Este artículo es continuación de la revisión iniciada en el número anterior sobre la utilidad de la ecografía clínica musculoesquelética en atención primaria, y completa los escenarios de lesiones musculares, artrosis, enfermedades reumatológicas y procesos ecoguiados.
This article is a continuation of the review initiated in the previous issue about the usefulness of musculoskeletal point of care ultrasound in Primary Care, completing the scenarios of muscle injuries, osteoarthritis, rheumatological diseases and eco-guided procedures.
Las lesiones musculotendinosas constituyen más del 30% de las consultas de medicina deportiva1. La alteración del equilibrio y la coordinación, la fatigabilidad muscular y el grado de elasticidad son factores predisponentes. Se suelen deber a sobrecarga por mecanismo indirecto (hiperestiramiento o elongación) o directo (contusión, laceración)2. La causa principal del daño es la tensión muscular asociada al sprint y estiramiento, y afecta sobre todo a los isquiotibiales. La proximidad a la unión miotendinosa o miofascial es una característica constante tanto en la lesión por causa intrínseca como en el dolor muscular de aparición tardía (DOMS). Las alteraciones estructurales se producen muy cerca de dicha unión donde la capacidad de estiramiento sin rotura no es tan grande como el vientre muscular3.
La patología muscular traumática aguda afecta sobre todo a las extremidades inferiores (90%), y aunque no es infrecuente en la patología laboral, lo es más en la deportiva y es la principal causa de lesión muscular directa, generalmente asociando hematomas intramusculares4.
El médico de familia debe estar familiarizado con las lesiones musculotendinosas, cada vez más frecuentes en una población que practica deporte, y con su valoración ecográfica, para realizar un diagnóstico precoz y motivar el tratamiento rehabilitador que procure una mejor y precoz readaptación funcional, evitando la cronicidad de las lesiones y disminuyendo las complicaciones5.
Los ecógrafos de alta resolución actuales proporcionan imágenes de partes blandas de gran definición, lo que, unido a su inocuidad, portabilidad y capacidad de examen dinámico y comparativo, han convertido este método de imagen en una herramienta fundamental, de elección para el estudio del aparato locomotor y en especial para la evaluación de las lesiones musculares. En estas, la ecografía debe ser la primera prueba, ya que permite una evaluación del músculo dinámica, rápida, barata, inocua y seriada para el seguimiento hasta su curación. Las roturas musculares grado 1, la sobrecarga y el DOMS pasan inadvertidas en la ecografía6. A pesar de todo, esta técnica es de elección para mostrar la localización y extensión exacta de la lesión, información necesaria para valorar el pronóstico y el tiempo de reposo adecuado (tabla 1).
Clasificación de las roturas y pronóstico según criterios de imagen
| Nomenclatura | Estadios | Ecografía | Pronóstico |
|---|---|---|---|
| Contractura y DOMS | Grado 0 | Signos inconstantes. Edema entre fibras y miofascial Edema intersticial e intramuscular. Aumento de la vascularización local | 1-3 días |
| Microrrotura y/o elongación muscular | Grado I | Mínima solución de discontinuidad, edema entre fibras, y líquido interfascial (signo indirecto) | 3-15 días |
| Rotura fibrilar | Grado II | Claro defecto muscular, líquido interfascial y hematoma | 3-8 semanas |
| Rotura muscular | Grado III | Disrupción completa muscular y/o tendón, con retracción de la porción desinsertada del músculo (muñón evidente) | 8-12 semanas |
Utilizamos transductores lineales de alta frecuencia (7,5-12MHz), aunque se pueden necesitar frecuencias menores para músculos más profundos, como la región proximal del muslo y los glúteos. La exploración debe dirigirse a la zona de máximo dolor, inicialmente sin aplicar fuerza y después con una contracción isométrica gradualmente creciente, con una exploración longitudinal y transversal.
El estudio ecográfico del músculo exige conocer la compleja estructura de las fibras musculares, de la cubierta de tejido conjuntivo que lo rodea (epimisio, perimisio, endomisio), de las zonas de inserción (tendón, periostio, aponeurosis de inserción) y de los elementos asociados y adyacentes al músculo (tendones, vasos, cápsulas articulares...).
