La disección espontánea de una arteria visceral sin disección aórtica asociada es excepcional, aunque, recientemente, se han publicado un mayor número de casos gracias a los progresos en las técnicas diagnósticas. No se han dilucidado los factores de riesgo, causas y la historia natural de la disección aislada, espontánea. Se ha propuesto tratamiento quirúrgico abierto, la implantación de una endoprótesis con técnica endovascular o tratamiento anticoagulante; sin embargo, no se ha alcanzado un consenso sobre el tratamiento óptimo. Presentamos tres casos de disección espontánea y aislada de arterias viscerales. La disección afectó a la arteria mesentérica superior en un paciente y al tronco celíaco en dos. Los tres pacientes presentaron dolor abdominal agudo pero sin irritación peritoneal. Todos ellos fueron tratados de forma no quirúrgica con anticoagulación o antiagregación plaquetar. El seguimiento con técnicas por imagen demostró una mejoría de la disección en dos pacientes y ningún cambio en el otro. Durante un seguimiento medio de 17 meses todos permanecían asintomáticos. El tratamiento no quirúrgico con observación estrecha es una estrategia aceptable para la disección aislada, espontánea, de arterias viscerales. En pacientes sintomáticos sin pruebas de isquemia o hemorragia intestinal aguda no es obligatorio efectuar una intervención con carácter urgente.
La disección espontánea de una arteria visceral sin disección aórtica asociada es excepcional. Aunque recientemente se han publicado un mayor número de casos, gracias en parte a los progresos en las técnicas diagnósticas, desde su primera descripción, en 1947, se han documentado menos de 70 casos1-3. No se han dilucidado los factores de riesgo, causas ni historia natural de la disección aislada, espontánea, de una arteria visceral porque es una entidad poco frecuente. El inicio súbito de dolor abdominal es el síntoma más frecuente. Se han recomendado la corrección quirúrgica abierta, implantación de endoprótesis y tratamiento anticoagulante4-6. No obstante, no se ha alcanzado un consenso sobre la estrategia óptima de tratamiento. Presentamos tres casos de disección espontánea aislada, sintomática, de una arteria visceral tratados satisfactoriamente sin cirugía en nuestro hospital.
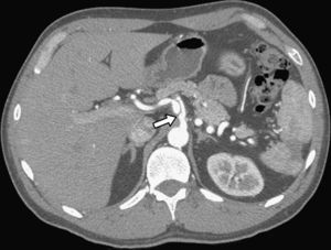
Casos ClínicosCaso 1Un hombre de 38 años de edad, por lo demás sano, se presentó en el servicio de urgencias con dolor lumbar izquierdo, cuya intensidad había ido en aumento. El paciente refirió dolor epigástrico y lumbar izquierdo de inicio súbito después de levantar una carga alrededor de 2 semanas antes de la presentación. El dolor abdominal se resolvió al cabo de pocos días sin tratamiento. No obstante, persistió la lumbalgia. En el momento de la presentación, el paciente carecía de irritación peritoneal y sus signos vitales y resultados de las pruebas de laboratorio fueron normales. La tomografía computarizada (TC) contraste demostró la disección aislada del tronco celíaco con ligera dilatación aneurismática e infartos esplénicos (fig. 1). La arteria y sus ramas eran patentes. No se identificó edema o líquido libre intestinal. El paciente fue ingresado, tratado con reposo intestinal y una infusión de heparina. El dolor lumbar se resolvió por completo al cabo de una semana (en total 3 semanas desde el inicio del cuadro). El paciente fue dado de alta tratado con warfarina y aspirina. Las imágenes de las TC de control efectuadas a los 3 y 6 meses demostraron la estabilidad de la disección y la disminución de la dilatación aneurismática (fig. 2). El tratamiento con warfarina se interrumpió a los 6 meses. El paciente ha permanecido asintomático durante el seguimiento de 2,5 años.
