metricas
covid
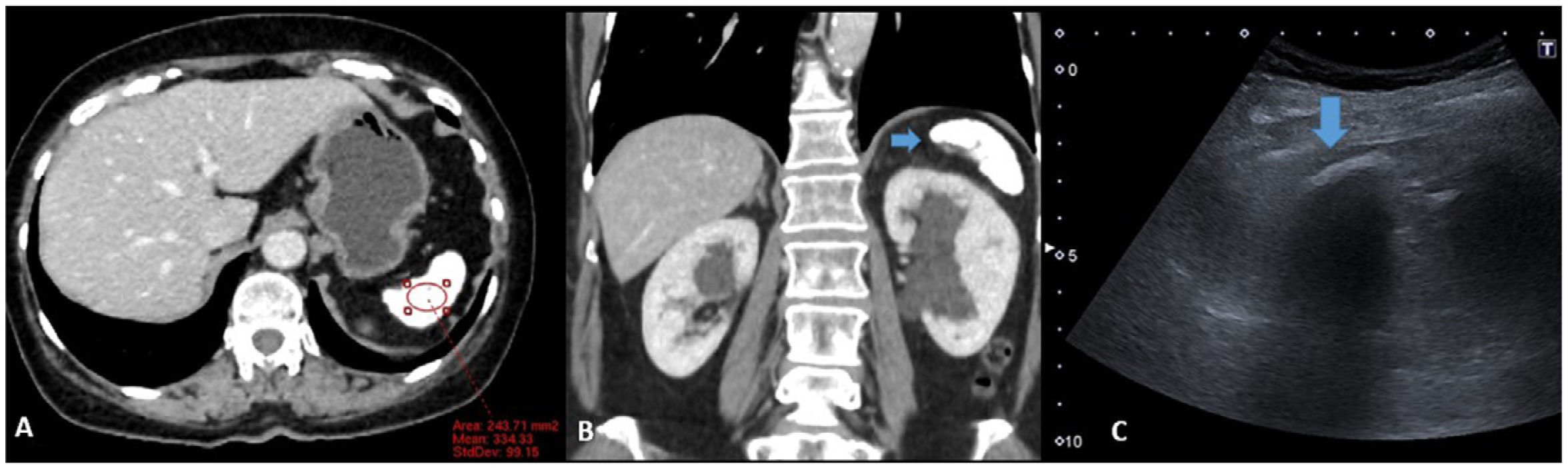
Radiología (English Edition) Thorotrast®: Lessons from the past for present radiological practice
Journal Information
Vol. 66. Issue 2.
Pages 186-188 (March - April 2024)
Vol. 66. Issue 2.
Pages 186-188 (March - April 2024)
Scientific letter
Thorotrast®: Lessons from the past for present radiological practice
Thorotrast®: lecciones del pasado para la práctica radiológica del presente
Visits
80
A. Aranaz Murillo
Corresponding author
aaranaz@salud.aragon.es

Corresponding author.
, E. Pascual Pérez, R. Larrosa López, L. Sarría Octavio de Toledo
Servicio de Radiodiagnóstico, Hospital Universitario Miguel Servet, Zaragoza, Spain
This item has received
Article information
Full Text
Bibliography
Download PDF
Statistics
Figures (2)

Article

These are the options to access the full texts of the publication Radiología (English Edition)
Subscriber
Subscriber

If you already have your login data, please click here .

If you have forgotten your password you can you can recover it by clicking here and selecting the option “I have forgotten my password”
Purchase
Purchase article

Purchasing article the PDF version will be downloaded

Purchase now
Contact
Phone for subscriptions and reporting of errors
From Monday to Friday from 9 a.m. to 6 p.m. (GMT + 1) except for the months of July and August which will be from 9 a.m. to 3 p.m.
Calls from Spain
932 415 960
Calls from outside Spain
+34 932 415 960
E-mail