La estenosis valvular aórtica congénita es una cardiopatía frecuente y de largo recorrido durante la vida del paciente, sabiendo que cuando debuta en edades tempranas a menudo requerirá reintervención. Existen dos modalidades de tratamiento: la valvuloplastia percutánea con balón y la valvuloplastia quirúrgica, ambas aplicables desde el período neonatal. Los resultados desfavorables de la cirugía en las primeras series llevaron a adoptar una preferencia por el tratamiento percutáneo, que ofrecía similar manejo sobre la válvula aórtica de forma menos invasiva y con menor morbimortalidad. Sin embargo, el avance en los cuidados perioperatorios y, sobre todo, en las técnicas quirúrgicas empleadas en la actualidad ha permitido una mejoría de dichos resultados, con series recientes que muestran un beneficio del tratamiento quirúrgico sobre el percutáneo. Este beneficio se basa principalmente en la capacidad de realizar una apertura dirigida de las comisuras bajo visión directa, además de poder actuar sobre los velos. Las tasas de mortalidad actuales son comparables con ambos tratamientos, pero la mayor durabilidad de la reparación justifica aplicar un tratamiento más invasivo. El papel de la valvuloplastia percutánea seguirá siendo fundamental en grupos seleccionados de pacientes, como aquellos con disfunción ventricular.
En este artículo se describe un caso de estenosis aórtica congénita intervenida en período neonatal en nuestro centro como punto de partida para realizar una revisión de la literatura actual y abrir el debate sobre el mejor manejo de esta patología: ¿balón o bisturí?
Congenital aortic valve stenosis is a common and long-term heart disease during the life of the patient, knowing that when it begins at an early age it will often require reoperation. There are two treatment modalities: percutaneous balloon valvuloplasty and surgical valvuloplasty, both applicable from the neonatal period. The unfavorable results of surgery in the first series led to the adoption of a preference for percutaneous treatment, which offered similar management of the aortic valve in a less invasive way and with less morbidity and mortality. However, advances in perioperative care and, above all, in surgical techniques currently used have allowed an improvement in these results, with recent series showing a benefit of surgical treatment over percutaneous treatment. This benefit is mainly based on the ability to perform a directed opening of the commissures under direct vision, in addition to being able to act on the leaflets. Current mortality rates are comparable with both treatments, but the greater durability of the repair justifies a more invasive treatment. The role of percutaneous valvuloplasty will continue to be critical in selected groups of patients, such as those with ventricular dysfunction.
This article will describe a case of congenital aortic stenosis operated on in the neonatal period in our center as a starting point for a review of the current literature and open the debate on the best management of this pathology: balloon or scalpel?
La estenosis valvular aórtica congénita constituye una patología relativamente frecuente, suponiendo aproximadamente un 3-6% de las cardiopatías congénitas. De hecho, la válvula aórtica bicúspide es la anomalía cardiaca congénita más frecuente, con una prevalencia de aproximadamente el 2% de la población1. Su presentación en la infancia puede variar desde un curso asintomático en los casos de estenosis ligera o moderada, hasta cuadros de insuficiencia cardíaca, síncope, angina o muerte súbita en casos severos. La estenosis aórtica congénita debe considerarse una enfermedad crónica, y es frecuente que requiera múltiples intervenciones a lo largo de la vida.
Su manejo en la infancia resulta controvertido, y existen dos opciones de tratamiento: la valvuloplastia percutánea con balón (VP) o la valvuloplastia quirúrgica (VQ), que se han considerado durante mucho tiempo equivalentes en cuanto a resultados en términos de supervivencia y tasa de reintervención2. Por ello, en cada centro se ha favorecido una u otra estrategia en función de sus preferencias y de la experiencia desarrollada. Sin embargo, estudios más recientes ponen de manifiesto que los avances en la técnica quirúrgica desarrollados en las últimas dos décadas pueden proporcionar resultados superiores con el tratamiento quirúrgico3,4.
La elección del tratamiento más apropiado es aún más compleja entre los neonatos. Las series clásicas de las décadas de los ochenta y noventa reportaban elevadas tasas de mortalidad con la cirugía, por lo que muchos centros adoptaron como tratamiento inicial de elección la VP. Sin embargo, las series más recientes arrojan evidencia de los buenos resultados del tratamiento quirúrgico también en este grupo de edad5,6. Por ello, actualmente muchos centros han variado su preferencia hacia la VQ desde el período neonatal, como es el caso de nuestro hospital.
Se describe a continuación el caso clínico de un paciente con diagnóstico de estenosis aórtica severa en edad neonatal referido para tratamiento quirúrgico en nuestra institución.