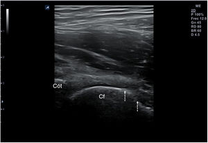
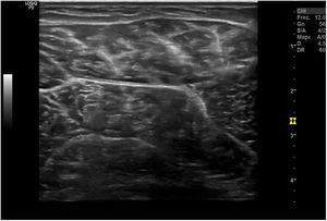
El músculo sano, ecográficamente, presenta una ecogenicidad inferior a la del tejido celular subcutáneo y una disposición de finas líneas paralelas ecogénicas, múltiples, en cortes longitudinales, en «pluma de ave» (fig. 1), y aspecto reticular en corte transversal «aspecto moteado» (fig. 2), rodeados por la fascia hiperecogénica y en su interior la unión miotendinosa también hiperecogénica4. En ecografía se describen 4 grados de lesión muscular propuestos por Peetrons en 20027 (tabla 2).
Grados de rotura muscular en ecografía
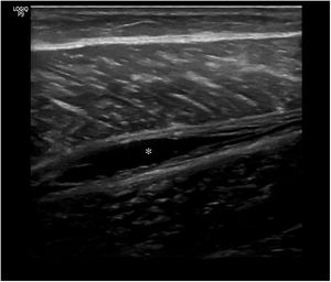
| GRADO 0: Ecografía negativa a pesar de clínica sugestiva Grado 1: Área sutil mal definida hiperecoica o hipoecoica sin defecto fibrilar objetivado o inflamación de la aponeurosis (fig. 3). Corresponde a una elongación con menos del 5% del músculo involucrado. El dolor puede ser intenso pero muy inespecífico Grado 2: Discontinuidad parcial de las fibras (fig. 4). Afecta entre el 5 y 50% del volumen muscular o del diámetro de la sección transversal. Defecto hipoecoico o anecoico dentro de las fibras musculares. Una suave presión con el transductor objetiva fragmentos desgarrados musculares que flotan en un fluido serohemático en «badajo de campana» Grado 3: Discontinuidad total de las fibras (fig. 5). Retracción completa del músculo. Lesiones clínicamente evidentes ya que el vientre retraído forma una masa muscular y un hachazo palpable en el músculo |
Fuente: Peetrons7.
Las patologías musculares más frecuentemente diagnosticadas por ecografía son las roturas parciales y totales, hematoma, absceso, contractura, miositis osificante, tumores, cicatrices y secuelas8. Los músculos que más frecuentemente se lesionan son los isquiosurales, aductores, recto femoral y cabeza medial del gastrocnemio.
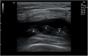
En la ecografía en el 50% de las lesiones grado 1 (fig. 3) se observará hiperecogenicidad en la lesión. En las de grado 2 (fig. 4) y 3 (fig. 5) se visualizarán regiones hipoecoicas indicativas de líquido adyacente a las fibras musculares. Se considera curación normal cuando hay una reducción en el tamaño o resolución de la región hiperecogénica, del hematoma o de la colección líquida. Si se demuestra tejido cicatricial durante el seguimiento es de importancia ya que, a mayor cicatrización, mayor riesgo de daño recurrente3.
Aparecen por la evolución inadecuada de una lesión aguda, produciendo síntomas dolorosos persistentes. Son pocas, aunque no raras, sobre todo la rerrotura, que suele ocurrir al no respetar un tiempo de reposo adecuado. Otras son: a) cicatriz fibrosa, en la que persiste induración local y dolor con el esfuerzo, y ecográficamente se identifica por aparición de finos sacos en la cavidad líquida además de la confirmación de un aspecto hiperecogénico, localizan la cicatriz y la zona de debilidad posterior del músculo; b) miositis osificante, es la complicación más grave pero la más rara, donde la ecografía objetivará el osteoma muscular con aspecto de hiperecogénico que proyecta un cono de sombra; y c) herniación muscular, que consiste en la rotura aponeurótica por la acción de un traumatismo violento.
Escenarios clínicos. Evidencia y utilidad de la ecografía en atención primaria (tabla 3)La anamnesis y exploración física nos van a orientar en el diagnóstico. La inspección y la palpación junto con maniobras dinámicas (movimientos activos y pasivos) son esenciales en la valoración del daño muscular, y la ecografía nos permite confirmar la existencia de lesión muscular, determinar la gravedad de la lesión, precisar la ubicación exacta, realizar control evolutivo y evaluar su carácter activo o de secuela6.
