Durante los últimos años, la reparación endovascular de los aneurismas (REVA) de la aorta abdominal se ha convertido en una técnica mínimamente invasiva y viable como alternativa a la reparación mediante cirugía abierta. En la actualidad, han sido tratados mediante REVA 62.000 pacientes en todo el mundo1. En Estados Unidos, los sistemas de in-jerto-endoprótesis fueron aprobados por la Food and Drug Administration (FDA) en 1999 para su uso clínico. La fijación aórtica proximal es posiblemente la parte más crítica de la colocación de la endoprótesis. La existencia de un cuello aórtico infrarrenal favorable incrementa las probabilidades de la fijación y el sellado proximales, con reducción del riesgo de fuga tipo I, con el riesgo de endotensión y ulterior de rotura del aneurisma2. En los diferentes estudios realizados se han obtenido buenos resultados con la REVA en el 45-66% de las in-tervenciones3-5. Muy probablemente, la utilidad cada vez mayor de la REVA va a permitir abordar aneurismas aórticos abdominales (AAA) infrarrenales con un cuello aórtico más complejo, que en la actualidad requieren una intervención de cirugía aórtica con clampaje aórtico suprarrenal.
En los estudios aleatorizados se ha llegado a distintas conclusiones respecto a las ventajas potenciales de los abordajes retroperitoneal y transperitoneal en el tratamiento de los AAA infrarrenales6-8. Entre las ventajas evidentes del primero, están la disminución de las complicaciones pulmonares postoperatorias, incidencia de íleo paralítico y requerimientos de fluidoterapia. El objetivo de nuestro estudio consistió en comparar los resultados conseguidos con los abordajes transperitoneal y retroperitoneal en la reparación AAA infrarrenales con un cuello aórtico adverso y necesidad de clampaje suprarrenal, así como determinar la frecuencia relativa de aplicación de estos métodos tras la incorporación de la REVA en nuestra práctica clínica.
PACIENTES Y MÉTODOSSelección de los pacientesEntre enero de 1998 y septiembre de 2005 se llevaron a cabo en nuestro centro 478 intervenciones programadas de reparación de aneurisma aórtico infrarrenal (fig. 1). Se realizaron 160 (33%) intervenciones quirúrgicas abiertas (el 71% mediante abordaje transperitoneal y el 29% mediante abordaje retroperitoneal) y 318 (67%) reparaciones endovasculares. En conjunto, 61 pacientes (38%) presentaba un cuello aórtico de características anatómicas adversas, por lo que fue necesaria la intervención quirúrgica abierta. En 38 pacientes (el 24% de los intervenidos mediante cirugía abierta) se realizó el clampaje suprarrenal debido a un cuello adverso. Esta cohorte de AAA, en la que fueron incluidos 18 pacientes (47%) intervenidos mediante abordaje transperitoneal y 20 pacientes (53%) intervenidos mediante abordaje retroperitoneal, constituyó el grupo de estudio. La edad media fue de 70 años; 47% eran hombres; 16% sufría diabetes mellitus; 29% enfermedad pulmonar; 53% coronariopatía, y el 11% insuficiencia renal crónica (tabla I). El tamaño medio de los aneurismas fue de 6 cm. Tras la aprobación del estudio por parte del comité de investigación del centro, se analizaron retrospectivamente las características demográficas, factores de riesgo, informes quirúrgicos y evolución postoperatoria, con objeto de comparar los resultados postoperatorios a los 30 días entre las cohortes transperitoneal y retroperitoneal. Con el objetivo de determinar las posibles tendencias en el tipo de procedimiento realizado (cirugía abierta frente a REVA) en los abordajes realizados (retroperitoneal frente a transperitoneal), los resultados fueron analizados de manera separada en los períodos 1998-2001 y 2002-2005.
Fig. 1. Aneurismas aórticos infrarrenales reparados mediante una intervención programada en nuestro centro, entre enero de 1998 y septiembre de 2005. AAA: aneurismas aórticos abdominales; REVA: reparación endovascular del aneurisma.
