El dengue es la enfermedad viral transmitida por mosquitos más importante a nivel mundial. La infección puede cursar asintomática o presentarse en una de sus 3formas clínicas: fiebre por dengue, fiebre hemorrágica por dengue o síndrome de choque por dengue. Por otro lado, algunas manifestaciones atípicas han sido reportadas como urgencias quirúrgicas causadas por apendicitis aguda en pacientes con dengue.
Caso clínicoPaciente masculino de 18 años de edad, que acudió al Servicio de Urgencias del Hospital General de Culiacán con sintomatología de fiebre por dengue, acompañada de dolor abdominal tipo cólico, con signos de Rovsing y de Dunphy positivos. Se confirmó el dengue mediante antígeno NS1 positivo, específico del virus del dengue. Ante sospecha de apendicitis aguda se realizó un ultrasonido de abdomen, el cual coincidió con proceso apendicular que, ante la persistencia y aumento del dolor abdominal en flanco derecho, se aconsejó apendicectomía. Durante el transoperatorio se observó líquido inflamatorio y apéndice cecal edematoso con placas fibrinopurulentas. El Departamento de Patología reportó apendicitis aguda ulcerada. Finalmente, el paciente fue egresado recuperado y se mantuvo sin complicaciones durante el periodo de seguimiento.
ConclusionesEl dolor abdominal agudo es una manifestación que suele presentarse en casos graves de infecciones por dengue, siendo este un posible motivo de confusión, que puede conducir a intervenciones quirúrgicas innecesarias añadiendo morbilidades y costos al paciente. El presente caso hace énfasis en la necesidad de realizar una evaluación clínica cuidadosa, principalmente en regiones endémicas durante los brotes de dengue.
Dengue is the most important human viral disease transmitted by mosquitoes. It can be asymptomatic or it can present in any of its 3clinical forms: Dengue fever, dengue haemorrhagic fever and dengue shock syndrome. However, some atypical manifestations have been reported in surgical emergencies caused by acute appendicitis in patients with dengue fever.
Clinical caseWe report the case of an 18-year-old Mexican male who presented to the emergency department of the General Hospital of Culiacan, Sinaloa, with symptoms of dengue fever, accompanied by crampy abdominal pain with positive Rovsing and Dunphy signs. Dengue infection was confirmed by a positive NS1 antigen test performed by enzyme-linked immunosorbent assay. An abdominal ultrasound revealed an appendicular process; as the abdominal pain in the right side kept increasing, an open appendectomy was performed. Abundant inflammatory liquid was observed during the surgery, and the pathology laboratory reported an oedematous appendix with fibrinopurulent plaques, which agreed with acute ulcerative appendicitis. The patient was discharged fully recovered without complications during the follow-up period.
ConclusionsAcute abdominal pain can be caused in some cases by dengue infection. This can be confusing, which can lead to unnecessary surgical interventions, creating additional morbidities and costs for the patient. This unusual and coincident acute appendicitis with dengue highlights the importance of performing careful clinical studies for appropriate decision making, especially in dengue endemic regions during an outbreak of this disease.
