Actualmente el cierre de la orejuela auricular izquierda es un procedimiento que se utiliza como alternativa a la anticoagulación oral (ACO) en pacientes con fibrilación auricular (FA) no valvular que necesitan anticoagulación a largo plazo, con contraindicación para los ACO por alto riesgo hemorrágico y/o no cumplimiento del tratamiento.
Este procedimiento se realiza en salas de intervencionismo correctamente equipadas para manejar complicaciones potencialmente mortales, siendo necesario el dominio de la ecocardiografía transesofágica.
Presentamos un caso de migración de dispositivo Amplatzer AmuletTM 2h postimplantación, impactando en la válvula mitral y causando disfunción mitral junto con edema de pulmón y shock cardiogénico que requirió cirugía emergente. El paciente ingresó 48h en UCI, siendo dado de alta al domicilio, sin secuelas, a los 30 días.
Se destaca la necesidad del manejo ecocardiográfico por parte del anestesiólogo, así como la infraestimación del riesgo anestésico de procedimientos complejos en pacientes de alto riesgo fuera de quirófano.
Currently, left atrial appendage closure is a procedure used as an alternative to oral anticoagulation (OAC) in patients with non-valvular atrial fibrillation (AF) who require long-term anticoagulation, with OAC contraindication due to high bleeding risk and/or non-compliance with treatment.
This procedure is performed in Interventional Cardiology Units properly equipped for the management of potentially fatal complications and requires knowledge of transesophageal echocardiography.
We present a case of migration of the Amplatzer Amulet® device two hours after implantation. This device impacted the mitral valve, causing mitral dysfunction along with pulmonary edema and cardiogenic shock requiring emergency surgery. The patient remained in the ICU for 48hours and was discharged without consequences 30 days later.
This article aims to highlight the need for knowledge in echocardiography by the anesthesiologist. In addition, the underestimation of the anesthetic risk of complex procedures in high-risk patients outside the operating room.
Hombre de 71 años, sin alergias conocidas, con antecedentes de HTA, dislipemia, insuficiencia renal crónica (IIIa), accidente isquémico transitorio (AIT) en territorio carotideo de origen atero-embólico, cardiopatía isquémica (IAMSEST) con fracción de eyección del ventrículo izquierdo (FEVI) preservada y fibrilación auricular (FA) paroxística (CHADS-VASC=5 / HAS-BLED=5 / CCI=3) anticoagulado con apixabán oral.
Informe del casoPaciente con los antecedentes descritos anteriormente que inició apixabán tras sufrir un AIT y posteriormente presentó varios episodios de anemización por hemorragias digestivas altas, junto con 2 ingresos por melenas secundarias a angiodisplasias del intestino delgado. Sin inestabilidad hemodinámica y con una hemoglobina mínima en el último ingreso de 6,6g/dL, que requirió de transfusión de 4 concentrados de hematíes. Presentado el caso en comité multidisciplinar, se decidió realizar el cierre de la orejuela de la aurícula izquierda de forma percutánea (CHADS-VASC=5 / HAS-BLED=5 / CCI=3).
El paciente fue intervenido el 16/5/2023 de forma programada; se realizó una anestesia general balanceada (inducción con fentanilo 200μg, propofol 120mg, rocuronio 150mg e.v., IOT, CK-II, TET Murphy 7.5), mantenimiento con sevofluorano guiado por BIS. Bajo monitorización estándar. Mediante acceso venoso femoral derecho, se realizó una punción transeptal ecoguiada y se decidió colocar un dispositivo Amplatzer Amulet 28mm (Abbot Vascular, Santa Clara CA, EE.UU.)TM, inicialmente con buen resultado, con comprobación ecocardiográfica transesofágica (ETE) junto con fluoroscopia, sin presentar complicaciones aparentes.
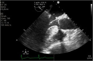
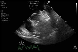
Tras el procedimiento, el paciente fue trasladado al hospital de día donde, a las 2h, inició un episodio de disnea acompañado de náuseas, desaturación e hipotensión. Se detectó una insuficiencia mitral (IM) severa de novo por desplazamiento del dispositivo implantado (figs. 1 y 2). El paciente entró en situación de shock cardiogénico y se trasladó a quirófano de forma emergente.
En quirófano se realizó una anestesia general balanceada (inducción con fentanilo 200μg, propofol 100mg, rocuronio 100mg e.v.) y mantenimiento con sevofluorano guiado por BIS. Mediante ecocardiografía, se evidenció un ventrículo derecho (VD) muy hipertrófico, con disfunción moderada que requirió inicio de dobutamina (DBT) y noradrenalina (NAD) en perfusión para mantener una presión arterial y una función ventricular adecuadas, junto con una IM severa.