Escenarios clínicos, hallazgos y utilidad de la ecografía muscular en atención primaria
| Escenarios clínicos | Hallazgos ecográficos | Utilidad en atención primaria |
|---|---|---|
| Contractura muscular | No hallazgos significativos | Descarta patología |
| Hematoma intramuscular | No hallazgos en las primeras 48h Al 3.er día colección anecoica Alteración de la ecoestructura muscular | Detecta hematoma y rotura fibrilar. Control evolutivo |
| Rotura o desgarro muscular | Tipo 1: área sutil mal definida hipoecoica sin defecto fibrilar Tipo 2: discontinuidad parcial de las fibras Tipo 3: discontinuidad total de las fibras | Diagnostica el grado y la extensión Control evolutivo Derivar al segundo nivel si es grado 3 |
El médico de familia recibe cada vez más consultas por lesiones deportivas, debido a la generalización actual de la práctica deportiva, que aumenta la frecuencia de lesiones en gente no entrenada. La ecografía permite distinguir una contractura producida por un sobreesfuerzo de una rotura fibrilar. En el primer caso podemos pautar tratamiento en la propia consulta con fisioterapia posterior, y si se trata de una rotura amplia o masiva orientará la derivación al segundo nivel de forma precoz5.
A día de hoy, no hay evidencias que aconsejen el seguimiento por imagen de forma rutinaria en atletas y pacientes con lesiones musculares, salvo en 2 situaciones: en las lesiones grado 2 en las cuales los síntomas persistan a pesar del manejo y rehabilitación adecuadas, y en casos de sospecha clínica de nueva lesión3.
Ecografía clínica en la artrosisTécnica de exploraciónLa evaluación ecográfica de la artrosis depende de la localización de la articulación que se pretenda analizar. De todas ellas, la más estudiada es la rodilla. Para explorarla, se realizan cortes transversales con la rodilla en flexión forzada, en los que se podría observar una disminución del grosor del cartílago hialino (grosor normal en torno a 2mm) y calcificaciones puntiformes o lineales paralelas a la cortical ósea (fig. 6), lo que se ha dado en llamar «patrón punteado» o «en bandas de rosario»10. También cabría explorar mediante cortes longitudinales las caras medial y lateral en los que se pueden visualizar irregularidades en la cortical ósea que corresponderían a osteofitos (fig. 7), así como en el receso suprapatelar con la rodilla en semiflexión de 20-30° hallar distintos grados de sinovitis (fig. 8). Datos como la sinovitis, tradicionalmente estudiada en pacientes con artritis reumatoide procedentes de estudios basados no solo en ecografía sino también en otras pruebas radiológicas como la resonancia magnética (RM), están modificando el conocimiento que tenemos sobre la patogénesis de la artrosis que se había considerado clásicamente una enfermedad no inflamatoria; dejando ver un modelo más complejo con implicación de todas las estructuras articulares11–13.
Con menos estudios publicados se encuentra la artrosis de manos. Para una visualización óptima, se realizan cortes tanto longitudinales como transversales con la articulación en flexión máxima para visualizar la cara dorsal, y para visualizar la cara volar con la articulación en posición neutra14.
Por último, respecto de otras articulaciones como la cadera, se encuentran muy escasos estudios centrados en la artrosis como patología. Sí aparecen estudios centrados en el empleo del ultrasonido como ayuda para técnicas ecoguiadas que ocupará otro epígrafe del presente artículo. En los pocos artículos disponibles no se define la exploración de forma sistematizada salvo en alguno de ellos, que recomienda utilizar un corte paralelo al cuello femoral con la cadera en ligera rotación externa y la rodilla en flexión de 30°. De esta manera, en las imágenes se pueden observar osteofitos como irregularidades de la cortical ósea, o anormalidades de la cabeza femoral como aplanamiento o pérdida del contorno15 (fig. 9).
Escenarios clínicos en atención primaria y evidenciaEntre las localizaciones descritas, como se ha comentado, la artrosis de manos y caderas cuenta con muy pocos estudios en su mayoría descriptivos sin comparación con otras pruebas. Las escasas publicaciones comparativas que se encuentran sobre artrosis de la mano arrojan resultados contradictorios11,14–17.