El dengue es un problema de salud pública y se considera la infección viral transmitida por vector más importante en el mundo1. Se estiman 50 millones de infecciones anuales y actualmente 2.5 billones de personas viven en países endémicos1,2. Esta infección es producida por uno de los 4serotipos del virus dengue (DENV 1–4) que pertenecen a la familia Flaviviridae del género Flavivirus, transmitidos por la picadura de mosquitos del género Aedes1. En México, las tasas de incidencia de dengue se han mantenido constantes durante los últimos 20años3. Sin embargo, los casos de dengue grave han aumentado de manera importante durante la última década3. El estado de Sinaloa se localiza al noroeste de México y se considera una región endémica para dengue4–6. Esta infección puede ser asintomática o cursar en una de sus 3formas clínicas: fiebre por dengue con manifestaciones leves de la enfermedad como fiebre, erupciones cutáneas, cefalea, artralgias y mialgias. La fiebre hemorrágica por dengue es la forma grave y ocasionalmente fatal de la enfermedad, al manifestarse fuga plasmática y hemorragias que pueden condicionar un síndrome de choque por dengue1,2. El dengue suele acompañarse de manifestaciones clínicas que son consideradas atípicas tales como miocarditis, encefalitis, insuficiencia hepática o hemorragia gastrointestinal7,8. Por otra parte, existen reportes de casos de urgencias quirúrgicas en pacientes con dengue asociado a colecistitis alitiásica9, pancreatitis aguda10 y apendicitis aguda (AA)11–17. En este sentido, el dengue clínicamente puede simular una AA13,14 (tabla 1), por lo que el diagnóstico de AA y la decisión de realizar una intervención quirúrgica en pacientes con dengue depende principalmente de la evaluación clínica del paciente con dolor abdominal agudo y dengue14.
| Apendicitis aguda | Dengue+abdomen agudo | |
|---|---|---|
| Manifestación clínica | ||
| Fiebre | ✓ | ✓ |
| Anorexia | ✓ | ✓ |
| Vómito | ✓ | ✓ |
| Dolor abdominal localizado en el cuadrante inferior derecho | ✓ | ✓ |
| Migración del dolor | ✓ | ✓ |
| Hallazgos de laboratorio | ||
| Leucocitosis | >10×109/μL (VN: 4.5-13×103/μL) | <1.5×109/μL (VN: 4.5-13×103/μL) |
| Plaquetas | Sin cambios | <100×103/mm3 (VN: 150-450×103/mm3) |
| Hematocrito | Sin cambios | Puede o no haber hemoconcentración (>30%; VN: 36-42%) |
| Proteína C reactiva | >10mg/dL (VN: 0-8mg/dL) | <12mg/dL (VN: 0-8mg/dL) |
| Hallazgos de imagenología | ||
| USG de abdomen | Datos de inflamación apendiculares, diámetro del apéndice de 6 a 7mm, presencia o no de un apendicolito | Puede o no haber datos de inflamación |
| Hallazgos histopatológicos | Inflamación limitada a la mucosa, infiltrado con predominio de neutrófilos hasta la capa muscular propia o ulceración. Puede o no haber presencia de apendicolito | Puede o no haber cambios histológicos. Cuando los hay, son frecuentes los reportes de infiltración con predominio linfocitario |
USG: ultrasonido; VN: valores normales; ✓: presente.
En el presente reporte describimos un paciente masculino que presentó fiebre por dengue y desarrolló abdomen agudo, requiriendo intervención quirúrgica por presentar AA. Así mismo, hacemos énfasis en la importancia de realizar una evaluación cuidadosa ante los casos de abdomen agudo durante los brotes de dengue para alertar al clínico de brindar un diagnóstico y un tratamiento oportuno ante esta urgencia quirúrgica.
