Paciente 68 años que presenta antecedentes de tabaquismo activo, con un índice acumulado tabáquico de 10 paquetes/años, obesidad, hipertensión arterial y apnea obstructiva del sueño en tratamiento con un CPAP. Intervenido hace un mes de artroscopia de rodilla con tratamiento anticoagulante desde entonces. Acude a urgencias por disnea grado 2 mMrC, acompañado de frecuentes e intensos accesos de tos junto con dolor pleurítico en hemitórax derecho de varios días de evolución, sin antecedente traumático reciente. Al realizar la exploración se evidenció un bultoma en la pared costal derecha, que aumentaba con la espiración forzada. En la radiografía de tórax no se objetivaban alteraciones a excepción de mínimo derrame pleural, se decide ingreso del paciente para estudio (fig. 1).
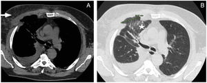
Durante su estancia en área de hospitalización, empeoramiento de la situación clínica con episodios de hemoptisis intermitente, decidiéndose realizar una angiotomografía computarizada de tórax (angio-TC) observándose rotura a nivel del 4.° al 7.° cartílago costal derecho, diátesis de los mismos, provocando la herniación de parénquima pulmonar por dicha zona junto con engrosamiento de la musculatura pectoral derecha, edema del tejido subcutáneo e infiltrados alveolares parcheados relacionados con pequeña área de sangrado a nivel del parénquima pulmonar (fig. 2).
A) Corte sagital angio-TC de tórax donde se objetiva mínimo derrame pleural derecho, asociado con defecto de continuidad a nivel de arcos costales y edematización de tejido muscular y subcutáneo (flecha). B) Corte sagital angio-TC de tórax observando la herniación del parénquima pulmonar junto con infiltrado asociado (estrella).
Ante dichos hallazgos, se realiza broncoscopia visualizándose restos hemáticos a nivel de lóbulo superior derecho. Posteriormente se contacta con cirugía de tórax decidiendo tratamiento conservador. Tras una semana de estabilidad clínica, con ácido tranexámico y antiinflamatorios, se decide alta y seguimiento en consultas.
Las hernias pulmonares consisten en la protusión de parénquima pulmonar a través de los espacios intercostales, relativamente infrecuentes, descritas por primera vez por Roland en el año 14991, se dividen en congénitas o adquiridas, dentro de este grupo, según el mecanismo de producción pueden ser traumáticas, postoperatorias o espontáneas2.
Fisiopatológicamente suelen deberse a un aumento brusco de la presión intratorácica con relación a cuadros de tos, esfuerzos y vómitos, entre otros. La obesidad y la enfermedad pulmonar obstructiva crónica (EPOC) son factores de riesgo para el desarrollo de esta enfermedad3.
La técnica de elección para el diagnóstico es la tomografía computarizada, ya que permite ver con mayor claridad los defectos en la pared costal y la protusión del parénquima, aun así, desde hace unos años se está dando más importancia a la ecografía torácica para ayudar al diagnóstico de esta enfermedad, gracias a su accesibilidad y visión directa4,5.
El tratamiento generalmente es quirúrgico, sin poder conocer la mejor vía de abordaje por la falta de literatura al respecto, aunque en ocasiones el tratamiento puede ser conservador, sobre todo, en hernias de pequeño tamaño y sin complicaciones asociadas2,3.
Actualmente, existe un gran número de pacientes con obesidad y EPOC en nuestras consultas, es importante recordar este tipo de enfermedades, sobre todo por su rareza, para poder realizar un diagnóstico preciso.
Responsabilidades éticasTodos los autores declaran que este manuscrito tiene el consentimiento informado del paciente para la divulgación del mismo
FinanciaciónEste manuscrito no ha recibido la financiación por ninguna empresa externa.