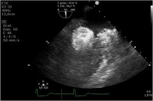
Quirúrgicamente se realizó la canulación en arco aórtico (generalmente se realiza en aorta ascendente, pero debido a la presencia de una extensa placa calcificada en aorta ascendente junto con inestabilidad hemodinámica se optó por canular en arco aórtico) y bicava, entrando en circulación extracorpórea (CEC) con heparinización sistémica previa. Se realizó clampaje aórtico y se administró cardioplejia de forma anterógrada. Se realizó atriotomía derecha, con visualización del orificio de punción transeptal y apertura del septo, consiguiendo una exposición valvular extrayéndose el dispositivo sin dificultades (fig. 3). Se revisó la válvula mitral que presentó un pseudoprolapso del P1, realizándose una anuloplastia mitral mediante la colocación de un anillo Sorin MeMO-3D de 28mm (Corcym Srl, Salauggia VC, Italia)TM, más plicatura del velo posterior (P1) (fig. 4) con cierre posterior del septo y de la AD. Finalmente se cerró la orejuela mediante la colocación de Atriclip 40 (AtriCure, Mason, Ohio, EE.UU.)TM. Posteriormente se desclampó y se desinstauró progresivamente la CEC, con necesidad de apoyo hemodinámico con DBT a 5μg/kg/min y NAD a 0,08μg/kg/min en perfusión continua. El paciente salió en ritmo sinusal y se dejaron cables ventriculares de marcapasos, se revirtió al paciente con protamina e.v. y se dejaron tres drenajes mediastínicos. El tiempo de CEC fue de 73min y el tiempo de clampaje de 54min. Durante la cirugía se transfundieron dos concentrados de hematíes y dos concentrados de plaquetas. Posteriormente se trasladó a la unidad de cuidados intensivos cardíacos (estancia de 48h), donde requirió tratamiento vasoconstrictor con NAD y DBT a dosis de 0,05μg/kg/min y 4μg/kg/min, respectivamente, por tendencia a la hipotensión. Inicialmente fue dependiente de marcapasos (VVI), ya que persistió en FA bloqueada con ritmo de escape nodal a 50lpm; posteriormente presentó un ECG con silencio auricular que revirtió con amiodarona manteniéndose finalmente en ritmo sinusal. A las 48h fue trasladado a la unidad de postagudos del corazón (UPAC), donde estuvo ingresado durante 20 días, subiendo a planta de hospitalización convencional, hasta completar un total de 30 días de ingreso, siendo dado de alta al domicilio con recuperación ad integrum.
Esta publicación incluye información personal sobre un paciente al cual se le explicó que dicha información sería recogida y expuesta de forma anónima. Éste dio su consentimiento para el procedimiento y para su publicación en este artículo.
DiscusiónEl cierre percutáneo de la orejuela auricular izquierda (OAI) es un procedimiento que se utiliza en pacientes que presentan indicación de anticoagulación oral, pero que presentan contraindicaciones para ello.
Actualmente se ha consensuado que pacientes con FA no valvular con CHA2DS2-VASc>2 (3 en mujeres) tienen indicación de ACO a largo plazo como estrategia para reducir el riesgo de accidente cerebrovascular (ACV) y embolia, siendo preferible los anticoagulantes orales directos (ACOD). Los pacientes que presentan contraindicaciones absolutas para el uso de ACO a largo plazo debido al alto riesgo hemorrágico (por ejemplo, úlcera gastrointestinal, neoplasias malignas con alto riesgo de sangrado, lesión cerebral o espinal reciente, cirugía espinal u ocular reciente, hemorragia intracraneal...) pueden ser considerados para cierre percutáneo de la OAI si se puede administrar un período mínimo (2-4 semanas) de un único antiagregante. En aquellos con un riesgo elevado de hemorragia durante la anticoagulación oral a largo plazo, se debe realizar una evaluación individual de riesgo-beneficio entre la anticoagulación oral y la oclusión de la OAI1.
