Paciente de 46 años con intento de autolisis con arma blanca en zona precordial y en ambos miembros inferiores.
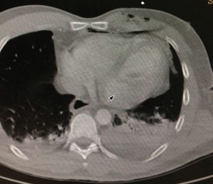
La tomografía inicial de tórax demostró hemotórax izquierdo importante (fig. 1)1. Se realizó ecocardiografía en la que no se encontraron signos de derrame pericárdico inicialmente, ni signos clínicos de inestabilidad.
Dada la cuantía del hemotórax, la estabilidad del paciente, los parámetros ecocardiográficos y la localización anatómica de las lesiones, se optó por realizar una toracotomía izquierda que no encontró origen de hemorragia, dejando drenaje pleural tras hemostasia de distintas zonas.
Tras 14h de estabilidad, presentó necesidad creciente de inotrópicos, inestabilidad hemodinámica, y en la ecocardiografía practicada se diagnosticó de derrame pericárdico severo con signos de taponamiento, por lo que se decide su reintervención por esternotomía media.
Se demostró un coágulo de gran tamaño (fig. 2)2 que comprimió localmente la hemorragia aunque derivó insidiosamente al taponamiento tardío. Tres lesiones inciso-punzantes en ventrículo derecho, una de ellas sobre el territorio de la descendente anterior con afectación distal de la misma y sangrado insidioso pulsátil activo que derivó al carácter tardío de la clínica.
Se desestimó la revascularización por su localización distal y se realizó sutura directa apoyada en pericardio y parche adherido con cianoacrilato con oclusión de la misma (figs. 3 y 4).
Responsabilidades éticasProtección de personas y animalesLos autores declaran que para esta investigación no se han realizado experimentos en seres humanos ni en animales.
Confidencialidad de los datosLos autores declaran que en este artículo no aparecen datos de pacientes.
Derecho a la privacidad y consentimiento informadoLos autores declaran que en este artículo no aparecen datos de pacientes.