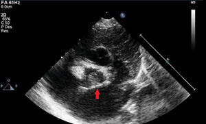
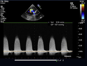
Caso clínicoDatos preoperatoriosRecién nacido a término sin antecedentes gestacionales de interés, diagnosticado de estenosis valvular aórtica a los 2días de vida tras auscultación de soplo cardiaco, con válvula aórtica displásica (fig. 1). En los primeros controles ecocardiográficos se describía una estenosis moderada que, sin embargo, presentó una rápida progresión en las primeras semanas de vida hasta alcanzar criterios de severidad. Se remite al paciente a nuestro centro con gradientes pico/medio por Doppler entre 96/52mmHg y hasta 150/80 según el estudio (fig. 2), sin insuficiencia aórtica y con ventrículo izquierdo (VI) con hipertrofia concéntrica ligera y buena función sistólica. El anillo aórtico era de 7mm, lo que representaba un Z score normal para su peso. Dada la evolución de la estenosis se decide programar la cirugía de forma preferente con el paciente en situación clínica estable.
Con 29 días de vida y 4,4kg de peso se realiza VQ bajo circulación extracorpórea e hipotermia ligera con cánulas en aorta ascendente y aurícula derecha. Tras el pinzamiento aórtico se administra cardioplegia cristaloide anterógrada y se realiza aortotomía transversa. Se explora la válvula aórtica, que presenta un patrón de fusión comisural tipo2 según la clasificación de Sievers: existe una comisura verdadera con adecuada apertura a nivel posterior, entre los velos coronariano izquierdo y no coronariano, y dos rafes a nivel anterior, resultando funcionalmente monocúspide. Los velos se encuentran severamente engrosados, pasando un dilatador de Hegar de tan solo 4mm de diámetro. Se realiza apertura de los dos rafes anteriores y shaving de los velos no coronariano y coronariano izquierdo, permitiendo el paso de un dilatador Hegar de 7mm. Se realiza cierre de la aortotomía y despinzamiento aórtico tras pinzamiento de 29min. Se desconecta de circulación extracorpórea a los 46min sin incidencias, con control ecocardiográfico intraoperatorio con gradiente pico de 20mmHg y sin insuficiencia aórtica significativa.
Evolución postoperatoriaEn la unidad de cuidados intensivos evoluciona sin incidencias destacables y es extubado a las 72h del procedimiento por tendencia inicial a la hipoxemia. Se retira el soporte inotrópico con dopamina a dosis bajas en las primeras 48h y pasa a planta el quinto día postoperatorio. Sin eventos reseñables durante se estancia en planta, salvo cuadro infeccioso de vías respiratorias altas que se maneja con pauta de amoxicilina-clavulánico oral. Es dado de alta al octavo día postoperatorio con ecocardiograma de control que muestra un gradiente pico de 40mmHg y medio de 22, con insuficiencia excéntrica ligera y VI hipertrófico con buena función.
SeguimientoEl paciente ha continuado seguimiento cardiológico estrecho con último control realizado a los 30meses de la intervención. Se encuentra asintomático desde el punto de vista cardiovascular, activo y con desarrollo psicomotor normal. Presenta una estenosis aórtica residual que se mantiene en grado ligero (gradientes pico y medio de 35 y 15mmHg, respectivamente). La insuficiencia aórtica es moderada, con VI con ligera hipertrofia del tabique (5mm) sin dilatación y con función conservada.
DiscusiónA la hora de afrontar la elección del tratamiento óptimo en un paciente con estenosis aórtica congénita debemos tener presente el recorrido de la enfermedad a lo largo del tiempo, considerando dentro de las opciones terapéuticas sus resultados no solo inmediatos, sino también a largo plazo. Se trata de una enfermedad que progresará a lo largo del tiempo independientemente de la opción de tratamiento elegida, coincidiendo todos los estudios en la alta tasa de reintervención de forma global. Por ello, cualquier tratamiento en edades tempranas de la vida debe considerarse paliativo, retrasando más que previniendo la necesidad de sucesivas intervenciones y, en última instancia, de reemplazo valvular aórtico.
El tratamiento quirúrgico de esta patología ha evolucionado de forma considerable desde el primer caso descrito por Lillehei y colaboradores en 1956. Las técnicas clásicas cerradas (dilatación por vía transapical) proporcionaban un resultado similar al obtenido de forma percutánea. Por ello, con el desarrollo de la cardiología intervencionista en la década de los noventa la cirugía quedó relegada como tratamiento de primera elección en estos pacientes. Sin embargo, las mejoras en los manejos perioperatorio y anestésico, en la protección miocárdica y principalmente en las técnicas quirúrgicas han favorecido un cambio progresivo de tendencia en las últimas dos décadas. La realización de valvuloplastias quirúrgicas abiertas mediante comisurotomía dirigida y la incorporación de técnicas de reparación más complejas (extensión de velos, resuspensión de comisuras) han permitido obtener resultados superiores a los del tratamiento percutáneo (tabla 1).