Centrados en la gonartrosis cambian tanto el número como el tipo de estudios. Aparecen artículos que ya evalúan la concordancia intra- e interobservador11,18 y comparan resultados con los de otras pruebas diagnósticas como pueden ser la radiografía convencional o la RM11,13,19,20, incluso con los hallazgos clínicos11,20.
Los resultados de concordancia hallados tanto intra- como interobservador son en general de moderados a buenos, con coeficientes kappa para detección de sinovitis de 0,67-0,70 para la primera y de 0,50-0,52 para la segunda; la concordancia para daño en el cartílago, en el menisco medial u osteofitos es algo más pobre (coeficientes kappa 0,55-0,73 intraobservador y 0,34-0,60 interobservador)18.
Estudios comparativos frente a otras técnicas de imagen o frente a datos clínicos muestran una buena correlación diagnóstica. Respecto a la radiografía convencional, la ecografía se muestra al menos igual de buena en la valoración de algunos hallazgos como los osteofitos tibiofemorales13, igual de sensible que la RM para detección de osteofitos11, incluso más sensible que la radiografía convencional tanto en la detección de osteofitos femorales mediales y laterales, extrusión meniscal medial, y en la sensibilidad global de la prueba11,13. También se encuentra buena correlación en la literatura revisada entre las manifestaciones representadas por distintas escalas de dolor, limitación y calidad de vida por un lado, y los hallazgos ecográficos por otro12,20.
Otros estudios apuntan nuevos escenarios de posible desarrollo como pueden ser el seguimiento de la enfermedad21 o la respuesta a tratamientos intraarticulares22, pero por el momento no son indicaciones establecidas, además de que determinados consensos de expertos no recomiendan el uso de pruebas de imagen en el seguimiento a no ser que haya una evolución inesperada de los síntomas23.
En la mayoría de los estudios revisados las ecografías no son llevadas a cabo por médicos de familia, sino que las desarrollan radiólogos u otros especialistas como reumatólogos o internistas. Esto podría afectar a la validez y aplicabilidad de los resultados a la atención primaria, aunque sería beneficioso extrapolar estos resultados en estudios específicos en dicho ámbito.
Utilidad de la ecografía clínica de artrosis en atención primariaLa ecografía no es la técnica de elección en la práctica clínica diaria para establecer el diagnóstico de artrosis. No obstante, recomendaciones de expertos basadas en la evidencia abogan por la no necesidad de pruebas de imagen para el diagnóstico de artrosis en pacientes con una presentación típica. Sí las aconsejan en casos de presentación atípica (tabla 4) o cuando se plantea un diagnóstico diferencial (como puede ser detectar la calcificación del cartílago en la enfermedad por depósito de cristales de pirofosfato cálcico24). En estos, la técnica más utilizada sigue siendo la radiografía convencional23. A pesar de ello, se señala la ecografía como técnica a tener en cuenta en el diagnóstico diferencial por su capacidad para visualizar estructuras tanto óseas como de partes blandas, así como por ventajas de la propia técnica11 y los prometedores estudios comentados previamente. Algunos autores señalan una posible relación coste-efectividad más favorable para la ecografía respecto de la radiografía convencional en el primer nivel13, sin existir estudios específicos que evalúen este aspecto como objetivo principal.