Un hombre de 64 años de edad con antecedentes de hipertensión arterial, hipercolesterolemia, asma, coronariopatía e infarto de miocardio, se presentó en el servicio de urgencias con dolor abdominal epigástrico y diarrea no sanguinolenta, de inicio súbito. En la exploración física, no se identificaron signos de peritonitis. Los datos de laboratorio revelaron leucocitosis con un recuento de 15.000/mm3. La TC abdominal con contraste demostró una disección aislada de la arteria mesentérica superior (AMS) con trombosis parcial que provocaba una estenosis del 40-50% (fig. 3). No se detectó la presencia de líquido libre o edema intestinal. Los hallazgos de la angiografía selectiva practicada al ingreso sugerían la presencia de una disección de la AMS, que no limitaba el flujo, y trombosis de la falsa luz. Se instauró dieta absoluta y perfusión de heparina sódica. El dolor abdominal y la diarrea se resolvieron al cabo de 2 días. Fue dado de alta en tratamiento con warfarina y aspirina. La TC de control efectuada a los 6 meses demostró un engrosamiento residual mínimo de la pared anterior de la AMS proximal sin signos de disección o estenosis residual (fig. 4). Se interrumpió el tratamiento con warfarina y se continuó con aspirina. Durante el año de seguimiento el paciente ha permanecido asintomático.
Durante un viaje transoceánico, un hombre de 72 años de edad con antecedentes de hipertensión arterial experimentó dolor epigástrico agudo asociado a náuseas y vómitos. Fue tratado con sueroterapia intravenosa y tratamiento de soporte. Sus síntomas mejoraron y el paciente regresó a Estados Unidos una semana más tarde. El paciente refería malestar epigástrico continuo y anorexia. No había signos de peritonitis. La TC abdominal con administración de contraste IV reveló una disección aislada del tronco celíaco que medía 22 mm de longitud con dilatación aneurismática de 15 mm de diámetro. La arteria estaba permeable y no se probaba trombo mural (fig. 5). No se detectaron pruebas de isquemia intestinal. Los resultados de las pruebas de laboratorio se encontraron dentro de límites normales. El paciente fue tratado con aspirina de manera ambulatoria. Las imágenes de las TC de control efectuada a los 3 y 6 meses demostraron la estabilidad de la disección y dilatación aneurismática (fig. 6). El paciente ha permanecido asintomático durante los 9 meses de seguimiento.
La disección espontánea de una arteria visceral sin disección aórtica asociada es muy poco frecuente. Desde que se describió el primer caso en 1947, se han publicado menos de 70 casos, incluidos los tres pacientes del presente estudio1-3. Se desconocen los factores de riesgo, causas e historia natural de este proceso debido a su escasa frecuencia. Se considera que la hipertensión arterial y el tabaquismo son factores de riesgo. En los estudios publicados, se destacan entre sus posibles causas la arterosclerosis concomitante, displasia fibromuscular, degeneración medial y vasculitis4,7. Es interesante resaltar que uno de nuestros pacientes era un hombre de 38 años de edad, por lo demás sano, sin factores de riesgo ateroscleróticos o antecedentes patológicos de interés. El paciente desarrolló disección aguda del tronco celíaco al levantar un peso. En este paciente no se encontró otro factor de riesgo o patología asociada. Este caso sugiere que el aumento rápido de la presión intraperitoneal puede ser una causa poco frecuente de esta entidad.
En los primeros estudios publicados se describieron 13 casos diagnosticados mediante autopsia6. Más recientemente, el diagnóstico se ha establecido en pacientes vivos gracias a los progresos de la angiografía y de la TC. Su historia natural sigue por dilucidar. En la mayoría de los casos publicados se utilizó tratamiento quirúrgico de urgencia, en particular en la disección de la AMS, debido al temor ante la aparición de infarto intestinal isquémico4. En una revisión de los estudios publicados en inglés, un total de 24 pacientes con disección aislada, espontánea, de esta arteria se sometieron a una intervención quirúrgica abierta. Cabe destacar que sólo uno de estos pacientes (4%) presentó un infarto intestinal en la exploración3,4,8-10.