Resumen de estudios comparativos entre valvuloplastia aórtica percutánea y quirúrgica
| Estudio (año) | Pacientes (neonatos) | Seguimiento medio (años) | Supervivencia a 10 años | GP postintervención (mmHg) | IAo ≥ moderada a 10 años | Tiempo reintervención (años) | LibertadReintervención10 años | LibertadSVAo10 años | ||||||||
|---|---|---|---|---|---|---|---|---|---|---|---|---|---|---|---|---|
| VP | VQ | VP | VQ | VP | VQ | VP | VQ | VP | VQ | VP | VQ | VP | VQ | VP | VQ | |
| McCrindle et al.2 (2001) | 110 (110) | 72%a | 20 (GM) | 36 (GM) | 18%b | 3%b | 48%a | |||||||||
| 82 | 28 | |||||||||||||||
| Brown et al.4 (2012) | 158 (0) | 5,2±2,9 | 8,9±6,5 | 97% | 49,5±16,0 | 25,0±8,8 | 36% | 20% | 2,5 | 8,6 | 53% | 72% | ||||
| 69 | 89 | |||||||||||||||
| Siddiqui et al.3 (2013) | 123 (67) | 10±7 | 88% | 11 m | 5 | 27% | 65% | |||||||||
| 37 | 86 | |||||||||||||||
| Hill et al.7 (2016) | 2.368 (833) | 87% | 90% | 37 | 28 | 46% | 73% | 76% | 81% | |||||||
| 1.835 | 533 | |||||||||||||||
| Vergnat et al.6 (2019) | 103 (103) | 11,4±7,1 | 88% | 94% | 35±12 | 26±11 | 36% | 66% | 60% | 79% | ||||||
| 51 | 52 | |||||||||||||||
| Herrmann et al.9 (2020) | 212 (0) | 8,4±4,8 | 11,1±8,4 | 50,2±16,9 | 26,2±11,2 | 58% | 29% | 3,3±3,3 | 8,2±5,1 | 23% | 61% | 45% | 65% | |||
| 89 | 123 | |||||||||||||||
GM: gradiente medio; GP: gradiente pico; IAo: insuficiencia aórtica; SVAo: sustitución valvular aórtica; VP: valvuloplastia percutánea; VQ: valvuloplastia quirúrgica.
El metaanálisis y revisión de la literatura publicado por Hill et al.7 en 2016 comparando las dos opciones de tratamiento (VP vs VQ) abarca un total de 2.368 pacientes menores de 18años provenientes de 20 estudios. De forma global, no se encontraron diferencias significativas en términos de supervivencia ni libertad de reemplazo valvular aórtico, pero la tasa de reintervención fue significativamente mayor en el grupo de pacientes con VP. Estos resultados se mantuvieron al analizar de forma separada el grupo de pacientes menores de 1año. De los estudios incluidos, solo 6 estudios comparativos entre las dos técnicas son posteriores al año 2000, y las conclusiones a que llegan van desde la obtención de resultados similares con ambos tratamientos8 a un claro beneficio a favor de la cirugía. Entre estos últimos se encuentra el estudio publicado por Brown et al.4 en 2012 y actualizado posteriormente en 20209, que incluye pacientes a partir de los 2meses de edad. Sus resultados más recientes incluyen 123 pacientes con VQ y 89 con VP. No encontraron diferencias en cuanto a supervivencia y necesidad de reemplazo valvular aórtico, pero la tasa de insuficiencia aórtica moderada o severa fue mayor en el grupo sometido a VP (58,3% frente a 27,9% en el grupo quirúrgico) así como el porcentaje de reintervención a los 10años (78,6% frente a 39,2%). Concluyen que el tratamiento quirúrgico ofrece resultados superiores, ya que el gradiente pico tras el procedimiento es significativamente menor en este grupo y los resultados son más duraderos. En la misma línea, Hochstrasser et al.10 compararon pacientes en edad pediátrica (incluyendo neonatos) sometidos a cirugía o cateterismo por estenosis aórtica congénita que requirieron reintervención posterior y pacientes que no. Tras un seguimiento medio de 14,8años encontraron como factores predisponentes a la reintervención la VP, mayor gradiente pico sistólico residual, insuficiencia mayor que ligera posprocedimiento y mayor grosor de la pared posterior del VI previa a la intervención.
En el grupo de pacientes en edad neonatal la decisión acerca del tratamiento óptimo es aún más compleja dada la presentación clínica habitualmente más severa, que en ocasiones puede evolucionar con rapidez hacia cuadros de insuficiencia cardíaca congestiva con el cierre ductal y precisar ventilación mecánica y soporte inotrópico. Además, la asociación en muchos de estos pacientes de un mayor o menor grado de hipoplasia de las estructuras izquierdas, no solo del anillo aórtico, hace necesaria una evaluación detallada acerca de si el manejo óptimo comprenderá la vía biventricular o univentricular (cirugía de Norwood).