Caso clínicoPaciente masculino de 18 años de edad, originario de un poblado ubicado en la zona costera del municipio de Guasave, en el estado de Sinaloa. En octubre del 2014 acudió al Servicio de Urgencias del Hospital General de Culiacán Bernardo J. Gastelum con fiebre de 5días de evolución, dolor retroocular, artralgias, mialgias y dolor abdominal pero sin antecedentes patológicos ni comorbilidades. Durante las primeras horas de hospitalización, la fiebre (38.5°C) persistió y los demás signos vitales mostraron los siguientes valores: frecuencia cardiaca de 106 por minuto, frecuencia respiratoria 21 por minuto y tensión arterial sistólica de 110mm/Hg y diastólica 70mm/Hg. Además, presentó náuseas y vómito de contenido gástrico en una ocasión. El dolor abdominal fue de tipo cólico, intermitente, migratorio y pulsátil. Entre los exámenes de laboratorio con significación clínica destacan trombocitopenia (plaquetas 146×10^3/mm^3, valores normales (VN): 150-450×10^3/mm^3)hemoconcentración (44.9%, VN: 36-42%), positivo a la proteína no estructural 1 (NS1) en suero por medio de una prueba rápida y específica para virus del dengue, mientras que IgG e IgM fueron negativas.. Estos últimos análisis fueron posteriormente confirmados por el Laboratorio Estatal de Salud Pública del estado de Sinaloa. Se inició manejo con soluciones intravenosas, inhibidor de la bomba de protones y control térmico con medios físicos, sin analgésico ni antibióticos, y se realizaron estudios de laboratorio (biometría hemática) e imagenología (radiografía de tórax, de abdomen de pie y en decúbito y ultrasonido abdominal para descartar signos de alarma para dengue)18. Durante su segundo día de hospitalización el dolor abdominal persistió y aumentó en intensidad, localizándose en fosa ilíaca derecha y fue positivo para los signos de Rovsing y Dunphy. Los laboratorios mostraron persistencia de trombocitopenia (plaquetas 127×103/mm3 VN: 150-450×103/mm3) y además leucopenia (leucocitos 3.96×103/μL, VN: 4.5-13×103/μL). Por otra parte, el ultrasonido de abdomen mostró una imagen compatible con un proceso inflamatorio apendicular agudo y presencia de apendicolito en su interior (fig. 1), lo cual orientó al diagnóstico de AA en coexistencia con fiebre por dengue, decidiéndose así la intervención quirúrgica, previa información a los familiares, quienes aceptaron el manejo quirúrgico bajo consentimiento.
Durante el tercer día de estancia hospitalaria, se realizó apendicectomía abierta mediante incisión de tipo Rockey-Davis, manejo del muñón apendicular con técnica de tipo Pouchet sin presentarse incidentes, ni accidentes; como hallazgo transoperatorio se encontró moderado líquido inflamatorio y apéndice cecal edematoso de 6.5×1cm, con placas fibrinopurulentas, que se envió al Servicio de Anatomía Patológica del hospital.
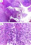
Finalmente el paciente egresó al cuarto día de hospitalización sin dolor abdominal ni fiebre. Posteriormente al periodo de seguimiento de 4semanas, el paciente acudió a consulta de cirugía sin signos clínicos, mostrando el informe definitivo de Anatomía Patológica, que reportó una apéndice ulcerada, con presencia de infiltrado de neutrófilos en las paredes de mucosa y submucosa, fibrinopurulenta con datos de peritonitis (fig. 2).
Histopatología. A) Se aprecia luz del apéndice con epitelio ulcerado e inflamación aguda y datos de hemorragia en mucosa y submucosa (hematoxilina y eosina, 4x). B) La imagen muestra una zona de necrosis con fibrina, abundantes neutrófilos, eosinófilos y hemorragia (hematoxilina y eosina, 10x).
El dengue representa una de las principales causas de morbimortalidad en regiones tropicales y subtropicales del mundo1,2. En México, la distribución del dengue en las últimas 2décadas se ha mantenido constante. Sin embargo, se ha observado una mayor incidencia en las regiones del Pacífico y del Golfo de México, lo cual contrasta con la región central, donde la tasa es muy baja o nula3. En el estado de Sinaloa durante el año 2014 se reportó una tasa de incidencia de 60.31 casos por 100,000 habitantes para fiebre por dengue con una tasa de letalidad de 0.33 por 100 casos6. Ante este panorama epidemiológico, no es de extrañar encontrarse casos con manifestaciones clínicas inusuales que no corresponden a las características habituales de una infección por virus del dengue. El dolor abdominal agudo es una manifestación que suele presentarse en casos graves de infecciones por dengue15. Es este un posible motivo de confusión que puede conducir a la realización de intervenciones quirúrgicas innecesarias que añaden morbilidades y costos al paciente16. Esto se puede constatar por lo observado en algunos brotes de dengue, en los cuales el dolor abdominal alcanza hasta el 12%15 y en series que han reportado casos de AA resueltos quirúrgicamente cuyo diagnóstico histopatológico de AA fue poco claro12,15.