Tabla I. Características demográficas de los pacientes
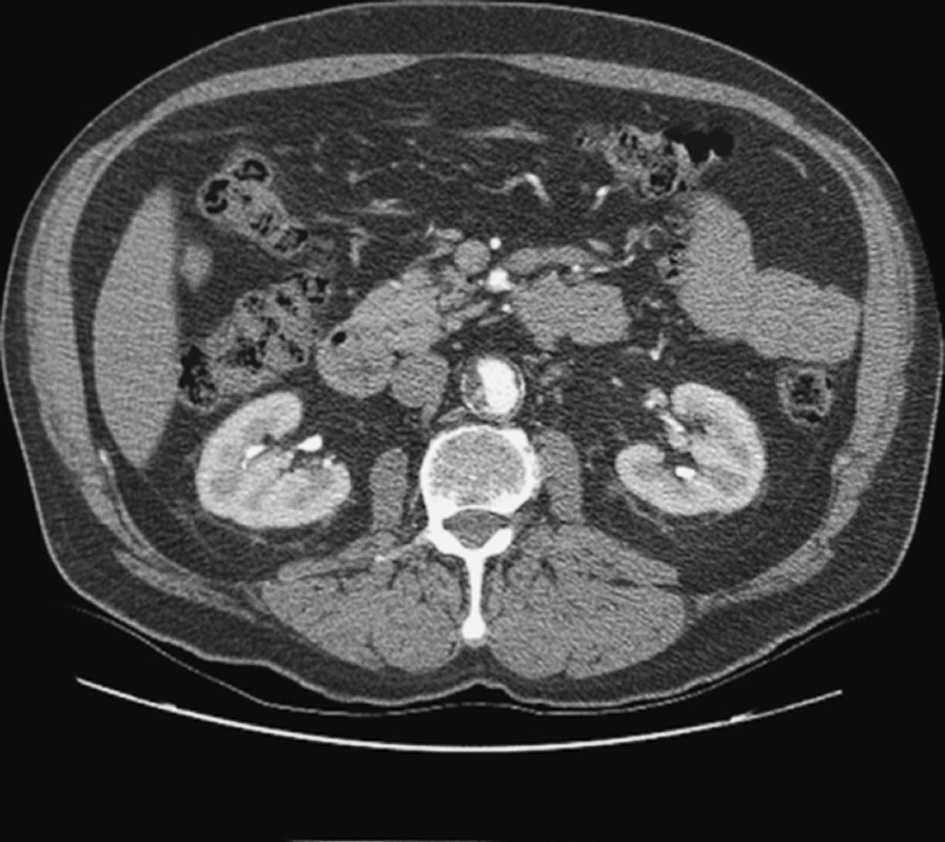
Todos los pacientes fueron reevaluados sistemáticamente mediante angiografía con tomografía computarizada (TC) abdominal y, en algunos casos, mediante aortografía (n = 18). El cuello aórtico adverso se definió como la existencia de angulación intensa (> 60°), cuello corto (< 15 mm), calcificación importante o presencia de trombo circunferencial. La anatomía adversa del cuello aórtico contraindicó en términos generales la realización de la REVA y llevó a considerar la cirugía abierta (figs. 2 y 3). La característica morfológica que impidió con mayor frecuencia la realización de un procedimiento endovascular fue el cuello aórtico corto (tabla II). En los pacientes considerados desde el punto de vista fisiológico poco idóneos para la cirugía abierta, la REVA fue una opción terapéutica a pesar de la anatomía adversa del cuello aórtico. La selección del abordaje transperitoneal o retroperitoneal en la cohorte de estudio con un cuello aórtico adverso quedó a criterio del cirujano. Las intervenciones fueron realizadas por siete cirujanos distintos durante el período de estudio. Fueron excluidos los pacientes con AAA suprarrenal, toracoabdominal o roto.
Fig. 2. Aneurisma aórtico infrarrenal con un cuello corto y angulado.
Fig. 3. Aneurisma aórtico infrarrenal con un trombo circunferencial en la parte proximal del cuello, inmediatamente por debajo de las arterias renales.
