La coartación aórtica puede aparecer aislada o asociada a otras lesiones. La asociación más frecuente es la válvula aórtica bicúspide, que no suele ser problemática a corto-medio plazo, pero se asocia tardíamente a complicaciones en la aorta ascendente en la edad adulta. Existe una relación clara entre la dilatación aórtica y el síndrome de Marfan, la válvula aórtica bicúspide y la coartación de aorta, pero es rara la presentación de coartación aórtica asociada a disección de aorta. Se presenta un caso clínico de una mujer de 28 años que debutó con síndrome aórtico agudo tipo A, siendo diagnosticada de aneurisma de raíz aórtica asociado a válvula aórtica bicúspide y coartación aórtica. Se realizó un tratamiento híbrido en dos tiempos: primero, la cirugía emergente de la disección aguda de aorta y, en segundo lugar, el implante de stent de la coartación aórtica. La evolución fue satisfactoria.
Aortic coarctation may appear in isolation or associated with other injuries. The most frequent association is the bicuspid aortic valve, which is not usually problematic in the short-medium term, but is associated late with complications in the ascending aorta in adulthood. There is a clear relationship between aortic dilatation and Marfan's syndrome, bicuspid aortic valve, and aortic coarctation, but the presentation of aortic coarctation associated with aortic dissection is rare. We present a case report of a 28-year-old woman who presented with type A acute aortic syndrome and diagnosis of aortic root aneurysm associated with bicuspid aortic valve and aortic coarctation. A two-stage hybrid treatment was performed: first, emergent surgery for acute aortic dissection and, second, stent implantation for aortic coarctation. The outcome was satisfactory.
La coartación aórtica y patología asociada de estrechamiento aórtico tiene una incidencia del 5-8%1–3. Puede aparecer aislada o asociada a otras lesiones, pudiendo existir cierto grado de hipoplasia de cavidades izquierdas. La asociación más frecuente es la válvula aórtica bicúspide, presente en el 30-80% de los casos, no siendo problemática a corto-medio plazo, pero asociándose tardíamente a complicaciones en la aorta ascendente en la edad adulta1. Existe una relación clara entre la dilatación aórtica y el síndrome de Marfan, la válvula aórtica bicúspide y la coartación de aorta, pero es rara la presentación de coartación aórtica asociada a disección de aorta2–4. En estos casos no existen guías de manejo bien establecidas, pudiendo establecerse una estrategia en dos tiempos con diferentes abordajes.
Caso clínicoSe presenta un caso clínico de una mujer de 28 años, sin antecedentes de interés, que fue encontrada en la vía pública inconsciente pero inicialmente estable hemodinámicamente, con primera sospecha de estado postictal. Ante la persistencia del estado neurológico, se procedió a la sedación para intubación orotraqueal y conexión a ventilación mecánica. En la ecocardiografía evaluadora en Urgencias se evidenció importante dilatación de la raíz aórtica, con válvula aórtica bicúspide insuficiente, junto a derrame pericárdico con signos incipientes de taponamiento, por lo que se realizó tomografía computarizada (TC) de aorta que confirmó el hallazgo de disección aguda de aorta tipo II de Bakey, con dilatación aislada de la raíz aórtica con un diámetro máximo de 65mm (fig. 1 A). No existía afectación de la aorta ascendente distal, del arco aórtico ni de los troncos supraaórticos. Se apreciaba una notable reducción del calibre de la aorta descendente, de sus ramas viscerales así como de ambas arterias ilíacas, sugerente de coartación aórtica pero que en ese contexto se podía atribuir a signos de shock. Se completó el estudio con TC cerebral que descartó captaciones anómalas de contraste o hemorragia, sin hallazgos significativos, y se realizó una reevaluación neurológica favorable, por lo que fue trasladada a un centro de referencia para cirugía emergente. Taponamiento cardiaco que requirió pericardiocentesis, que fue hemática. Presentó dos episodios de parada cardiaca, que respondió finalmente tras 20 min, previamente a la intervención, presentando nuevamente dudas sobre la viabilidad neurológica.
A) Corte coronal de la TC de aorta que confirmó el hallazgo de disección aguda de aorta tipo II de Bakey limitada a la raíz aórtica y aorta ascendente proximal, dilatada con un diámetro máximo de 65mm. B) Fotografía del campo quirúrgico objetivándose dilatación aislada de la raíz aórtica y aorta ascendente proximal. C) Fotografía del campo quirúrgico con sustitución de la raíz aórtica y aorta ascendente por un conducto aortovalvulado con prótesis mecánica y reimplante de ambos ostia coronarios sobre el conducto.
