La toxoplasmosis cerebral es una una infección producida por un organismo oportunista, que en el caso de las personas inmunocompetentes puede ser asintomático o producir leves síntomas; sin embargo, en la población inmunodeprimida puede generar graves síntomas e incluso la muerte como desenlace final. Es preciso tener una sospecha diagnóstica y dar manejo adecuado para evitar las complicaciones, secuelas y/o la muerte. En este reporte de caso se busca promover la importancia de la sospecha clínica, el diagnóstico y el tratamiento oportunos.
Cerebral toxoplasmosis is an infection produced by an opportunistic organism, which in the case of immunocompetent people can be asymptomatic or produce mild symptoms, however in the immunocompromised population can generate severe symptoms and even death as a final outcome, it is necessary to have a diagnostic suspicion and provide appropriate management to avoid complications, sequelae and/or death. This case report seeks to promote the importance of clinical suspicion, diagnosis and timely treatment.
La toxoplasmosis es una infección causada por un protozoo intracelular (Toxoplasma gondii), que se disemina y persiste en huéspedes humanos, íntimamente ligado a la respuesta inmune del huésped. Es una de las infecciones más comunes en los humanos, se estima que alrededor de un tercio de la población mundial está infectada con toxoplasmosis latente. Existen focos de alta prevalencia en América Latina, partes de Europa Central y Oriental, Oriente Medio, partes del sudeste asiático y África1. El cerebro es uno de los órganos más afectados y sus manifestaciones dependen significativamente de la respuesta inmunitaria de los individuos infectados2.
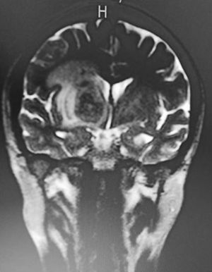
CasoUn paciente masculino de 28 años de edad residente del municipio de Bucaramanga, Santander, cesante, con antecedente de consumo de marihuana, sífilis tratada (24/01/2020) y VIH diagnosticado en 2017 con manejo antirretroviral ambulatorio con mala adherencia al tratamiento entre junio y noviembre del 2020, la última carga viral fue de 44.000 (19/10/2020) sin registro de LTCD4. Ingresó el 26/04/21 refiriendo un mes de temblor en el miembro superior izquierdo, una semana de hemiparesia derecha, fiebre y somnolencia. Se valora al paciente con alerta afebril con hemiparesia e hiperreflexia derecha y temblor en acción de miembro superior izquierdo, sin signos meníngeos, sin signos de hipertensión endocraneana, se toman laboratorios con hemograma sin leucocitosis, sin anemia, sin trombocitopenia con linfopenia, proteína C reactiva levemente positiva, uroanálisis no patológico, azoados normales, electrólitos normales, serología negativa, anticuerpos para hepatitis c negativos, antígeno para hepatitis b negativo, IGM para toxoplasmosis negativo, carga viral 269.301 copias/ml, se toma tomografía axial computarizada de cráneo que muestra una lesión con efecto de masa de predominio derecho en la región ganglio basal izquierda. Se observan lesiones en el anillo hacia la zona central de las lesiones con aspecto edematoso y digitiforme (fig. 1), por lo cual se considera alta probabilidad de toxoplasmosis cerebral, es valorado por neurología, donde contraindican punción lumbar e indican la realización de una resonancia magnética cerebral simple y contrastada bajo sedación, la cual reporta lesiones intra-axiales con edema perilesional localizadas en la región ganglio basal derecha y talámica izquierda, considerando lesiones de tipo inflamatorio (neurotoxoplasmosis). Se da esquema de manejo con fluconazol y trimetropin/sulfametoxazol por 21 días, con mejoría clínica progresiva, por lo que se da el egreso con indicación de continuar la terapia antirretroviral y se agenda una cita de control por neurología para determinar conductas adicionales.
La causa más común de neurotoxoplamosis es la reactivación de la infección crónica en los pacientes con sida, neoplasias malignas o trasplantes de órganos; se debe realizar un enfoque tanto serológico como imagenológico3. La toxoplasmosis cerebral es la causa más común de lesiones cerebrales expansivas en las personas que viven con el VIH/sida asociándose a déficits neurológicos subagudos4.
Clínicamente, sus manifestaciones a nivel del sistema nervioso central (SNC) son variadas, pudiendo presentar síntomas de inicio insidioso dados por cefalea, fiebre, deterioro del nivel de la conciencia, confusión mental y trastornos cognitivos, así como de signos de focalización como expresión de lesiones hemisféricas cerebrales, cerebelosas o del tronco encefálico; sin embargo, en ocasiones puede ser asintomático5.
Las manifestaciones clínicas de la enfermedad dependen principalmente de la topografía y el número de lesiones. Los signos y síntomas más comunes son dolor de cabeza (38-93%), déficit neurológico focal (22-80%), fiebre (35-88%), confusión mental (15-52%), convulsiones (19-58%), cambios psicomotores o conductuales (37-42%), parálisis de pares craneales (12-28%), ataxia (2-30%) y anomalías visuales (8-19%). Los pacientes también pueden presentar síndrome de hipertensión intracraneal y movimientos involuntarios6,7.
Para su diagnóstico, se debe realizar un enfoque tanto serológico como imagenológico1, siendo la neuroimagen el método que más nos acerque al diagnóstico, en la tomografía computarizada se evidencia el «signo diana» que evidencia lesiones de masa de baja densidad con realce de contraste y circundante edema; sin embargo, el grado de realce del anillo es dependiente del recuento de células T CD4+; ya que a medida que aumenta el recuento de células T CD4+, el realce se vuelve más prominente, por lo tanto, en aquellos que están inmunodeprimidos más gravemente, las características de la tomografía computada de la toxoplasmosis cerebral pueden ser muy inespecíficas, dado que se presenta simplemente como múltiples lesiones parenquimatosas hipoatenuantes con edema circundante. La resonancia magnética es más sensible para detectar dichas lesiones, permite una diferenciación más precisa de otras infecciones o etiologías inflamatorias, y puede definir mejor la cronicidad del absceso, en las imágenes con contraste, en la resonancia magnética la imagen correlativa del «signo diana» de la toxoplasmosis cerebral se define como un «signo de objetivo excéntrico», que, cuando está presente, puede ser revelador, pero es visto en menos del 30% de los casos.
El tratamiento va encaminado a los casos agudos y reactivados (ocasionado por los taquizoitos) dado que en la fase de latencia (etapa quística) no se puede erradicar los quistes, generalmente se utiliza pirimetamina (PYR) y se potencia cuando se combina con sulfadiazina (SDZ) o clindamicina (CLD) para en combinación con ácido folínico; la dosis alta de TMP-SMX es una alternativa cuando el régimen de primera línea no está disponible; debido a la posible alergia o toxicidad que puede ocurrir con el uso de estos medicamentos, se han utilizado regímenes con antibióticos tipo macrólido como azitromicina o el agente antipalúdico atovacuona. Desafortunadamente, el acceso limitado a medicamentos de primera línea en casos agudos puede obligar a los médicos a elegir una terapia alternativa8.
Esta es una enfermedad que se debe diagnosticar de manera temprana y adecuada para evitar complicaciones, además el tratamiento debe ser iniciado de manera temprana, dado que, si se retrasa, la mortalidad puede alcanzar un nivel muy alto en individuos inmunodeprimidos; es por esto que surge la importancia de divulgar este reporte de caso para enfatizar la sospecha clínica, el diagnóstico y el tratamiento.
FinanciaciónNo fue requerida.
Conflicto de interesesNo existe ningún tipo de conflicto de interés por parte de los autores.