Tabla II. Evaluación de la morfología del cuello aórtico
CirugíaLos abordajes transperitoneal y retroperitoneal se realizaron de manera convencional. Brevemente, el abordaje transperitoneal se llevó a cabo mediante una laparotomía media, disección del peritoneo parietal hasta el ligamento de Treitz y movilización con retracción lateral del duodeno. Después, se disecó el retroperitoneo existente sobre el cuello del aneurisma, con una retracción moderada de la vena renal izquierda en dirección cefálica. La exposición retroperitoneal de la aorta se realizó con un abordaje de dirección oblicua efectuada entre la punta de las costillas 11 o 12 y el borde del músculo recto lateral a nivel paraumbilical. Los pacientes fueron colocados en posición de decúbito lateral intermedia pero con las caderas en posición de decúbito supino. Se efectuó la disección lateral de los músculos oblicuos transversos del abdomen, con desplazamiento del peritoneo hacia la derecha y desplazamiento en dirección anterior del riñón izquierdo. La rama lumbar de la vena renal izquierda fue disecada para facilitar la movilización anterior del riñón y de la vena renal.
Antes del clampaje suprarrenal se administraron por vía endovenosa 100 unidades/kg de heparina. Además, antes del clampaje aórtico en siete pacientes se administró manitol y dosis bajas de dopamina en otro. No se aplicaron medidas complementarias de protección frente a la isquemia renal, tales como perfusión fría. Se realizó la anastomosis de un injerto bifurcado de Dacron/politetrafluoroeti-leno (PTFE) a nivel de la aorta infrarrenal, aplicando para ello la técnica de endoaneurismorrafia. La heparinización sistémica fue revertida con sulfato de protamina. Los abordajes se cerraron de manera habitual y el paciente trasladado inicialmente a la unidad de cuidados intensivos. El dolor se controló mediante la administración de analgésicos opiáceos por vía endovenosa o con colocación de un catéter epidural permanente. El seguimiento de los pacientes a los 14 y los 30 días de la intervención se llevó a cabo en la consulta de Cirugía Vascular.
Evaluación de los resultadosLos principales parámetros analizados fueron los datos intraoperatorios y las complicaciones postoperatorias. Los detalles intraoperatorios revisados fueron el tipo de abordaje y reparación, la realización del clampaje suprarrenal, pérdida estimada de sangre y necesidad de reintervención. Las complicaciones postoperatorias analizadas fueron las siguientes: hematoma o infección de la herida quirúrgica, neumonía, infección urinaria, infarto de miocardio, insuficiencia renal, necesidad de diálisis, trombosis venosa profunda y eventración. La insuficiencia renal fue definida como un nivel postoperatorio de creatinina superior a 2,0 mg/dl o como un incremento en la creatinina plasmática del 50% respecto al valor basal. El infarto de miocardio fue definido a través de la elevación de las enzimas cardíacas y de la aparición de alteraciones electrocardiográficas. La neumonía fue determinada radiológicamente; la infección urinaria se demostró mediante la positividad en el cultivo de orina, y la trombosis venosa profunda fue diagnosticada mediante eco-Doppler. Las complicaciones en la herida quirúrgica fueron determinadas en ambos grupos de estudio mediante la exploración física. También se valoró la duración de la hospitalización y la mortalidad a los 30 días. La mortalidad a largo plazo se determinó sobre la base del Social Security Death Index.
Análisis estadísticoLos datos se presentan en forma de valores promedios y rangos, a menos que se indique de otro modo. Se utilizaron los valores promedios debido al pequeño tamaño del grupo de pacientes evaluados y a la distribución irregular de algunas de las variables de evolución. Las comparaciones estadísticas entre los grupos se efectuaron mediante la prueba t de Student y la prueba exacta de Fisher. La supervivencia tras la intervención quirúrgica se calculó mediante el método de Kaplan-Meier. Se comprobaron las interacciones entre las variables estadísticamente significativas. La significación estadística fue definida como un valor p < 0,05. Para los cálculos estadísticos se utilizó el programa informático STATISTICA (un sistema de software para el análisis de datos), versión 6.1 (StatSoft, Tulsa, OK).
