Introducción. Los anticonceptivos orales son muy demandados por nuestra población (sobre todo joven) en la actualidad. Sin embargo, estos fármacos no están exentos de efectos adversos, que deben ser detectados y documentados precozmente. Éste es el caso de la incidencia de adenomas hepáticos, cuya correlación se observa claramente por su rápida desaparición tras la suspensión de los anticonceptivos en algunos casos.
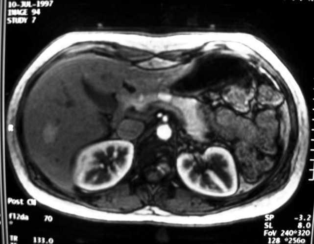
Caso clínico. Mujer de 30 años con el único antecedente personal de una meningitis linfocitaria en la infancia sin secuelas. No seguía ningún tratamiento habitual en la actualidad. Se inició tratamiento con anticonceptivos orales a petición de la paciente a la edad de 21 años. Acudió 2 años después a urgencias del hospital por dolor tipificado como cólico biliar. En el estudio ambulatorio de dicho cuadro se realizó una ecografía abdominal, en la que se observó una lesión nodular en segmento 5 del lóbulo hepático derecho. La resonancia magnética (RM) hepática reveló una lesión sugestiva de adenoma hepático en el segmento 5 de unos 24 mm de tamaño (fig. 1). El estudio fue completado con una punción-aspiración con aguja fina (PAAF) de la lesión, cuyas extensiones citológicas resultaron negativas para malignidad. Se suspendieron los anticonceptivos orales después de 3 años de su inicio. Posteriormente, en consultas sucesivas, la lesión hepática había desaparecido en las pruebas de imagen. En la actualidad la paciente se encuentra asintomática y no toma anticonceptivos orales.
Figura 1. Adenoma hepático en relación con la toma de anticonceptivos orales.
Discusión y conclusiones. Los adenomas hepáticos aparecen predominantemente en personas jóvenes y se localizan sobre todo en el lóbulo hepático derecho1-3. Suelen ser solitarios en un 70-80% de los casos, aunque en ocasiones son múltiples, en relación con los anticonceptivos orales, las enfermedades de depósito de glucógeno y en la adenomatosis hepática2. Respecto a la toma de anticonceptivos orales, se establece una relación que depende de la dosis y el tiempo de tratamiento. El riesgo suele ser mayor en pacientes > 30 años, en tratamiento durante más de 25 meses y con altas dosis de componente estrogénico1,2. Estos fármacos también alteran la historia natural de los adenomas hepáticos, que son más numerosos y de mayor tamaño.
El mecanismo de producción es desconocido; una hipótesis sugiere la transformación de los receptores esteroideos de los hepatocitos por los anticonceptivos2.
Suelen causar síntomas, como dolor abdominal en el epigastrio y el hipocondrio derechos y, a veces, como masa palpable o muerte súbita con cuadro de shock por rotura peritoneal; en menor proporción son asintomáticos4. Los hallazgos analíticos son poco frecuentes; puede observarse una elevación de la fosfatasa alcalina y la GGT. Su malignización precoz puede descartarse mediante estudios de imagen y la determinación de incrementos séricos de alfafetoproteína2.
El diagnóstico debe realizarse con los hallazgos clínicos, las pruebas de imagen (ecografía, tomografía computarizada y RM abdominal) y/o resección quirúrgica1-3. El mayor problema radica en la diferenciación del adenoma hepático de la hiperplasia nodular focal5 y para el diagnóstico definitivo se requiere en ocasiones la resección quirúrgica.
El manejo de estas pacientes es variable y depende de los síntomas, las características de la enferma y el tamaño y número de los adenomas hepáticos. Se suele recomendar la resección de los que causan síntomas, aunque su tamaño (aproximadamente > 5 cm) es controvertido1,2. En pacientes embarazadas, el comportamiento de estas lesiones es impredecible y en ocasiones requieren cirugía, como en el resto de pacientes.
Se puede concluir que las pacientes jóvenes consumidoras de anticonceptivos orales deberían ser revisadas periódicamente, ante la sospecha de reacción adversa hepática, bajo control ecográfico, al principio cada 2-5 meses1, y considerar la biopsia hepática (PAAF) o la cirugía en algunos casos. La suspensión de estos fármacos es primordial, ya que en algunos casos cabe esperar una resolución espontánea, como ocurrió con nuestra paciente; sin embargo, en la mayoría de las pacientes los adenomas no varían o disminuyen ligeramente el tamaño.




