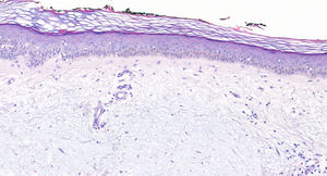
Presentamos el caso de una mujer de 62 años con lesiones en la piel en ambas pantorrillas hasta los tobillos, con piel engrosada, edema sin fóvea y piel de naranja con eritema y semejando elefantiasis desde hace 3 años (fig. 1). Entre sus antecedentes personales destacan diabetes en tratamiento con antidiabéticos orales, EPOC e hipotiroidismo en tratamiento y desde hace 4 años presenta exoftalmos. También refiere que hace 20 años fue diagnosticada de hipertiroidismo y tratada con yodo radioactivo. En su analítica destaca una glucemia basal de 154mg/dl y anticuerpos antirreceptor TSH de 5,78 UI/l (rango<10 UI/l). Cuando aparecen las lesiones en la piel compatibles con mixedema pretibial (MP) las cifras de anticuerpos antirreceptor TSH son de más de 400 UI/l, las de antitiroglobulina de 8,3 UI/l (rango<4,5UI/l) y anticuerpos antiperoxidasa de 140,4 UI/l (rango<60UI/l). Con estos datos de mixedema pretibial, exoftalmos y bocio difuso llegamos a la sospecha clínica de que se trataba de una enfermedad de Graves-Basedow (EGB). Desde atención primaria se derivó a la paciente a especializada, donde se obtuvo una biopsia punch con el resultado de depósitos extensos de mucina en la dermis papilar reticular, junto a atrofia epidérmica, fragmentación del colágeno y de las fibras elásticas, junto con un discreto infiltrado inflamatorio perivascular y perianexial de carácter linfocitario y presencia aislada de fibroblastos sin signos de malignidad (fig. 2).
El mixedema pretibial es una manifestación clínica que aparece en un 5% de los casos de EGB, que corresponde a una fase tardía de la enfermedad. Se trata de un proceso autoinmune con síntesis de anticuerpos IgG que estimulan el receptor tiroideo de la TSH generando hiperfunción. Estos anticuerpos son los más específicos y están presentes en el 95% de los pacientes no tratados. Otros anticuerpos, como los TPO antitiroperoxidasa y antitiroglobulina, están presentes en un 70% y 50% respectivamente1,2.
El MP es una mucinosis cutánea caracterizada por lesiones nodulares de mucopolisacáridos en la dermis y el tejido celular subcutáneo, en respuesta a la acción mantenida de la secreción de TSH en la glándula pituitaria3. Se han descrito varias formas clínicas de MP, de forma circunscrita o difusa, a saber: edema sin fóvea en un 58%, en placas 21%, nodular 20% y formas elefantiásicas en menos del 1%. Su localización pretibial y en el dorso de los pies puede causar dolor y prurito2,4.
En el manejo de esta paciente se incluyó tratamiento del MP con corticoides tópicos-oclusivos de alta potencia, con mejoría clínica ostensible al mes del inicio del tratamiento5. Para su hipotiroidismo se trató con levotiroxina oral, con el fin de reducir la actividad de los anticuerpos antitiroideos, y está pendiente de tratamiento con rituximab para su oftalmopatía infiltrativa6.
FinanciaciónLos autores no han recibido financiación pública o privada alguna para la elaboración de este trabajo.
Conflicto de interesesLos autores no presentan conflicto de intereses.