RESULTADOSEl número total de intervenciones de reparación de aneurisma aórtico infrarrenal se incrementó a partir de 2002 desde 212 hasta 266 (p = 0,002). Después de 2002, las intervenciones de REVA aumentaron desde el 60% hasta el 71% (p = 0,04), pero las intervenciones de cirugía abierta disminuyeron desde el 40% hasta el 29% (p = 0,01). Entre los dos períodos de tiempo evaluados, el abordaje retroperitoneal se duplicó desde el 19% (n = 16) hasta el 39% (n = 30), mientras que el abordaje transperitoneal se redujo desde el 81% (n = 68) hasta el 61% (n = 46) (p = 0,02). El clampaje suprarrenal se incrementó en un 11% a partir de 2002 (18/84 a 20/76). El clampaje suprarrenal también fue más frecuente en las intervenciones con abordaje retroperitoneal (43%) que en las que se utilizó la vía transperitoneal (16%). En la cohorte de estudio en la que fue necesario el clampaje suprarrenal se realizaron 20 intervenciones de reparación con un abordaje retroperitoneal y transperitoneal en 18. No hubo diferencias significativas en la edad, el sexo, tamaño del aneurisma o comorbilidades, entre los grupos de abordaje transperitoneal y retroperitoneal con clampaje suprarrenal.
La mayor parte de los pacientes (28/38) fue intervenida por tres cirujanos. La decisión respecto al abordaje se distribuyó entre los distintos cirujanos de la manera siguiente: cirujano A, retroperitoneal en el 50%; cirujano B, retroperitoneal en el 46%; cirujano C, retroperitoneal en el 67%. El clampajeaórtico se realizó por encima de ambas arterias renales en 26 pacientes, por encima de la arteria renal izquierda pero por debajo de la arteria renal derecha en seis pacientes, y por encima de la arteria renal derecha pero por debajo de la arteria renal izquierda en un paciente. En dos pacientes el clampaje se efectuó por encima de la arteria mesentérica superior y en tres pacientes a nivel supracelíaco. En los casos en los que se llevó a cabo un clampaje supravisceral, en dos pacientes se efectuó un abordaje transperitoneal, y retroperitoneal en tres.
Los resultados intraoperatorios y la evolución postoperatoria se recogen en las tablas III y IV. En el grupo de abordaje transperitoneal la pérdida de sangre fue significativamente mayor y el tiempo de clampaje suprarrenal más prolongado (p = 0,03). En el grupo transperitoneal hubo una frecuencia mayor de injertos bifurcados (61% frente a 45%, sin significación estadística). La vena renal izquierda fue seccionada en siete pacientes del grupo transperitoneal (39%).
Tabla III. Datos intraoperatorios
Tabla IV. Mortalidad y complicaciones postoperatorias
No hubo diferencias significativas en las evoluciones postoperatorias (tabla IV). Un aspecto destacado es el hecho de que fue necesaria la diálisis postoperatoria en dos pacientes del grupo retroperitoneal. Ambos pacientes sufrían insuficiencia renal antes de la intervención y requirieron un tiempo de clampaje suprarrenal de 47-50 min. Por otra parte, en tres pacientes fue necesaria una reintervención debido a hemorragia (n = 2) y para realizar una trombectomía de la extremidad inferior (n = 1). No hubo diferencias en la duración de la hospitalización entre ambos grupos. La mortalidad a los 30 días fue de 2/38 (5%) y sólo se observó en el grupo de abordaje transperitoneal (p = 0,13). Un paciente presentó durante el clampaje rotura de la pared aórtica infrarrenal, además de una laceración esplénica; después desarrolló coagulopatía, acidosis y arritmia cardíacas. El otro requirió una trombectomía en la extremidad inferior, tras lo cual presentó insuficiencia renal aguda y síndrome de distrés respiratorio.
