La conexión anómala total de venas pulmonares es una anomalía cardíaca rara, que ocurre del 1% al 3% en niños que nacen con defectos cardíacos congénitos. Sin corrección quirúrgica el 78% de los pacientes fallece dentro del primer año de vida. Sin embargo, se sabe que unos pocos pacientes sobreviven hasta la edad adulta. Una adecuada evaluación inicial que permita descartar enfermedad vascular pulmonar irreversible es necesaria antes de decidir un tratamiento quirúrgico. Reportamos el caso de una paciente de 30 años, sin antecedentes quirúrgicos y con diagnóstico reciente de conexión anómala de venas pulmonares variedad supracardíaca sometida a una corrección exitosa.
Total anomalous pulmonary venous connection (TAPVC) is a rare cardiac anomaly, occurring in 1% to 3% of children born with congenital heart defects. Without surgical correction, 78% of the patients die within the first year of life. However, a few patients to survive well into adulthood. Therefore, an adequate initial approach to evaluate irreversible pulmonary vascular disease is necessary before deciding on surgical treatment. We report a 30-year-old female patient, with no previous surgical history and recent diagnosis of supracardiac TAPVC undergoing to a successful correction.
La conexión anómala total de venas pulmonares (CATVP) es una anomalía cardíaca rara, que ocurre en del 1% al 3% en niños que nacen con defectos cardíacos congénitos. Sin corrección quirúrgica el 78% de los pacientes fallece dentro del primer año de vida; sin embargo, unos pocos pacientes sobreviven hasta la edad adulta1. La CATVP se clasifica según el sitio de drenaje en el retorno venoso sistémico (supracardíaca 45%, infracardíaca 25%, cardíaca 25% y mixta 5%)2. Para permitir un flujo sanguíneo sistémico adecuado estos pacientes deben tener un defecto del tabique auricular y, por lo general, aquellos con un defecto más grande evolucionan clínicamente mejor que aquellos con una comunicación interauricular restrictiva2–4.
La CATVP demuestra un amplio espectro de presentaciones clínicas que van desde la ausencia de síntomas hasta hipoxemia grave y presentaciones atípicas como absceso cerebral. El tiempo y la presentación clínica dependen del grado de obstrucción venosa pulmonar. Si existe una obstrucción venosa pulmonar grave, los pacientes típicamente se presentan en la primera infancia con dificultad respiratoria grave e insuficiencia cardíaca con acidosis metabólica1,4. Los pacientes que sobreviven hasta la adolescencia o la edad adulta muestran un equivalente hemodinámico a un gran defecto del tabique interauricular, con sobrecarga de volumen del corazón derecho e insuficiencia cardíaca derecha e hipertensión pulmonar más tarde3,5,6. La corrección quirúrgica es la única opción de tratamiento, y en general, requiere una reparación urgente dentro de los primeros meses de vida, ya que sin intervención quirúrgica se informan tasas de mortalidad muy altas1,3,6.