La paciente fue intervenida de sustitución de la raíz aórtica y aorta ascendente por un conducto aortovalvulado con prótesis mecánica y reimplante de ambos ostia coronarios sobre el conducto (fig. 1 B-C). El abordaje fue por esternotomía media. Se estableció circulación extracorpórea con canulación arterial en arteria axilar derecha subclavicular y canulación venosa en aurícula derecha. No requirió parada circulatoria ante la afectación limitada a aorta ascendente, estando la rotura intimal de la pared aórtica semicircunferencial a nivel de la unión sinotubular, extendiéndose hasta el ostium coronario izquierdo sin afectarlo, realizándose la intervención con pinzamiento aórtico y bajo hipotermia moderada. La evolución postoperatoria fue favorable desde el punto de vista hemodinámico, pero estuvo marcada por la situación respiratoria y neurológica. Requirió intubación prolongada y realización de traqueostomía ante hipoxemia y hallazgo de consolidación pulmonar en relación con posible broncoaspiración. Neurológicamente, lenta conexión con el medio sin respuesta a órdenes ni movilización de extremidades, con hallazgo en TC cerebral postoperatorio de múltiples infartos isquémicos agudos. No obstante, la situación fue mejorando progresivamente los días posteriores con recuperación neurológica completa y decanulación de traqueostomía, pudiendo ser alta hospitalaria al mes de la intervención.
En la ecocardiografía postoperatoria se apreciaba la prótesis aórtica mecánica normofuncionante, con derrame pericárdico moderado que requirió seguimiento, pero sin complicaciones asociadas. En la TC de aorta postoperatoria se confirmó la coartación de aorta posductal severa de 5x3mm con abundante circulación colateral en pared torácica y abdominal secundaria que se dirigía a la aorta postestenosis (fig. 2 A-B). El arco aórtico distal y la aorta descendente poscoartación medían 16-17mm y 20mm, respectivamente, disminuyendo el calibre distalmente que era de 14mm a nivel del diafragma. La paciente presentaba un gradiente de presión arterial mayor a 50mmHg, por lo que se planificó intervención de la coartación en un segundo tiempo.
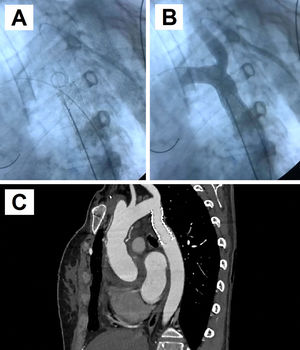
Tres meses después de la primera intervención, se realizó implante de stent cubierto aórtico de 16x58mm en zona 3-4 aórtica, con objetivo de expansión a 17mm, con apertura o «flaring» de 20mm de longitud de extremo distal a 22mm de diámetro. El abordaje fue endovascular percutáneo por arteria femoral izquierda, con colocación de catéter pigtail para control radioscópico con contraste por arteria humeral izquierda (fig. 3 A-B). El gradiente de presión arterial disminuyó a 10mmHg. La evolución postoperatoria transcurrió sin complicaciones, permitiendo el alta hospitalaria a las 48 h del implante. En la TC de control se apreciaba el stent implantado en la zona de coartación sin complicaciones, con un diámetro mínimo interno de unos 12-13mm en la zona más estrecha (fig. 3C).
A) Imagen radioscópica en la que se observa el stent cubierto aórtico de 16x58cm implantado en zona 3-4 aórtica, que se ha insertado por vía femoral, con objetivo de expansión a 17mm, con apertura o «flaring» de 20mm de longitud de extremo distal a 22mm de diámetro. También, se observa el catéter pigtail para inyección de contraste a través de la subclavia izquierda, que se ha insertado por vía humeral izquierda. B) Imagen radioscópica de resultado final con inyección de contraste a través del catéter pigtail, confirmando la correcta expansión de la zona coartada. C) Reconstrucción de la TC de aorta postimplante de stent aórtico. Se aprecia el stent implantado en la zona de coartación sin complicaciones.