Ecografía clínica en las enfermedades reumatológicas. Hallazgos esperables y utilidad en atención primaria
| Entidad | Hallazgos esperables | Utilidad en atención primaria |
|---|---|---|
| Artritis reumatoide | - Derrame articular - Hipertrofia sinovial - Erosiones óseas - Neovasos - Signos de afectación subclínica | - Ayuda al diagnóstico - Orienta el pronóstico - Orienta la derivación al nivel hospitalario - Facilita el manejo clínico - Permite evaluar la respuesta al tratamiento - Guía para infiltraciones |
| Artritis idiopática juvenil | - Derrame articular - Hipertrofia sinovial - Erosiones óseas - Neovasos - Signos de entesitis - Signos de afectación subclínica | - Ayuda al diagnóstico - Valoración de la extensión - Orienta la derivación al nivel hospitalario - Permite evaluar la respuesta al tratamiento - Facilita el manejo clínico |
| Espondilitis anquilosante | - Signos de entesitis (sobre todo aquílea y fascia plantar) - Neovasos - Ausencia de sinovitis - Signos de afectación subclínica | - Ayuda al diagnóstico - Orienta la derivación al nivel hospitalario - Facilita el manejo clínico - Permite evaluar la respuesta al tratamiento - Guía para infiltraciones |
| Artritis psoriásica juvenil | - Signos inflamatorios y destructivos en dedos de manos y pies - Signos de afectación articular subclínica | - Ayuda al diagnóstico - Orienta la derivación al nivel hospitalario - Facilita el manejo clínico - Permite evaluar la respuesta al tratamiento |
| Artritis microcristalina | - Derrame articular en nevada - Depósitos sinoviales y tofos - Erosiones óseas - Neovasos - Calcificaciones cartilaginosas (doble contorno con sombra, línea fina interior, punteado) - Microcalcificaciones con sombra acústica | - Ayuda al diagnóstico - Orienta la derivación al nivel hospitalario - Facilita el manejo clínico - Permite evaluar la respuesta al tratamiento - Guía para infiltraciones |
La ecografía mejora la evaluación diagnóstica y clínica de los pacientes con enfermedades reumatológicas y cambia las prácticas clínicas habituales, permitiendo que los pacientes con estas afecciones sean diagnosticados y tratados con mayor precisión y efectividad, mejorando los estándares de atención sanitaria. Esta técnica es ya una herramienta útil integrada en la práctica clínica y vinculada a la toma de decisiones en procesos de diagnóstico, actividad y tratamiento. Aunque existen algunas discrepancias entre la evidencia y el uso que aconsejan mantener un plan de formación continuada, no cabe duda de que la ecografía está cambiando la atención a los problemas de reumatología25.
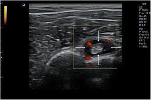
Técnica de exploraciónLa exploración ecográfica se realiza con sonda lineal de alta frecuencia (7,5-12MHz). Se debe hacer de forma estandarizada en las distintas áreas anatómicas, que permita identificar los diferentes tejidos, tanto normales como patológicos, observados en reposo y en movimiento. Los signos ecográficos patológicos habituales son la colección hipo- o anecoica comprimible y desplazable en recesos articulares en los derrames (fig. 10), el engrosamiento hipo- o anecoico del tejido en una vaina sinovial con o sin líquido en la tenosinovitis (fig. 11), la interrupción y espiculación de la línea cortical en las erosiones óseas (fig. 12), la aparición de material ecogénico en el espacio sinovial o articular en las sinovitis y el pannus respectivamente, y la presencia de señal doppler en los procesos con inflamación activa (fig. 13). Deben identificarse en 2 planos distintos para evitar la confusión por la presencia habitual de artefactos. Se ha de aplicar gel suficiente que permita el contacto de toda la superficie de la sonda con la piel, evitando el aire entre ambos, y se debe ejercer una presión firme pero no excesiva, que impida colapsar los neovasos visibles mediante el doppler. Estos serán más fáciles de encontrar con la articulación en flexoextensión fisiológica.
El uso de la ecografía en las afecciones reumatológicas mejora el diagnóstico de los pacientes, y orienta las decisiones terapéuticas, por contribuir al diagnóstico y monitorización de la inflamación activa, permitir la inyección y el depósito de medicación en el mismo tejido lesionado, y en menor medida pero también, contribuir al diagnóstico de una afección estructural y de tejidos blandos26, incluyendo casi todo el conjunto de enfermedades reumatológicas como, por ejemplo, las enfermedades inflamatorias autoinmunes, las enfermedades de depósito articular, la vasculitis, las espondiloartritis, la esclerosis sistémica, las afecciones de la glándula salival, etc.