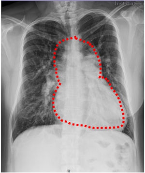
En nuestro caso presentamos a una paciente de 30 años, sin intervenciones previas, con antecedentes de acropaquias desde los 6 años, sin otro síntoma. Fue derivada a nuestra institución con historia de disnea de medianos esfuerzos, palpitaciones, dolor torácico y deterioro de la clase funcional de 2 meses de evolución. En la radiografía de tórax se observó flujo pulmonar aumentado y cardiomegalia a expensas de las cavidades derechas, imagen en «muñeco de nieve» (fig. 1). En el ecocardiograma se evidenció conexión anómala total de venas pulmonares variedad supracardíaca a través de una vena vertical sin obstrucción, comunicación interauricular tipo ostium secundum, dilatación de cavidades derechas y presión sistémica estimada de la arteria pulmonar de 69mmHg. Se complementaron los estudios con tomografía computarizada por sospecha de tromboembolismo pulmonar, donde se encontró drenaje anómalo de todas las venas pulmonares derechas, las del lóbulo inferior y lingulares izquierdas, las cuales confluyen en un colector común horizontal, las venas pulmonares del lóbulo superior izquierdo confluyen en la unión del colector horizontal y longitudinal. Posteriormente, por medio del colector longitudinal izquierdo drenan a la vena innominada, y esta en la cava superior, desembocando en la aurícula derecha (fig. 2). Se descartó tromboembolismo pulmonar y trombosis venosa profunda en las extremidades inferiores. Se sometió a cateterismo cardiaco por vía femoral derecha, donde se determinó salto oximétrico en la vena cava superior y desaturación sistémica con relación a la vena pulmonar (aorta-PaO2: 53mmHg, SaO2 90% vs. vena pulmonar-PaO2: 87mmHg, SaO2 98%). En levofase el retorno venoso pulmonar derecho e izquierdo va hacia un colector, que desemboca en la vena vertical-innominada y posteriormente desemboca en la vena cava superior, con opacificación del atrio derecho y paso de medio de contraste al atrio izquierdo (AI) a través de un defecto septal auricular (fig. 3).
Tomografía computarizada con: A) imagen de reconstrucción multiplanar mostrando conexión de vena vertical a vena innominada; B) imagen de la confluencia de venas pulmonares al colector venoso, con posterior drenaje a la vena vertical; C) reconstrucción tridimensional sagital derecha; y D) reconstrucción tridimensional sagital izquierda mostrando el colector venoso a la izquierda de arco aórtico y que desemboca en la vena innominada y posteriormente a la vena cava superior.
AD: aurícula derecha; Co: colector venoso; VCS: vena cava superior; Vin: vena innominada; VV: vena vertical.
Se decidió la resolución quirúrgica mediante esternotomía convencional, canulación aórtica y bicava, descenso de temperatura a 25°C, con un tiempo de circulación extracorpórea de 97minutos y pinzamiento aórtico de 66minutos con flujo cerebral anterógrado; el procedimiento quirúrgico incluyó la redirección de colector al AI con ligadura de vena vertical y cierre de comunicación interauricular con parche de pericardio bovino fenestrado. El postoperatorio transcurrió sin incidentes y la paciente fue egresada transcurridos 18 días. Actualmente se encuentra en seguimiento, con clase funcional i de la New York Heart Association.
Aunque la mayoría de los pacientes con CATVP son diagnosticados y operados en la infancia, es posible ver pacientes adultos con esta enfermedad. Los pacientes con CATVP no tratados a menudo pueden desarrollar el síndrome de Eisenmenger con hipertensión pulmonar fija a partir de la segunda década de la vida, debido al alto flujo sanguíneo a través de la circulación pulmonar2. En ausencia de enfermedad vascular pulmonar significativa todos estos pacientes pueden someterse a una reparación completa, y en aquellos con hipertensión arterial pulmonar severa se prefiere cerrar el defecto septal auricular usando un parche fenestrado para que produzca un cortocircuito de derecha a izquierda durante los episodios de hipertensión arterial pulmonar al proporcionar una salida hacia el AI, previniendo así la disfunción aguda del ventrículo derecho1. Finalmente, consideramos que la cirugía se puede realizar de forma segura para la CATVP, que se presenta más allá de la primera década de la vida, con resultados quirúrgicos aceptables; sin embargo, los pacientes necesitan un seguimiento estrecho por una posible persistencia de la hipertensión arterial pulmonar durante el seguimiento.
Consideraciones éticasLos autores declaran que cuentan con el consentimiento informado del paciente y que la intervención fue aprobada por el Comité de Etica Institucional.
FinanciaciónNo se recibió ningún patrocinio para llevar a cabo este artículo.
Conflicto de interesesLos autores declaran no tener ningún conflicto de intereses.






