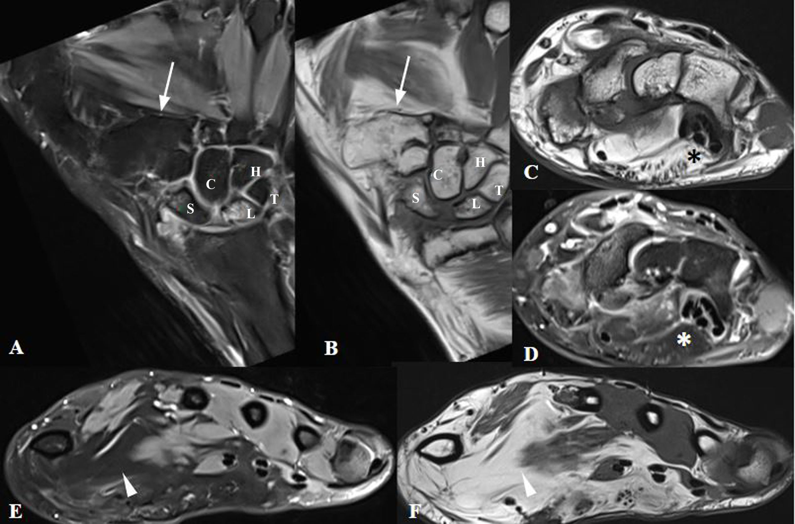
Lipomatosis of nerve (LN) is a rare condition characterised by fibroadipose lesions affecting the peripheral nerves. It presents a complex clinical challenge, often associated with macrodystrophia lipomatosa. Various imaging techniques, specifically magnetic resonance imaging (MRI) and ultrasound (US), are crucial for its diagnosis and precise monitoring. On MRI, LN appears as a lesion displacing surrounding structures, presenting as hypointense cable-like nerve bundles. On US, it has a ‘lotus root-like’ appearance. The wide range of clinical presentations of LN and the extensive array of differential diagnoses underscore the need for individualised diagnostic and treatment strategies. The aim of this article is to provide a thorough review of LN through illustrative images.
La lipomatosis del nervio (LN) es una entidad poco frecuente caracterizada por lesiones fibroadiposas que afectan los nervios periféricos. Suponen un desafío clínico complejo, asociando a menudo macrodistrofia lipomatosa. Las diferentes técnicas de imagen, en concreto la resonancia magnética (RM) y la ecografía (US), son herramientas cruciales para su diagnóstico y para realizar un seguimiento preciso. En RM, la LN aparece como una lesión que desplaza estructuras circundantes, presentándose como haces nerviosos hipointensos en forma de cable en la RM. En US su apariencia es como una “raíz de loto”. La amplia variedad de presentaciones clínicas de la LN así como el gran abanico de diagnósticos diferenciales subrayan la necesidad de estrategias de diagnóstico y tratamiento individualizadas. El objetivo de este artículo es realizar un repaso minucioso de la LN a través de imágenes ilustrativas.