La elevada tasa de mortalidad quirúrgica en estos pacientes descrita en los estudios clásicos ha favorecido que muchos centros opten por el tratamiento percutáneo como primera opción incluso hoy en día1. Sin embargo, ya desde 2001 existen publicaciones que muestran resultados equiparables, y en estudios más recientes incluso superiores. El estudio multicéntrico publicado por McCrindle et al.2 compara 110 neonatos procedentes de 18 centros sometidos a VP (82) o VQ (28). Se describe una mayor tasa de insuficiencia aórtica con la VP, pero mayor gradiente posprocedimiento con la VQ. La supervivencia ajustada fue similar en los dos grupos, siendo comparables en mortalidad y riesgo de reintervención. Los factores de riesgo de mortalidad encontrados fueron la necesidad de ventilación mecánica y un menor tamaño de las estructuras izquierdas. También en 2001 el grupo de Southampton publicaba su serie de 18 neonatos sometidos a VQ con excelentes resultados a corto y a largo plazo, sin mortalidad perioperatoria y con un fallecimiento tardío a los 14años de la intervención. La libertad de estenosis aórtica recurrente significativa fue del 85% a los 5años y del 77% a los 10años, y la de insuficiencia aórtica severa o necesidad de reemplazo valvular fue del 100% a los 5años y del 79% a los 10años.
Estudios más recientes, como el publicado en 2013 por el grupo de Melbourne3, que incluye 67 neonatos y 56 lactantes, encuentran en el análisis multivariante la edad neonatal y la VP como factores predictivos de reestenosis y reintervención, resultados que se mantienen analizando de forma separada neonatos y lactantes. La mediana de tiempo hasta la reintervención fue de 11meses en la VP y 5años en la VQ. El resultado global de ambas fue satisfactorio, con una mortalidad temprana del 3% y supervivencia del 88% a los 10años y del 80% a los 20años. En su opinión, el retraso en la necesidad de reintervención es un beneficio que supera al riesgo actual de la cirugía. El estudio más reciente referido en exclusiva a neonatos es el de Vergnat et al.6, de 2019, con 51 pacientes sometidos a VP y 52 a VQ y un seguimiento medio de 11,4años. En su estudio, la VQ obtuvo mayor reducción del gradiente y mayor tasa de supervivencia (94% frente a 88%), libertad de reoperación (66% frente a 36%) y libertad de reemplazo valvular aórtico (79% frente a 60%) a los 10años. En su estrategia terapéutica la VP conserva un papel fundamental en los pacientes con disfunción del VI, en los que utilizan el tratamiento percutáneo inicial de forma poco agresiva y posterior VQ tras mejoría de la función ventricular.
La mejoría en los resultados del tratamiento quirúrgico se debe en buena medida a que las técnicas actuales no se limitan a la comisurotomía. Todos los grupos recalcan la importancia de trabajar sobre los velos, eliminar todo el tejido fibrótico y, cuando sea posible, restaurar una morfología tricúspide, ya que la reparación no tricúspide se asocia a mayor necesidad de reintervención6. En general, cuando existen uno o dos rafes en las válvulas bicúspides se tiende a evitar su apertura para prevenir la insuficiencia aórtica significativa. En nuestro paciente, la imposibilidad de mejorar el gradiente únicamente actuando sobre los velos y la adecuada apertura de la comisura posterior nos condujo a realizar una incisión controlada de estos rafes, con buen resultado en el seguimiento a medio plazo.
En los pacientes en edad neonatal el estado preoperatorio jugará un papel fundamental en los resultados posteriores. La necesidad de resucitación agresiva con tratamiento médico en los pacientes que lo requieran y el adecuado manejo perioperatorio son fundamentales. En nuestro caso, dada la estabilidad clínica del paciente a pesar de la rápida progresión del gradiente, fue posible realizar el procedimiento de forma preferente.
ConclusionesLa estenosis aórtica congénita supone un desafío en cuanto a su manejo inicial, particularmente en los pacientes en edad neonatal. La mayor durabilidad de los resultados con la VQ favorece la elección de dicho tratamiento en una patología que requerirá seguimiento de por vida y en muchos casos reintervención. La mejora de las técnicas quirúrgicas y la manipulación de la válvula bajo visión directa, y por tanto de forma controlada, ofrece una ventaja clara sobre la VP, aunque esta pueda tener un papel importante en casos seleccionados como en la disfunción del VI.
Conflicto de interesesNinguno.