Seguimiento a largo plazoUn paciente de cada grupo presentó dolor postoperatorio en la zona del abordaje, y un paciente del grupo transperitoneal sufrió eventración. El análisis mediante tablas de mortalidad no mostró diferencias significativas en la supervivencia a largo plazo entre los dos grupos de abordaje transperitoneal y retroperitoneal (tabla V) (p = 0,23). El error estándar superó el 10% ya al cabo del primer año de seguimiento, lo que indicó la falta de fiabilidad de las estimaciones. El período de seguimiento medio fue de 24 meses (límites, 6-60). Al cabo de 5 años hubo 17 (85%) fallecimientos en el grupo retroperitoneal y 14 (78%) fallecimientos en el grupo transperitoneal.
Tabla V. Curva de supervivencia de Kaplan-Meier en los abordajes transperitoneal y retroperitoneal (p = 0,23)
DISCUSIÓNEn la actualidad, la REVA se considera una alternativa fiable a la cirugía abierta en los pacientes con aneurisma abdominal. En estudios aleatorizados sobre pacientes con características anatómicas idóneas para la REVA y con características también idóneas para la reparación abierta, se ha demostrado que la REVA ofrece resultados mejores a corto plazo9,10. Sin embargo, la REVA no parece tener ventajas respecto a la mortalidad por cualquier causa al cabo de 4 años, aunque sí en la supervivencia relacionada con el aneurisma.
La incidencia global del uso de la endoprótesis en los pacientes intervenidos para reparación del AAA ha oscilado entre el 40% y el 66%3-5. En nuestro estudio, la idoneidad para la REVA fue del 67% a lo largo de todo el período de estudio. La razón más habitual para la exclusión de la REVA es la existencia de características anatómicas adversas en el cuello del aneurisma aórtico4. Además, observamos un incremento constante y significativo en el número de intervenciones de REVA a partir de 1998. Esta tendencia se ha acompañado de un uso mayor del abordaje retroperitoneal para el clampaje aórtico suprarrenal en los pacientes intervenidos mediante cirugía abierta.
En un estudio reciente se ha observado que la reparación del aneurisma abdominal mediante cirugía abierta es un procedimiento técnicamente más complejo en la actualidad que antes de la introducción de las endoprótesis vasculares4. La complejidad de la reparación aórtica ha ido aumentando, requiriendo con mayor frecuencia de clampaje suprarrenal, disección de la vena renal y tratamiento concomitante de aneurismas ilíacos y procesos oclusivos. Sin embargo, los resultados obtenidos en otro estudio no apoyaron la hipótesis de que las intervenciones de cirugía abierta aórtica como tratamiento de los aneurismas y de la patología oclusiva hayan presentado en la actualidad un incremento de su complejidad técnica debido al incremento en el número de procedimientos de REVA5.
El clampaje suprarrenal en la cirugía de aneurisma aórtico se ha asociado a un incremento en la incidencia de complicaciones postoperatorias y a un aumento relativo de la mortalidad, en comparación con el clampaje infrarrenal11-13. En nuestro centro, la frecuencia de realización del clampaje suprarrenal ha ido aumentando con el tiempo. Shaw et al14 señalaron que fue necesario el clampaje suprarrenal en el 25% (12 de 45) de los pacientes con cuello aórtico desfavorable. En este grupo de estudio no se señaló el abordaje utilizado, pero la duración del clampaje suprarrenal proximal osciló entre 24 y 29 min. El clampaje suprarrenal se debe considerar en los casos de disección periaórtica difícil11. Generalmente, el abordaje retroperitoneal ha sido el preferido para el clampaje aórtico debido a que permite un mejor abordaje exposición de toda la aorta suprarrenal. En estudios más recientes, se ha demostrado que el clampaje aórtico suprarrenal es seguro, facilita la reparación y no incrementa significativamente la mor-talidad15,16.