Actualmente se utilizan distintos dispositivos percutáneos para la realización de este procedimiento, siendo el Amplatzer Amulet (Abbot Vascular, Santa Clara CA, EE.UU.)TM o el WATCHMAN (Boston Scientific; Minnesota, EE.UU.)TM los más usados. Aun habiendo demostrado que son seguros, no están libres de complicaciones. Un registro prospectivo multicéntrico mundial informaba de una tasa de eventos adversos graves del 3,2% entre 1088 implantes del dispositivo Amulet y de forma similar en un 2,8% en 2021 pacientes con el dispositivo WATCHMAN2. A pesar de ser las complicaciones vasculares las más frecuentes, existen otros tipos de complicaciones: por ejemplo, la perforación esofágica, ACV relacionado con el propio procedimiento, fenómenos de trombosis, embolización del dispositivo, perforación cardíaca y taponamiento3. En el metaanálisis de Yasmin et al., donde se realiza una revisión sistemática, se reportan fenómenos de trombosis en 49/1130 en WATCHMAN, 31/1051 en Amulet; embolización del dispositivo en 1/702 WATCHMAN y 5/450 en Amulet en el perioperatorio, 14/651 en WATCHMAN, 3/404 en Amulet a lo largo de un año; lesión pericárdica en 16/676 en WATCHMAN, 5/294 en Amulet; taponamientos pericárdicos en 4/349 en WATCHMAN, 6/349 en Amulet, no encontrándose diferencias significativas en ninguno de los casos entre dispositivos2.
Aunque las tasas son muy bajas, la embolización del dispositivo puede ocurrir durante el procedimiento, inmediatamente después (como fue el caso que presentamos) o de forma tardía, como ha sido descrito en varias ocasiones3–6. En el registro multicéntrico analizado por Eppinger et al., se recogían un total de 125 pacientes que sufrieron una embolización del dispositivo, describiendo una ratio entre 0,6 y 1,5% (esta última en centros de bajo volumen)6. El desprendimiento del dispositivo es asintomático en la mayoría de ocasiones (75%)6, excepto cuando causa afectación hemodinámica, que puede llegar a causar una muerte súbita. Las localizaciones que más frecuentemente se afectan son la aorta (32-37%), el ventrículo izquierdo (29-33%) y la aurícula izquierda (24-25%) según las series revisadas5,6.
Existen varias estrategias para extraer el dispositivo embolizado, ya sea de forma percutánea o quirúrgica, siendo esta primera la más frecuente (75%) en los registros de Eppinger6; sin embargo, es necesario individualizar a la situación hemodinámica del paciente y a la experiencia del centro. En nuestro caso, el dispositivo se impactó en la válvula mitral a las 2h de finalizar el procedimiento, detectándose una insuficiencia mitral severa y estenosis mitral de novo, que causó un shock cardiogénico junto con edema agudo de pulmón que requirió extracción del dispositivo de forma inmediata. Es frecuente que aquellos dispositivos que se impactan a nivel mitral y que cursan con rotura del aparato subvalvular cursen con gran inestabilidad hemodinámica que no permita la extracción de forma percutánea6.
La mayoría de las embolizaciones ocurren durante las primeras 24h siendo la ecocardiografía transesofágica una herramienta útil para la detección y un tratamiento precoz, a nivel pre-, intra- y postoperatorio.
El intervencionismo en cardiología cada vez es más frecuente, tanto en el ámbito de la hemodinámica como de la electrofisiología, realizándose cada vez un mayor número de intervenciones. En la mayoría de los casos se realizan de forma ambulatoria, pero siguen siendo procedimientos complejos, como los cierres de orejuela de forma percutánea, la colocación de Transcatheter Aortic Valve Implantation (TAVI), las ablaciones de flutter o FA, entre otros. Estos procedimientos pueden tener complicaciones potenciales muy graves, como la inducción de arritmias, la aparición de fenómenos tromboembólicos, la disfunción miocárdica, la hipotensión transitoria, el ictus o AIT, las complicaciones hemorrágicas y la embolización de dispositivos, situaciones que pueden llegar a producir la muerte de los pacientes. Es por este motivo que todos estos procedimientos deberían realizarse siempre en centros dotados de cirugía cardiovascular.
Además, estos procedimientos se realizan en pacientes ancianos con alto riesgo anestésico, ya sea por su patología de base o por las frecuentes comorbilidades asociadas que implican, entre otras, alteraciones de la coagulación y un reto para el anestesiólogo.
Por este motivo, estos pacientes deberían valorarse en la consulta preanestésica para poder optimizarlos preoperatoriamente con el objetivo de reducir las complicaciones potenciales, ya que se ha demostrado la eficacia de múltiples programas que incluyen la corrección de la anemia, la optimización de patologías respiratorias, la mejoría del estado nutricional y funcional, el seguimiento de alteraciones de la coagulación, etc. Estos pacientes generalmente están desestimados para cirugía al ser muy frágiles y pluripatológicos, y aunque el riesgo del intervencionismo percutáneo es mucho menor, el riesgo global debido a la situación funcional basal del paciente sigue siendo alto o muy alto7,8.
Consideraciones éticasEsta publicación incluye información personal sobre un paciente. Se le explicó en qué consistiría su inclusión en la misma y que la información obtenida se utilizaría de forma anónima.
Conflicto de interesesLos autores declaran no tener ningún conflicto de intereses.