Ecografía clínica en artrosis. Hallazgos esperables y utilidad en atención primaria
| Escenarios clínicos | Hallazgos esperables | Utilidad en atención primaria |
|---|---|---|
| Rodilla | - Disminución grosor cartílago hialino - Calcificaciones puntiformes - Osteofitos - Sinovitis | - Ayuda al diagnóstico - Presentación atípica - Diagnóstico diferencial -Visualiza partes blandas - Posible relación coste-efectividad más favorable |
| Manos | - Erosiones marginales - Osteofitos - Sinovitis - Disminución cartílago hialino (partes periféricas) | - Ayuda al diagnóstico - Presentación atípica - Diagnóstico diferencial -Visualiza partes blandas - Posible relación coste-efectividad más favorable |
| Cadera | - Osteofitos - Anormalidades cabeza femoral (aplanamiento, pérdida del contorno) | - Ayuda al diagnóstico - Presentación atípica - Diagnóstico diferencial -Visualiza partes blandas - Posible relación coste-efectividad más favorable |
La ecografía permite detectar sinovitis y erosiones de forma mucho más precoz que la radiografía convencional (RX), por lo que es útil para el diagnostico y seguimiento. Su inmediatez y disponibilidad la hacen más aplicable que la RM. Además, detecta inflamación con mayor sensibilidad que la exploración física (EF) y permite distinguir entre derrame y sinovitis en escala de grises27. Con la técnica de power-doppler permite localizar neovascularización sinovial relacionada con actividad inflamatoria, siendo la sinovitis el mejor predictor de erosión radiográfica28,29.Esto la hace especialmente eficaz para el diagnóstico en fases iniciales de la artritis cuando la EF no puede aclarar aún la existencia de signos inflamatorios articulares, si bien sus hallazgos no son específicos de artritis reumatoide. También permite valorar la extensión de la artritis, mediante la exploración ampliada de las articulaciones de manos, muñecas y metatarsofalángicas, permitiendo detectar inflamación en articulaciones aún asintomáticas30,31. Hay datos sólidos que demuestran la capacidad de la ecografía para la detección más precoz de erosiones que la RX32,33, aunque su capacidad es inferior a la de la RM33–35.
Varios estudios han demostrado la rentabilidad de la RM y la ecografía en la identificación de la sinovitis, de forma mucho más sensible que la EF27. Además, ambas técnicas permiten la valoración periarticular, pudiendo identificar entesitis, que reduce la probabilidad de artritis reumatoide y orienta hacia una espondiloartropatía. A diferencia de la RX, no solo aportan una imagen del daño estructural residual sino que muestran en tiempo real el grado de sinovitis, permitiendo detectar no solo la progresión de la enfermedad debida a la inflamación pasada, sino también medir la actividad actual de la enfermedad, información que está mucho más cercana a la toma de decisiones cotidianas.
Artritis idiopática juvenilLa ecografía por ser inocua e incruenta, y no precisar sedación, es una técnica idónea para práctica diaria en la población infantil. Posibilita valorar varias articulaciones a la vez, guía los procedimientos locales (artrocentesis e infiltración) y permite realizar exploraciones seriadas que monitorizan la evolución de la enfermedad y la respuesta terapéutica. Esta técnica puede utilizarse para establecer el diagnóstico de artritis idiopática juvenil. Se ha demostrado su utilidad en la valoración articular, mostrando alta sensibilidad para detectar la sinovitis, la hipertrofia de la sinovial y el derrame articular36. Detecta inflamación inadvertida en la EF, permitiendo conocer con exactitud la extensión de la enfermedad articular37, y con ello incluir al paciente de una forma más precoz y exacta en una determinada categoría de artritis idiopática juvenil. También distingue la sinovitis propiamente intraarticular de la periarticular (tenosinovitis), lesiones tendinosas y alteraciones de los tendones en sus inserciones (entesitis)38. Se ha establecido la correlación entre la vascularización sinovial mediante doppler y la evaluación clínica de la inflamación articular en la artritis idiopática juvenil39. En definitiva, la ecografía-doppler ayuda al clínico en la valoración diagnóstica del niño con artritis idiopática juvenil y proporciona un dato objetivo para sus decisiones clinico-terapéuticas.
Espondilitis anquilosanteLa ecografía ha demostrado ser una herramienta útil en la evaluación de la inflamación periférica de los pacientes con espondilitis anquilosante (EA), en especial de las entesis, donde esta técnica permite la detección subclínica de entesitis, al identificar neovasos mediante power-doppler. Se ha demostrado que prácticamente todos los pacientes con EA tienen entesitis cuando esta se evalúa con ecografía, mientras que el examen clínico la detecta con mucha menos frecuencia (14%).
Comparando con ecografía-doppler las entesis de pacientes con espondiloartritis (incluyendo EA, espondiloartritis indiferenciada, artritis psoriásica, espondiloartritis con enfermedad inflamatoria intestinal y artritis reactiva) frente a pacientes control (lumbalgia mecánica y artritis reumatoide), se ha hallado que en los primeros la entesitis es particularmente común en el tendón de Aquiles (79%) y la inserción en el calcáneo de la fascia plantar (74%)40. La distribución de las entesis afectadas no difería entre subtipos de espondiloartritis o si la inflamación era predominantemente axial o periférica.