A lo largo de los 25 últimos años se ha generado un entusiasmo creciente por el abordaje retroperitoneal, especialmente en el caso de las lesiones aórticas más complejas17,18. Las indicaciones relativas para la exposición retroperitoneal son los antecedentes de intervenciones quirúrgicas abdominales múltiples, riñón en herradura y aneurisma inflamatorio19. Las indicaciones relativas para la exposición transperitoneal son el abordaje a un aneurisma en la arteria ilíaca derecha o la presencia de un aneurisma que afecta a ambas arterias renales, localización izquierda de la vena cava, coexistencia de patología intraabdominal o rotura de un AAA. La selección del abordaje transperitoneal o retroperitoneal en nuestro estudio quedó a criterio del cirujano. En nuestra revisión retrospectiva no fue posible determinar los parámetros precisos que cada cirujano concreto utilizó para decidir respecto al abordaje que llevó a cabo. Entre los tres cirujanos que realizaron más de cinco procedimientos cada uno, la decisión respecto al tipo de abordaje presentó una distribución muy uniforme.
Se han publicado tres ensayos clínicos con asignación aleatoria sobre pacientes intervenidos mediante reparación de un AAA infrarrenal, y en los tres se han alcanzado conclusiones distintas respecto a las ventajas potenciales de los abordajes retroperitoneal y transperitoneal6-8. Cambria et al6 no observaron diferencias entre los abordajes en lo relativo a los tiempos de clampaje aórtico, los requerimientos de transfusión ni el grado de hipotermia. La incidencia de las complicaciones respiratorias fue idéntica en ambos grupos. No hubo diferencias entre ambos abordajes respecto a otros aspectos de la recuperación postoperatoria, tales como la reanudación de la motilidad gastrointestinal, requerimientos de analgésicos opiáceos, parámetros metabólicos del estrés quirúrgico, incidencia de complicaciones mayores y menores, y duración de la hospitalización. Sicard et al7 observaron que el abordaje retroperitoneal en la cirugía aórtica abdominal se asoció a menos complicaciones postoperatorias, una hospitalización menor tanto en la planta hospitalaria como en la unidad de cuidados intensivos, y a unos costes económicos también menores. En el seguimiento a largo plazo, los pacientes del grupo de abordaje retroperitoneal señalaron sufrir un dolor más intenso en el abordaje, pero no hubo diferencias en lo relativo a eventraciones. En otro estudio efectuado con asignación aleatoria, Sieunarine et al8 no observaron diferencias significativas entre los dos abordajes (transperitoneal y retroperitoneal) respecto al tiempo quirúrgico, el tiempo de clampaje, la pérdida de sangre, los requerimientos de analgésicos, la función gastrointestinal, la mortalidad y la duración de la hospitalización. En el seguimiento a largo plazo hubo una incidencia significativamente mayor de problemas en la herida en el grupo retroperitoneal, tales como protrusiones, eventraciones y dolor. La mortalidad a largo plazo fue similar en ambos grupos.
En una revisión retrospectiva efectuada sobre pacientes con aneurisma y patología oclusiva, se observó una disminución del tiempo de hospitalización en la unidad de cuidados intensivos, de la incidencia de íleo paralítico durante el postoperatorio, del volumen de cristaloides necesarios durante la intervención y de la hospitalización total en el grupo de abordaje retroperitoneal, todo ello en comparación con el grupo transperitoneal20. Ya en la era de la REVA, en un estudio más reciente se observó que el abordaje retroperitoneal modificado (utilizado principalmente en los pacientes con características anatómicas difíciles y con comorbilidades médicas) se acompaña de tasas de mortalidad operatoria y de complicaciones comparables a las correspondientes al abordaje transperitoneal14.
Los dos pacientes que requirieron diálisis en nuestro estudio sufrían insuficiencia renal y habían sido sometidos a un clampaje aórtico suprarrenal prolongado. Aparentemente, si la duración del clampaje suprarrenal es breve, los pacientes con concentraciones preoperatorias normales de creatinina no muestran un incremento tras la cirugía aórtica, o bien, este es de carácter marginal21. El clampaje aórtico suprarrenal de duración inferior a 50 min parece ser seguro y bien tolerado en este grupo de pacientes. En nuestro estudio no hubo diferencias entre los dos abordajes utilizados en cuanto al dolor en la zona de abordaje o en cuanto a la incidencia de eventraciones. Consideramos que en el caso de abordaje retroperitoneal es importante realizar un abordaje alineado con las costillas, con objeto de evitar la lesión de los nervios intercostales, evitar también la profundización del abordaje en el espacio intercostal y facilitar un cierre cuidadoso del abordaje.