Recientemente, en un mayor número de pacientes se ha instaurado tratamiento conservador con éxito1,3,6. Sakamoto et al describieron que 10 de sus 12 pacientes con disección de esta arteria fueron tratados con anticoagulación y observación estrecha. De ellos, nueve no presentaron incidentes durante un período de seguimiento de 7-72 meses y, 22 meses más tarde, un paciente se sometió a la implantación endovascular electiva de una endoprótesis debido a la agravación de la disección durante el ingreso, probada en los estudios por imagen. Los dos pacientes restantes requirieron tratamiento quirúrgico abierto. Uno se sometió a cirugía debido a la rotura de una rama de la AMS con hemorragia y el otro requirió laparotomía exploradora por isquemia intestinal3. Nagai et al6 describieron cuatro casos de disección aislada de la AMS tratados de forma conservadora con anticoagulación y observación cuidadosa. Las imágenes TC de seguimiento demostraron la resolución o la regresión de la disección y dilatación aneurismática en los cuatro pacientes6. Woolard y Ammar1 y Glehen et al11 documentaron que la disección espontánea aislada del tronco celíaco pudo tratarse de modo conservador sin complicaciones.
De los tres pacientes descritos en este estudio, dos presentaron disección aislada del tronco celíaco y el otro, de la AMS. Todos debutaron con dolor abdominal agudo sin pruebas de rotura arterial o infarto intestinal. Fueron tratados con anticoagulación y/o antiagregantes plaquetarios y observación estrecha. Los síntomas se resolvieron al cabo de un período de 2 días a 3 semanas. La TC de seguimiento con administración de contraste IV demostró que la disección de la AMS remitió dejando como secuela una hiperplasia mínima de la pared arterial (Fig. 4). En los otros dos pacientes la disección y dilatación aneurismática del tronco celíaco permanecieron estables y sus lesiones se resolvieron en el plazo de 6 meses.
No se ha alcanzado un consenso acerca de la duración del tratamiento anticoagulante. Se han publicado estudios en los que su duración ha variado desde 3 semanas hasta 6 meses en función de los síntomas de los pacientes y los hallazgos de las técnicas de imagen6. Dos de los pacientes del presente estudio con trombosis intraluminal fueron tratados con una tanda de warfarina durante 6 meses y aspirina con carácter indefinido. El paciente, que no presentó pruebas clínicas ni en las técnicas de imagen de trombosis o embolización, fue tratado con aspirina de forma ambulatoria. Ninguno manifestó síntomas isquémicos u oclusión arterial tardía.
La revisión de los estudios publicados y nuestra propia experiencia sugieren que es posible que la historia natural de la disección espontánea y aislada de una arteria visceral no sea tan grave como se consideraba previamente. En la mayoría de los casos descritos desde 2002 se ha observado un curso autolimitado1,3,6. El dolor abdominal agudo no se debe necesariamente al infarto intestinal transmural sino que es consecuencia de separación intimal transmural, infarto esplénico o isquemia intestinal leve. El tratamiento no quirúrgico con anticoagulación y observación cuidadosa es una estrategia eficaz en pacientes con esta entidad en los que no se observan pruebas de infarto intestinal o hemorragia a partir de rotura arterial. Sin duda, debe efectuarse una exploración y corrección quirúrgica urgentes si hay pruebas de infarto intestinal transmural o de hemorragia activa. Si está indicado, también pueden usarse la implantación endovascular de una endoprótesis y/o embolización como tratamiento alternativo. El tratamiento quirúrgico o endovascular profiláctico no parece estar justificado.
ConclusionesEl aumento rápido de la presión intraperitoneal, como al levantar una carga pesada, puede ser una causa insólita de disección aislada de una arteria visceral. La historia natural de este proceso podría no ser tan grave como se creía previamente. El dolor abdominal pasajero puede remitir al cabo de varios días a semanas. La intervención urgente no es obligatoria en pacientes sin infarto intestinal o rotura arterial. Puede utilizarse una estrategia conservadora con anticoagulación y/o antiagregantes plaquetarios, exploración seriada y seguimiento con técnicas de imagen sin acompañarse de secuelas adversas a largo plazo. Si los estudios de seguimiento con técnicas de imagen demuestran la resolución del trombo intraluminal, puede interrumpirse el tratamiento anticoagulante, continuándolo con antiagregantes plaquetarios, especialmente en pacientes sin signos sugestivos de trombosis o embolización distal.