Se han desarrollado diferentes índices ecográficos de entesitis41–43. Cuando se han comparado las valoraciones de entesis mediante ecografía y RM los resultados indican que la ecografía puede ser superior a la RM en la detección de los signos iniciales de entesitis, al menos en las localizaciones del talón42,43. El índice MASEI, que incluye las fascias plantares proximal y distal, tendón de Aquiles, tendón rotuliano distal y proximal, distal del cuádriceps y tríceps braquial, ha demostrado validez para la valoración de las EA, con sensibilidad, especificidad y razones de verosimilitud positiva y negativa (LR+, LR−) del 83,3; 82,8; 4,8 y 0,2%, respectivamente; y unos coeficientes de correlación intraclase inter- e intraobservador de 0,60 y 0,86, respectivamente44. Este mismo índice ha descubierto entesitis en pacientes con uveítis anterior aguda y HLAB27 positivo sin otros rasgos de EA45, siendo más frecuentes las entesitis ecográficas en estos pacientes que en aquellos con HLAB27 negativo o con otro tipo de uveítis que no se asocian a las EA. La ecografía-doppler se ha utilizado también en la valoración de la articulación sacroilíaca y de la respuesta al tratamiento en pacientes con espondiloartritis activos que iniciaban anti-TNF con una buena reproducibilidad46.
Artritis psoriásica juvenilAunque aún son pocos los estudios que demuestran verdadera utilidad de la EME en la artritis psoriásica juvenil47, los datos disponibles indican que esta técnica es, junto a la RM, más sensible que la RX y la EF para detectar los cambios inflamatorios y destructivos que aparecen en los dedos de manos y pies de estos pacientes, permitiendo detectar el compromiso subclínico48,49 y monitorizar la evolución de la enfermedad y el grado de respuesta al tratamiento47,50. Comparada con la RM, la ecografía es más barata y accesible, permite una exploración dinámica y de varias articulaciones en un mismo examen, y es bastante específica; pero es menos sensible (excepto en IFD) y es incapaz de detectar el edema óseo subcondral.
Artritis microcristalinaLa EME ayuda a realizar el diagnóstico diferencial entre gota, enfermedad por depósito de pirofosfato de calcio24 o hidroxiapatita por las características de la afectación cartilaginosa51. En la gota el depósito de urato monosódico en el cartílago origina imágenes hiperecogénicas independientemente del ángulo de insonación así como irregularidad del borde condrosinovial e imagen en nevada del liquido sinovial inflamatorio; en la enfermedad por depósito de pirofosfato de calcio es característica la aparición de una fina línea hiperecoica dentro del cartílago con o sin sombra acústica, depósitos hiperecoicos puntiformes o amorfos en los fibrocartílagos, calcificaciones lineales o áreas hiperecoicas en los tendones y depósitos ecodensos en las bursas o recesos articulares, y en la hidroxiapatita aunque las manifestaciones son inespecíficas, es frecuente hallar calcificaciones milimétricas con sombra acústica.
Punciones ecoguiadas en medicina familiar52–59Técnica de exploraciónPara realizar punciones superficiales, es preferible el uso de la sonda lineal de alta frecuencia por su mejor resolución superficial. Así, los accesos vasculares, los bloqueos neurales o las infiltraciones articulares, se beneficiarán de una guía visual de alta definición que permita una buena imagen de las estructuras menos profundas. En los drenajes de gran cantidad de fluido, o lesiones en profundidad, está indicado el uso de la sonda convexa de baja frecuencia. La toracocentesis o la paracentesis (en nuestro caso generalmente diagnósticas y rara vez terapéuticas) se beneficiarán del uso de esta sonda.
La punción se puede hacer en el eje largo de la sonda, denominada también «en plano» (fig. 14), con la aguja entre 30 y 45° de inclinación respecto a la superficie, lo que permite visualizarla en todo su trayecto, y lo hace muy recomendable cuando haya riesgo de lesionar estructuras cercanas. La aguja aparecerá en la pantalla como una línea hiperecogénica brillante con artefacto de reverberación (al ser un objeto metálico, se dibujarán líneas paralelas hiperecogénicas por debajo de la misma por un efecto espejo). Para poder visualizar correctamente todo el trayecto de la aguja, esta debe orientarse en el mismo plano de corte de la sonda.