La tasa de supervivencia a los 5 años fue de tan sólo el 15% en el grupo retroperitoneal y del 22% en el grupo transperitoneal (diferencias no significativas). Estas proporciones de supervivencia son bajas en comparación con las que se han obtenido en los estudios realizados sobre cirugía programada de AAA infrarrenal. En las publicaciones más recientes, las tasas de supervivencia a los 5 años tras la reparación con buenos resultados del AAA son de aproximadamente el 70%, en comparación con un porcentaje aproximado del 80% en la población general ajustada por edad y sexo22. En nuestro estudio no pudimos encontrar una explicación adecuada de la baja supervivencia, con excepción de que posiblemente participaron pacientes con aneurisma aórtico infrarrenal que mostraban una gravedad mayor que la población general de pacientes con este tipo de aneurisma.
En la actualidad, ya se están empezando a realizar reparaciones endovasculares sobre aneurismas con una anatomía adversa del cuello aórtico. Durante los últimos años, diversos pacientes seleccionados con un cuello aórtico inferior a 15 mm han sido tratados en nuestro centro mediante endoprótesis con fijación suprarrenal. Las endoprótesis fenestradas pueden ampliar las opciones terapéuticas en los AAA infrarrenales con cuellos aórticos no idóneos para la reparación endovascular. Los datos preliminares demuestran una tendencia hacia la mayor mortalidad en los pacientes seleccionados que son intervenidos mediante endoprótesis fenestradas, en comparación con los pacientes intervenidos mediante reparación convencional con endoprótesis, pero esta tasa de mortalidad es comparable a la correspondiente a la corrección quirúrgica abierta23. Ciertamente, antes de que este procedimiento sea aceptado en la práctica asistencial sistemática es necesaria una evaluación clínica de sus resultados y de su duración.
Las limitaciones principales de nuestro estudio han sido su naturaleza retrospectiva y el número limitado de pacientes intervenidos sometidos a clampaje suprarrenal. Sin embargo, consideramos apropiado el análisis del abordaje quirúrgico realizado en nuestro grupo de pacientes, teniendo en cuenta la escasez de estudios previos al respecto y el número cada vez mayor de intervenciones de REVA que se realizan. En nuestro estudio, no se ha llevado un proceso de asignación aleatoria, lo que implica la existencia de potenciales factores de confusión que podrían modificar la evolución al distribuirse de forma heterogénea entre los dos grupos de abordaje. Indudablemente, un ensayo clínico multicéntrico y aleatorizado podría determinar con mayor precisión cuál es el mejor abordaje en este tipo de pacientes.
En conclusión, en nuestro grupo de pacientes con un cuello aórtico infrarrenal de características anatómicas adversas (que impedía la reparación REVA) y con necesidad de clampaje suprarrenal, el abordaje retroperitoneal fue mejor que el transperitoneal. Las ventajas del abordaje retroperitoneal fueron una pérdida de sangre menor durante el período perioperatorio y un tiempo de clampaje suprarrenal también menor, lo que podría explicar la tendencia hacia una mayor supervivencia a los 30 días.
Presentado en la 17.ª reunión anual de invierno de la Peripheral Vascular Surgical Society, Steamboat Springs, CO, 26-28 de enero de 2007.Correspondencia: Hisham S. Bassiouny, MD, University of Chicago, Department of Surgery, Section of Vascular Surgery, 5841 S. Maryland
Avenue, MC 5028, Chicago, IL 60637, EE.UU. Correo electrónico: hbassiou@surgery.bsd.uchicago.edu Ann Vasc Surg. 2007;21:687-94 DOI: 10.1016/j.avsg.2007.07.012 ©Annals of Vascular Surgery Inc. Publicado en la red: 2 de noviembre de 2007