Mcfarlane et al.13 reportaron un paciente con fiebre por dengue y AA resuelta quirúrgicamente cuyo resultado histopatológico no mostró anormalidades. Sin embargo, durante la cirugía se encontraron ganglios linfáticos mesentéricos agrandados. Por otro lado, Shamin et al.15, en una serie de 357 pacientes con dengue, 43 presentaron dolor abdominal agudo, de los cuales 7 presentaron AA y a 5 de ellos se les practicó apendicectomía, en cuyo estudio histopatológico se encontró infiltrado linfocitario sin identificar al agente causal lo cual coincide con Knor et al.11. Existen hipótesis sobre el origen de la patogénesis de la AA que consideran la posibilidad de que una infección viral pueda generar ulceración de la mucosa, dando paso a una infección bacteriana19. Sin embargo, hasta el momento no se han logrado explicar los casos de AA y dengue, por lo que es muy probable que múltiples factores etiológicos estén involucrados.
En nuestro caso, el diagnóstico definitivo de AA se realizó mediante estudio histopatológico, basado en criterios diagnósticos de AA19. Esto contrasta con otros casos de dolor abdominal y dengue que culminaron en apendicectomía con infiltración linfocitaria, como resultado histopatológico11,12. En otros casos de AA y dengue, se han encontrado otras enfermedades subyacentes que conducen a la presentación clínica inusual de dolor abdominal agudo que imitó el cuadro clínico de AA7–10. La causa de la aparición de dolor abdominal grave asociado con signos de abdomen agudo o apendicitis en pacientes con fiebre por dengue aún no es clara13. En casos graves de dengue asociados a dolor abdominal, las recomendaciones hechas por la Organización Mundial de la Salud son, por lo menos, realizar diariamente biometría hemática con hemoglobina y hematocrito y recuento de plaquetas, así como también estudios de imagen (ultrasonido, radiografía de tórax y abdomen) para el diagnóstico de derrames serosos (derrame pleural, ascitis) con la intención de identificar datos de alarma que indiquen el estado de gravedad del paciente con dengue18. Por lo que la radiografía y el ultrasonido de abdomen forman parte integral del diagnóstico clínico del dengue. En nuestro caso, la presencia del apendicolito en coexistencia con el proceso inflamatorio sistémico generado por la infección viral pudo ser la causa de la AA.
ConclusionesLa fiebre por dengue suele presentarse acompañada de un cuadro de abdomen agudo y, en ocasiones, puede simular el cuadro clínico de una AA. Es por ello la necesidad de realizar una adecuada evaluación clínica, principalmente durante la temporada de dengue en regiones endémicas, cuando las tasas de ingreso hospitalario son altas. Nuestro paciente fue intervenido oportunamente, evitando la demora del diagnóstico de AA que pudo haber generado complicaciones graves.
Responsabilidades éticasProtección de personas y animalesLos autores declaran que para esta investigación no se han realizado experimentos en seres humanos ni en animales.
Confidencialidad de los datosLos autores declaran que han seguido los protocolos de su centro de trabajo sobre la publicación de datos de pacientes.
Derecho a la privacidad y consentimiento informadoLos autores declaran que en este artículo no aparecen datos de pacientes.
Conflicto de interesesLos autores declaran no tener conflicto de intereses.
Agradecemos al Dr. Juan Carlos Navarro Guerrero, del Departamento de Epidemiología del Hospital General de Culiacán, por su apoyo con los datos epidemiológicos del paciente y la información sobre el panorama de dengue en el estado de Sinaloa durante el 2014.