En otros casos interesará realizar un abordaje en el eje corto de la sonda, denominado «fuera de plano»(fig. 15) introduciendo la aguja perpendicular a la sonda, en su parte media, de modo que en la pantalla será visible únicamente la punta. Esta técnica no permite seguir el trayecto completo de la aguja en un solo corte, pero ofrece una imagen precisa de su punta. El uso de una u otra técnica dependerá de las preferencias del profesional que realice la técnica, del tipo de punción y de las condiciones anatómicas de la zona.
Escenarios clínicos en atención primaria y evidenciaEn atención primaria puede aplicarse en distintos campos, en función de las competencias y capacidades de cada profesional y centro de salud (tabla 6).
Indicaciones y material para punciones ecoguiadas en atención primaria
| Técnica | Indicaciones | Material |
|---|---|---|
| Infiltración ecoguiada | Tendinitis y tendinosis Derrame articular Bursitis | Asegurar asepsia Sonda lineal de alta frecuencia Protector de sonda estéril Gel de ecografía estéril o povidona yodada en pomada/gel Jeringa y aguja en función de necesidades Anestésico+corticoide Bote estéril para enviar muestras al laboratorio en el caso del derrame |
| Bloqueos ecoguiados | Neuralgias | |
| Punciones vasculares ecoguiados | Canalización de vías difíciles (tortuosas, débiles) o cercanas a estructuras anatómicas de riesgo | |
| Drenajes | Abscesos Quistes Derrame articular Bursitis Hematomas |
Probablemente el campo más conocido y utilizado. Cada vez son más los médicos de familia que realizan infiltraciones articulares y periarticulares en el manejo de la patología inflamatoria del aparato locomotor. Pese a que habitualmente se realice la técnica «a ciegas» o por puntos de referencia, incorporar la guía ecográfica57,59 es importante para visualizar la estructura objetivo de la infiltración y garantizar la aspiración de líquido o el depósito del fármaco en la zona deseada.
Bloqueos ecoguiadosEl bloqueo neural mediante la infiltración perineural de fármacos anestésicos permite una abolición del dolor prácticamente inmediata. Algunos nervios superficiales pueden ser visualizados mediante ecografía, y controlar la difusión del fármaco alrededor del nervio, como sucede en el plexo braquial, el nervio femoral superficial o el ciático, ya sea a nivel glúteo o poplíteo. En otros casos, como en el bloqueo del serrato en el trauma torácico, el nervio no se visualiza, pero la ecografía permite guiar la aguja hasta la zona objetivo.
Punciones vascularesEn los accesos (venosos o arteriales) complejos, la ecografía puede resultar altamente valiosa. Canalizar una vía venosa en un paciente complejo (obesidad, vasos tortuosos...), obtener una vía central en el paciente inestable, o asegurar la extracción de sangre arterial para una gasometría, puede ser una prioridad en urgencias. Con la ecografía garantizamos la posición de la aguja en el vaso deseado, asegurando el acceso y evitando la lesión de estructuras circundantes.
DrenajesLas lesiones superficiales de contenido líquido, como quistes, hematomas (fig. 16) o abscesos, son drenadas frecuentemente en atención primaria. Sin embargo, el drenaje de líquido libre, ya sea torácico o abdominal, es menos frecuente pero puede ser muy interesante guiarlo por ecografía. Prever una toracocentesis compleja (visualizando la presencia de tabiques o por las características ecográficas y densitométricas del fluido), evitar la punción de asas intestinales u órganos abdominales en la paracentesis, o seleccionar el punto de entrada idóneo para cada punción evitando las estructuras vasculares, son solo algunas de las aplicaciones en este campo.
Utilidad de la ecografía clínica en las punciones en atención primariaEl uso de la ecografía como guía para la realización de punciones y técnicas invasivas permite un abordaje seguro, reduce las posibles complicaciones y mejora el resultado de la técnica. No solo permite visualizar la estructura objetivo de la punción, sino también detectar la presencia de estructuras vecinas, vasos que podrían ser lesionados por error o prever la dificultad del abordaje (y adaptar la técnica en caso necesario).
Conflicto de interesesLos autores declaran no tener ningún conflicto de intereses.

