La dilatación de la aorta ascendente tiene una mayor incidencia en las cardiopatías congénitas. Existe una relación clara entre la dilatación aórtica y síndromes como el Marfan, la válvula aórtica bicúspide y la coartación de aorta2,4. También, hay otras cardiopatías congénitas asociadas a la dilatación de aorta como el ventrículo único, la atresia o estenosis pulmonar, el truncus arteriosus, la transposición de grandes arterias y el corazón izquierdo hipoplásico. Se produce una degeneración medial de la aorta por alteración de las fibras elásticas, aumento de la matriz extracelular y desorganización del músculo liso, provocando una debilidad de la pared y la dilatación aórtica, más frecuentemente a nivel de la raíz4. La válvula aórtica bicúspide es el defecto cardiaco congénito más frecuente, con una prevalencia al nacimiento del 1-2% y siendo más frecuente en hombres5. El objetivo primario del tratamiento médico es reducir los cambios en la pared aórtica y la progresión de la dilatación aórtica. De primera línea se han usado los betabloqueantes en el síndrome de Marfan. De segunda línea y más recientemente, se ha apreciado efecto protector también de los antagonistas del receptor de la angiotensina II en modelo animal, siendo desconocido de los inhibidores de la enzima convertidora de angiotensina. Para evitar la disección aguda de aorta o la rotura, debe realizarse cirugía profiláctica de la aorta ascendente de acuerdo a las recomendaciones4,5.
La disección aguda de aorta se define como la rotura de la capa media aórtica que resulta en la separación de las capas, dando lugar a dos luces. Cuando existe afectación de la aorta ascendente (tipos I y II de Bakey según afectación de aorta descendente asociada o afectación aislada de aorta ascendente respectivamente, que engloban el tipo A de Stanford) es una urgencia quirúrgica, pues existe un 50% de mortalidad a las 48 h sin la intervención. Sigue habiendo controversia en la indicación de cirugía en caso de déficit neurológico o coma, como en el caso presentado, pero se prevé su recuperación cuando se alcanza una rápida reperfusión cerebral, sobre todo si el tiempo entre la aparición de los síntomas y la llegada a quirófano es menor a 5 h5.
Respecto a la coartación aórtica, que supone el 5-8% de las cardiopatías congénitas junto a otras anomalías que originan un estrechamiento de la luz aórtica, tiene un espectro variable de presentación, pudiendo incluir shock y bajo gasto sistémico en el período neonatal tras el cierre ductal. Puede aparecer aislada o asociado a otras lesiones, siendo lo más frecuente la válvula aórtica bicúspide (30-80%). En la edad pediátrica, se opta por su reparación por toracotomía o esternotomía media, ya que la aortoplastia percutánea se asocia a elevadas tasas de recoartación1,3. En cambio, en adultos la primera opción es el implante endovascular de un stent si la anatomía es apropiada3,5,6. Está recomendada su reparación en caso de existir un gradiente de presión mayor a 20mmHg entre las extremidades superiores e inferiores, con hipertensión de extremidades superiores, una respuesta de presión arterial anómala o una importante hipertrofia ventricular. Debe considerarse la intervención cuando el estrechamiento aórtico es mayor al 50% respecto al diámetro aórtico en diafragma asociado a hipertensión arterial, pudiendo considerarse en este caso en ausencia de hipertensión arterial5.
A pesar de la frecuente asociación de la coartación aórtica con aneurismas, es rara la asociación a disección de aorta (menor al 1%), mayormente descrita en aorta descendente7. En el caso descrito, ya se podía apreciar el hallazgo de la coartación aórtica asociada al síndrome aórtico agudo, a pesar de que la reducción de calibre aórtico en aorta torácica descendente también podría deberse al shock que presentaba la paciente. A pesar de que no hay pautas de manejo establecidas, se priorizó el tratamiento del síndrome aórtico agudo tipo A con riesgo vital inminente sobre el tratamiento de la coartación aórtica, por lo que se realizó el abordaje descrito en dos tiempos con dos objetivos: el primero, tratar inicialmente la patología con mal pronóstico inmediato, y el segundo, de reducir la morbilidad asociada a los procedimientos en un mismo tiempo. En conclusión, el tratamiento endovascular de la coartación de aorta es de elección, seguro y efectivo, incluso en casos complejos como el presentado en un segundo tiempo. Se debe ofrecer un manejo íntegro de la patología aórtica, en centros especializados con un equipo multidisciplinar, con resolución en todos los escenarios y de posibles complicaciones, como el caso presentado que fue abordado íntegramente por el Servicio de Cirugía Cardiovascular, optando por abordajes híbridos en casos necesarios8.
Consideraciones éticasAprobado por el Comité de Ética de la Investigación con Medicamentos del Hospital Universitario y Politécnico La Fe.
Conflicto de interesesLos autores declaran no tener ningún conflicto de intereses.






