Los tumores cardíacos primarios son infrecuentes. Alrededor del 75% de ellos son benignos, y más del 50% de estos corresponden a mixomas. Sus manifestaciones clínicas son muy variables, siendo considerado el «gran simulador».
Presentamos el caso de una mujer de 70 años, que cursa disnea y derrame pleural recidivante de etiología desconocida. Fue diagnosticada de mixoma gigante en aurícula izquierda y sometida a cirugía cardíaca, con resolución del cuadro.
Los tumores cardíacos deben ser considerados como diagnóstico diferencial frente a derrame pleural recidivante de causa desconocida. El diagnóstico temprano y el tratamiento quirúrgico oportuno reducen el riesgo de complicaciones y mejoran la sobrevida.
Primary cardiac tumors are infrequent. About 75% of them are benign, and more than 50% of those are myxomas. Their clinical manifestations are highly variable, and they are called ‘the great simulator’.
This case report is about a 70 years-old woman with dyspnea and recurrent pleural effusion of unknown etiology. She was diagnosed of a giant left auricular myxoma and underwent cardiac surgery, with resolution of her symptoms.
Cardiac tumors must be considered as a differential diagnosis of recurrent pleural effusion of unknow etiology. The early diagnosis and timely surgical treatment reduce the risk of complications and improve survival.
Los tumores cardíacos primarios son infrecuentes, con una incidencia aproximada del 0,0017-0,28%. Alrededor del 75% de ellos son benignos, y más del 50% de estos corresponden a mixomas1. La localización más habitual es en la aurícula izquierda y sus manifestaciones clínicas son muy variables, siendo denominado «el gran simulador»2. Se reporta el caso de una mujer de 70 años de edad, que cursa con disnea progresiva y derrame pleural recidivante de etiología desconocida, en la que se halló un mixoma gigante en la aurícula izquierda.
Reporte de casoMujer de 70 años con disnea progresiva y tos no productiva de 6 meses de evolución. En radiografía de tórax se evidencia derrame pleural izquierdo, el cual fue drenado mediante toracocentesis. Se obtuvo líquido xantocrómico, con resultado de laboratorio compatible con trasudado.
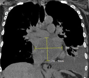
Derrame pleural recidiva siendo necesaria la realización de toracocentesis evacuatorias hasta en 4 oportunidades. Durante el estudio etiológico del derrame pleural se realiza biopsia pleural con resultado negativo para malignidad; tomografía torácica donde se evidencia la presencia de masa intracardíaca izquierda asociada a derrame pleural (fig. 1). La ecocardiografía confirma dicho hallazgo: tumor gigante en la aurícula izquierda que protruye hacia el ventrículo izquierdo; función sistólica biventricular conservada e hipertensión pulmonar poscapilar severa (fig. 2).
La paciente fue sometida a cirugía cardíaca con circulación extracorpórea mediante esternotomía media. Se realizó canulación aorto bi-cava, con bypass cardiopulmonar total. Abordaje por auriculotomía izquierda, hallando tumoración de aspecto mixomatoso, pediculada, adherida a la pared posterior de la aurícula izquierda, de diámetro aproximado de 8×7cm, de consistencia blanda, la cual fue removida en su totalidad (fig. 3). Tiempo de circulación extracorpórea: 1hora 30min, tiempo de pinzamiento aórtico: 45min. La ecocardiografía transesofágica intraoperatoria no reporta insuficiencia mitral residual.
Resultado de anatomía patológica: mixoma auricular hemorrágico, con calcificación distrófica.
La paciente cursó con evolución postoperatoria favorable, y fue dada de alta al quinto día de la intervención quirúrgica. En controles ambulatorios, la paciente no manifiesta disnea ni recurrencia de derrame pleural.
DiscusiónLos mixomas son los tumores cardíacos primarios benignos más frecuentes. Su localización más habitual es en la aurícula izquierda, con un pico de aparición entre los 40 y 60 años de edad, y una relación mujer: varón de 3 a 13.
Clínicamente, el tumor puede manifestarse como fenómenos embólicos tanto en la circulación sistémica como en la circulación pulmonar; como fenómenos sistémicos por reacciones inmunológicas manifestadas por fiebre, pérdida de peso, anemia y serositis mediada por la producción de citoquinas, especialmente la interleucina 6 (IL-6); y como fenómenos obstructivos simulando una valvulopatía mitral2.
La presencia del tumor de gran tamaño a nivel de la aurícula izquierda y su prolapso a través de la válvula mitral genera un mecanismo obstructivo al flujo sanguíneo, ocasionando un aumento de la presión intraauricular e hipertensión venocapilar, manifestándose como derrame pleural4.
La asociación entre derrame pleural y mixoma auricular es rara; se debe considerar como diagnóstico diferencial frente a un derrame pleural recidivante de causa desconocida5.
El método de elección para su diagnóstico es la ecocardiografía, con una sensibilidad del 95% en la ecocardiografía transtorácica, y del 100% en la transesofágica6.
Los pocos casos reportados de asociación entre derrame pleural recidivante y mixoma auricular4,5,7 describen que la sintomatología cesó con la exéresis de la tumoración. Estos autores atribuyen el desarrollo del derrame pleural al mecanismo obstructivo del mixoma; sin embargo, Meira et al.4 no descartan además la asociación con fenómenos inmunológicos e inflamatorios.
Si bien los mixomas son histológicamente benignos, pueden tener comportamiento maligno con recurrencia de aparición que varía entre el 1-5% en diferentes series, siendo más frecuente en los casos familiares8; infiltración local y metástasis a distancia por mecanismo embólico.
El tratamiento quirúrgico es considerado curativo, y debe comprender la exéresis del tumor, incluyendo su base y el endocardio adyacente para disminuir el riesgo de estas complicaciones5.
ConclusiónLos tumores cardíacos deben ser considerados como diagnóstico diferencial frente a derrame pleural recidivante de causa desconocida. El diagnóstico temprano y el tratamiento quirúrgico oportuno reducen el riesgo de complicaciones y mejoran la sobrevida.
Consideraciones éticasEste trabajo fue aprobado por el comité ético de nuestro hospital y se obtuvo el consentimiento informado del paciente para su publicación.
El estudio fue aprobado por el comité de ética en investigación del Hospital Nacional Almanzor Aguinaga Asenjo
FinanciaciónNinguna.
Conflicto de interesesNinguno.






