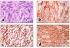
El sarcoma sinovial es una rara neoplasia encontrada en tejidos blandos; es un tumor mesenquimal de células fusiformes que no está relacionado con la membrana sinovial y muestra diferenciación epitelial variable. Típicamente surge en las extremidades, pero aunque se ha descrito en casi todas las localizaciones de cabeza y cuello, la afectación de esta región es mucho menos común.
Synovial sarcoma is a rare tumour found in soft tissue; it is a mesenchymal spindle cell tumour that is not related to the synovial membrane. This tumour has a low incidence, the most frequent place of occurrence being the lower extremities in young adults. Synovial sarcoma of the head and neck accounts for 3–5% of sarcomas in this anatomical region. The treatment of choice for synovial sarcoma of the head and neck is complete surgical excision of the tumour mass followed by adjuvant radiotherapy.




