla y generando lesión de estructuras vecinas como el parénquima pulmonar o la piel24. Otra complicación asociada es la rotación de la costilla sobre su eje longitudinal25.
Grapas maleablesSon dispositivos en forma de grapa, que se colocan sobre la superficie anterior de la costilla. Además, tienen láminas maleables que abrazan el cuerpo de costilla a cada lado de la fractura, dando así estabilidad a la estructura. Tienen la ventaja de no requerir tornillos ni perforaciones en el hueso; lo cual hace fácil su eventual retiro, pero presentan alta posibilidad de comprimir el nervio intercostal26.
Placas en UEs un dispositivo que combina los diferentes sistemas de fijación costal, que dispone de láminas maleables que sujetan a la costilla en el borde superior, con lo que se evita la compresión del nervio intercostal. Se fijan en la cara anterior mediante tornillos con las placas de fijación27.
Placas absorbiblesSon elementos hechos de materiales absorbibles tales como: polilactide y polidioxanona, que son usados frecuentemente en fracturas maxilofaciales o de huesos largos, que tienen la característica de ser menos rígidos que las placas de fijación de titanio y no requieren retiro28. Está descrito el riesgo de la no cicatrización por estrés, asociado a un dispositivo excesivamente rígido. En la actualidad no encontramos estudios experimentales que demuestren que la cicatrización sea más rápida con fijación con material absorbible29.
Preparación preoperatoria y abordajesUna vez diagnosticadas las fracturas costales o de tórax inestable, se debe realizar una tomografía de la reja costal con reconstrucción en 3D, lo cual nos permite determinar el sitio exacto de los defectos a tratar de manera precisa y con ello se obtiene un mejor abordaje. En general la incisión de toracotomía convencional ofrece adecuada exposición de la reja costal, y también es posible el uso de videotoracoscopia para retirar los fragmentos óseos y/o para localizar con exactitud el segmento de fractura, para así practicar una incisión de menor tamaño obteniendo una incisión utilitaria que lesione menor cantidad de músculos30.
ComplicacionesLas principales complicaciones que se asocian a la reparación de las fracturas costales, son: 1. las relacionadas con la herida quirúrgica ya sean infección (1.2%), seroma (0.6%), empiema pleural (0.3%), hematoma de la herida quirúrgica, y derrame pleural persistente; 2. las relacionadas a la fijación costal que pueden ser la migración de la placa (1.2%), perforación costal del dispositivo intramedular de fijación con o sin lesión de estructuras vecinas, dolor persistente que requiere remoción del material protésico (1.4%), y osteomielitis de la costilla11.
ConclusionesLa fijación de fracturas costales, a pesar de ser poco usada, ofrece en pacientes seleccionados una buena alternativa para disminuir la morbilidad asociada, permitiendo al paciente desde un retiro temprano, de la ventilación pulmonar en casos severos, hasta el pronto retorno a su vida laboral gracias a la cicatrización costal efectiva, que no hubiera sido posible en la mayoría de las situaciones mediante el manejo tradicional expectante. Por tal motivo, familiarizarse con las técnicas y los dispositivos usados para la reducción abierta y fijación costal, amplía el armamentario terapéutico del cirujano, y puede ofrecer mejores alternativas para los pacientes que lo necesitan.
Conflicto de interesesLos autores declaran no tener ningún conflicto de intereses.







